We use cookies to enhance the usability of our website. If you continue, we'll assume that you are happy to receive all cookies. More information. Don't show this again.
DPEP3
SECTIONS
  • TISSUE
  • BRAIN
  • SINGLE CELL TYPE
  • TISSUE CELL TYPE
  • PATHOLOGY
  • DISEASE
  • IMMUNE CELL
  • BLOOD PROTEIN
  • SUBCELLULAR
  • CELL LINE
  • STRUCTURE
  • METABOLIC
ABOUT
  • INTRODUCTION
  • HISTORY
  • ORGANIZATION
  • PUBLICATIONS
  • ANTIBODY SUBMISSION
  • ANTIBODY AVAILABILITY
  • ACKNOWLEDGMENTS
  • CONTACT
NEWS
  • NEWS ARTICLES
  • PRESS ROOM
LEARN
  • DICTIONARY
  • PROTEIN CLASSES
  • PROTEIN EVIDENCE
  • METHODS
  • EDUCATIONAL VIDEOS
DATA
  • DOWNLOADABLE DATA
  • PUBLICATION DATA
  • RELEASE HISTORY
  • SARS-COV-2
HELP
  • ANTIBODY VALIDATION
  • ASSAYS & ANNOTATION
  • DISCLAIMER
  • HELP & FAQ
  • PRIVACY STATEMENT
  • LICENCE & CITATION
Fields »
Search result

Field
Term
Gene name
Class
Subclass
Class
Keyword
Chromosome
External id
Tissue
Cell type
Expression
Patient ID
Tissue
Category
Cluster
Reliability
Brain region
Category
Brain region
Category
Brain region
Category
Reliability
Cell type
Category
Cluster
Tissue
Cell type
Enrichment
Cancer
Prognosis
Cancer
Category
Cell type
Category
Cell lineage
Category
Cluster
Annotation
Disease
Location
Searches
Location
Cell line
Type
Phase
Reliability
Cancer type
Category
Cluster
Pathway
Category
Score
Score
Score
Validation
Validation
Validation
Validation
Antibodies
Protein structure
In atlas
Column


  • SUMMARY

  • TISSUE

  • BRAIN

  • SINGLE CELL

  • TISSUE CELL

  • PATHOLOGY

  • DISEASE

  • IMMUNE

  • BLOOD

  • SUBCELL

  • CELL LINE

  • STRUCTURE

  • METABOLIC

  • DPEP3
PATHOLOGY COLORECTAL CANCER Show tissue menu
BREAST CANCER CARCINOID CERVICAL CANCER COLORECTAL CANCER ENDOMETRIAL CANCER GLIOMA HEAD AND NECK CANCER LIVER CANCER LUNG CANCER LYMPHOMA
MELANOMA OVARIAN CANCER PANCREATIC CANCER PROSTATE CANCER RENAL CANCER SKIN CANCER STOMACH CANCER TESTIS CANCER THYROID CANCER UROTHELIAL CANCER
COAD READ
ANTIBODIES
AND
VALIDATION
Dictionary
Colorectal cancer
Human pathology
Colorectal cancer
COLORECTAL CANCER - Interactive survival scatter ploti

The Survival Scatter plot shows the clinical status (i.e. dead or alive) for all individuals in the patient cohort, based on the same data that underlies the corresponding Kaplan-Meier plots. Patients that are alive at last time for follow-up are shown in blue and patients who have died during the study are shown in red.

The x-axis shows the expression levels (FPKM) of the investigated gene in the tumor tissue at the time of diagnosis. The y-axis shows the follow-up time after diagnosis (years). Both axes are complimented with kernel density curves demonstrating the data density over the axes. The top density plot shows the expression levels (FPKM) distribution among dead (red) and alive patients (blue). The right density plot shows the data density of the survived years of dead patients with high and low expression levels respectively, stratified using the cutoff indicated by the vertical dashed line through the Survival Scatter plot. This cutoff is automatically defined based on the FPKM cutoff that minimizes the p-score. The cutoff can be changed by dragging the vertical line or by entering a cutoff value in the square labeled "Current cut-off".

Under the Survival Scatter plot the p-score landscape (black curve; left axis) is shown together with dead median separation (red curve; right axis). Dead median separation is the difference in median mRNA expression between patients who have died with high and low expression, respectively. It is calculated as follows: median FPKM expression of dead patients with high expression - median FPKM expression of dead patients with low expression. This is intended to aid the user in visually exploring custom cutoffs and the associated p-scores and dead median separation.

Individual patient data is displayed and can be filtered by clicking on one or more of the category buttons on the top of the page. Categories describing expression level and patient information include: high, low, alive, dead, female, male and tumor stages. The scale of the x-axis can be toggled between linear and log-scale by clicking on the "x log" button. Mouse-over function shows TCGA ID, patient information and mRNA expression (FPKM) for each patient.

& Survival analysisi

Kaplan-Meier plots summarize results from analysis of correlation between mRNA expression level and patient survival. Patients were divided based on level of expression into one of the two groups "low" (under cut off) or "high" (over cut off). X-axis shows time for survival (years) and y-axis shows the probability of survival, where 1.0 corresponds to 100 percent.

Read more
DPEP3 is not prognostic in colorectal cancer


Stage:


Survival analysis
Current cut offi

Current cut-off shows the cut-off (FPKM) currently selected. It may be changed manually. When the current cut-off is changed, the vertical dashed line indicating cut-off, the interactive survival scatter plot and the Kaplan-Meier curve will be automatically adjusted to show results accordingly.

:
Best expression cut offi

Based on the FPKM value of each gene, patients were classified into two groups and association between prognosis (survival) and gene expression (FPKM) was examined. The best expression cut-off refers the FPKM value that yields maximal difference with regard to survival between the two groups at the lowest log-rank P-value. Best expression cut-off was selected based on survival analysis .

When clicking on this number, the vertical dashed line indicating cut-off, the interactive survival plot, and the Kaplan-Meier curve will be adjusted to show results based on the best expression cut-off.

Read more
: 0.05
Median expressioni

Median expression refers to the median FPKM value calculated based on the gene expression (FPKM) data from all patients in this dataset. When clicking on this number, the vertical dashed line indicating cut-off, the interactive survival plot, and the Kaplan-Meier curve will be adjusted to show results based on the median expression.

Read more
: N/A
Median follow up timei

Median follow up time refers to the median time (years) after diagnosis with this type of cancer, based on clinical data from all patients in this dataset.

: N/A
P scorei

Log-rank P value for Kaplan-Meier plot showing results from analysis of correlation between mRNA expression level and patient survival.

N/A
5-year survival highi

5-year survival for patients with higher expression than the expression cutoff.

For melanoma and glioma, 3-year survival is shown.

N/A
5-year survival lowi

5-year survival for patients with lower expression than the expression cutoff.

For melanoma and glioma, 3-year survival is shown.

N/A
TCGA RNA samplesi

RNA-seq data is reported as average FPKM (number Fragments Per Kilobase of exon per Million reads), generated by the The Cancer Genome Atlas (TCGA) .

Normal distribution across the dataset is visualized with box plots, shown as median and 25th and 75th percentiles. Points are displayed as outliers if they are above or below 1.5 times the interquartile range. FPKM values of the individual samples are presented next to the box plot.

Average FPKM 0.0
Number of samples 597
Samples
Sample Description FPKM
TCGA-CM-4748-01A 53 years, male, white, stage:iiib, alive, 792 days 1.4
TCGA-AF-2690-01A 77 years, female, white, stage:iiic, dead, 524 days 1.3
TCGA-AD-6899-01A 84 years, male, white, stage:iiic, dead, 176 days 0.7
TCGA-A6-2679-01A 73 years, female, white, stage:iib, alive, 1366 days 0.7
TCGA-A6-4105-01A 79 years, male, white, stage:iia, dead, 442 days 0.7
TCGA-AA-3980-01A 89 years, female, stage:i, alive, 822 days 0.5
TCGA-AG-3611-01A 72 years, male, stage:iia, alive, 424 days 0.5
TCGA-A6-5656-01B 74 years, male, white, stage:i, alive, 1001 days 0.4
TCGA-D5-6535-01A 80 years, female, white, stage:iiib, alive, 460 days 0.3
TCGA-AA-3875-01A 78 years, female, stage:i, alive, 549 days 0.3
TCGA-AA-3831-01A 66 years, male, stage:iia, alive, 547 days 0.3
TCGA-D5-6534-01A 62 years, female, white, stage:iia, alive, 1316 days 0.3
TCGA-F5-6465-01A 64 years, female, white, stage:iia, alive, 1506 days 0.2
TCGA-AF-2687-01A 57 years, male, white, stage:iiic, alive, 1427 days 0.2
TCGA-AF-2691-01A 48 years, female, white, stage:i, alive, 1309 days 0.2
TCGA-AA-A004-01A 76 years, male, stage:iia, alive, 424 days 0.2
TCGA-AG-A011-01A 80 years, male, stage:iia, alive, 1126 days 0.2
TCGA-D5-6928-01A 80 years, male, white, stage:iia, alive, 354 days 0.2
TCGA-A6-A565-01A 34 years, female, black or african american, stage:iiic, dead, 494 days 0.2
TCGA-AG-3882-01A 66 years, female, stage:i, alive, 608 days 0.2
TCGA-AA-3530-01A 80 years, male, stage:i, alive, 580 days 0.2
TCGA-AG-3892-01A 57 years, female, stage:i, alive, 396 days 0.2
TCGA-AG-3594-01A 77 years, male, stage:iia, dead, 61 days 0.2
TCGA-AF-2692-01A 54 years, female, white, stage:iia, alive, 412 days 0.2
TCGA-A6-2685-01A 48 years, female, black or african american, stage:iia, alive, 1133 days 0.2
TCGA-3L-AA1B-01A 61 years, female, black or african american, stage:i, alive, 475 days 0.1
TCGA-AA-3842-01A 51 years, male, stage:iiia, alive, 1126 days 0.1
TCGA-A6-4107-01A 57 years, female, white, stage:iiib, alive, 987 days 0.1
TCGA-AA-3956-01A 65 years, male, stage:iia, alive, 1035 days 0.1
TCGA-AA-3544-01A 68 years, male, stage:i, alive, 426 days 0.1
TCGA-AH-6644-01A 73 years, male, white, alive, 838 days 0.1
TCGA-AA-3971-01A 58 years, male, stage:iii, alive, 489 days 0.1
TCGA-AA-3815-01A 65 years, female, stage:iia, alive, 1005 days 0.1
TCGA-AA-A00R-01A 64 years, female, stage:i, alive, 30 days 0.1
TCGA-AY-6196-01A 47 years, male, white, stage:iiic, alive, 6 days 0.1
TCGA-AA-3679-01A 59 years, male, stage:iv, alive, 457 days 0.1
TCGA-AA-3713-01A 68 years, male, stage:iv, alive, 579 days 0.1
TCGA-AA-3489-01A 75 years, male, stage:ii, dead, 214 days 0.1
TCGA-D5-6929-01A 49 years, female, white, stage:iv, alive, 408 days 0.1
TCGA-A6-2674-01A 72 years, male, white, stage:iv, alive, 1331 days 0.1
TCGA-CI-6621-01A 63 years, male, white, stage:iiib, alive, 419 days 0.1
TCGA-AA-3697-01A 77 years, male, stage:ii, alive, 2587 days 0.1
TCGA-CK-4951-01A 79 years, female, white, stage:iia, dead, 2134 days 0.1
TCGA-AA-3681-01A 77 years, female, stage:iii, alive, 182 days 0.1
TCGA-AD-6964-01A 58 years, male, white, dead, 331 days 0.1
TCGA-AZ-6598-01A 77 years, female, white, stage:ii, dead, 1503 days 0.1
TCGA-EI-7004-01A 37 years, female, white, alive, 257 days 0.1
TCGA-AA-3710-01A 80 years, female, stage:iia, alive, 821 days 0.1
TCGA-EI-6917-01A 33 years, male, white, stage:iiia, alive, 531 days 0.1
TCGA-DC-6154-01A 57 years, female, white, stage:iva, alive, 365 days 0.1
TCGA-AA-A02R-01A 84 years, female, stage:iia, dead, 670 days 0.1
TCGA-AA-A01P-01A 80 years, female, stage:iii, dead, 1158 days 0.1
TCGA-AA-3562-01A 82 years, male, stage:iiic, alive, 608 days 0.1
TCGA-F5-6464-01A 77 years, female, white, stage:iiic, dead, 303 days 0.1
TCGA-AA-3548-01A 71 years, female, stage:iiic, alive, 1034 days 0.1
TCGA-A6-6654-01A 65 years, female, white, stage:iiib, alive, 726 days 0.1
TCGA-AA-3552-01A 85 years, male, stage:iiic, dead, 396 days 0.1
TCGA-AG-3583-01A 66 years, male, stage:iv, dead, 610 days 0.1
TCGA-WS-AB45-01A female, black or african american, stage:iia, alive, 2130 days 0.1
TCGA-AG-3878-01A 64 years, male, stage:i, alive, 30 days 0.1
TCGA-AG-3883-01A 69 years, male, stage:i, alive, 31 days 0.1
TCGA-AG-3580-01A 67 years, male, stage:i, alive, 244 days 0.1
TCGA-AA-3517-01A 60 years, male, stage:iia, alive, 1186 days 0.1
TCGA-D5-6920-01A 77 years, female, white, stage:iia, alive, 377 days 0.1
TCGA-DC-6156-01A 62 years, male, white, stage:iva, alive, 943 days 0.1
TCGA-CM-6169-01A 67 years, male, black or african american, stage:iia, alive, 396 days 0.1
TCGA-CM-6167-01A 57 years, female, black or african american, stage:iiic, alive, 456 days 0.1
TCGA-A6-6649-01A 66 years, male, white, stage:iiib, alive, 735 days 0.1
TCGA-CM-6165-01A 74 years, male, white, stage:iia, alive, 488 days 0.1
TCGA-G4-6293-01A 49 years, female, white, stage:iii, alive, 4051 days 0.1
TCGA-CM-6163-01A 74 years, male, white, stage:i, alive, 90 days 0.1
TCGA-D5-6927-01A 34 years, male, white, stage:iia, alive, 287 days 0.1
TCGA-AA-3715-01A 77 years, male, stage:ii, dead, 579 days 0.1
TCGA-A6-2672-01B 82 years, female, white, stage:iiib, alive, 1419 days 0.1
TCGA-AA-3989-01A 84 years, male, stage:iv, dead, 242 days 0.1
TCGA-CM-6162-01A 48 years, female, white, stage:iiib, alive, 365 days 0.1
TCGA-AG-3608-01A 79 years, female, stage:iia, alive, 485 days 0.1
TCGA-AA-3556-01A 78 years, male, stage:i, alive, 700 days 0.1
TCGA-AA-3662-01A 80 years, female, stage:iv, alive, 184 days 0.1
TCGA-AA-3561-01A 72 years, male, stage:iia, alive, 424 days 0.1
TCGA-AA-3837-01A 67 years, male, stage:iia, alive, 1186 days 0.1
TCGA-AA-3986-01A 73 years, male, stage:i, alive, 580 days 0.1
TCGA-AF-3400-01A 54 years, male, white, stage:iia, alive, 1049 days 0.1
TCGA-A6-6138-01A 61 years, male, white, stage:i, alive, 685 days 0.1
TCGA-NH-A6GB-01A 71 years, female, black or african american, stage:iiic, alive, 476 days 0.1
TCGA-F4-6809-01A 52 years, female, white, stage:iva, dead, 403 days 0.1
TCGA-AG-3732-01A 78 years, female, stage:i, alive, 1003 days 0.1
TCGA-AA-3553-01A 61 years, female, stage:i, alive, 730 days 0.1
TCGA-CI-6619-01B 41 years, male, white, stage:iv, alive, 184 days 0.1
TCGA-AG-3885-01A 71 years, female, stage:iiib, alive, 546 days 0.1
TCGA-AG-4008-01A 63 years, male, stage:iia, alive, 518 days 0.1
TCGA-AG-A02N-01A 67 years, male, stage:ii, alive, 1885 days 0.1
TCGA-A6-2677-01B 68 years, female, white, stage:iiic, dead, 740 days 0.1
TCGA-AA-A024-01A 81 years, male, stage:ii, dead, 1188 days 0.1
TCGA-DC-6160-01A 68 years, male, white, stage:i, alive, 1339 days 0.1
TCGA-A6-2671-01A 85 years, male, white, stage:iv, dead, 1331 days 0.1
TCGA-AA-3812-01A 82 years, female, stage:iia, alive, 1066 days 0.1
TCGA-EI-6885-01A 57 years, female, white, stage:iv, alive, 415 days 0.1
TCGA-AA-A02E-01A 82 years, female, stage:iv, dead, 90 days 0.1
TCGA-F5-6864-01A 74 years, female, white, stage:iiib, alive, 379 days 0.1
TCGA-AA-3554-01A 62 years, female, stage:iia, alive, 546 days 0.1
TCGA-EI-6507-01A 60 years, male, white, stage:iia, alive, 607 days 0.1
TCGA-AG-A032-01A 68 years, male, stage:iiib, alive, 1157 days 0.1
TCGA-A6-2676-01A 75 years, female, white, stage:iib, dead, 1305 days 0.1
TCGA-CM-6161-01A 36 years, female, white, stage:i, alive, 457 days 0.1
TCGA-F4-6703-01A 64 years, male, white, stage:iia, alive, 1456 days 0.1
TCGA-AA-3860-01A 53 years, female, stage:iiib, alive, 945 days 0.1
TCGA-AA-A010-01A 46 years, female, stage:iib, alive, 1064 days 0.1
TCGA-AA-3520-01A 86 years, female, stage:ii, alive, 731 days 0.1
TCGA-AG-3581-01A 63 years, male, stage:i, alive, 215 days 0.1
TCGA-G4-6627-01A 84 years, male, white, stage:iia, alive, 2275 days 0.1
TCGA-A6-6141-01A 31 years, male, black or african american, stage:iia, alive, 255 days 0.1
TCGA-AG-3605-01A 85 years, female, stage:iv, alive, 30 days 0.1
TCGA-QG-A5Z2-01A 61 years, male, black or african american, stage:i, alive, 952 days 0.1
TCGA-CM-6679-01A 58 years, male, white, stage:iia, alive, 306 days 0.1
TCGA-AG-3575-01A 51 years, male, stage:ii, alive, 365 days 0.1
TCGA-A6-2675-01A 78 years, male, white, stage:iia, alive, 1321 days 0.1
TCGA-AY-6386-01A 66 years, female, black or african american, stage:iiib, alive, 542 days 0.1
TCGA-AA-3862-01A 82 years, male, stage:iia, alive, 914 days 0.1
TCGA-AA-3509-01A 54 years, female, stage:ii, alive, 1915 days 0.1
TCGA-DM-A0X9-01A 71 years, female, white, stage:iia, alive, 3641 days 0.1
TCGA-AG-3591-01A 66 years, female, stage:iia, alive, 1035 days 0.1
TCGA-A6-5664-01A 80 years, male, black or african american, stage:iiic, alive, 672 days 0.1
TCGA-AA-3532-01A 63 years, male, stage:iia, alive, 882 days 0.1
TCGA-AA-3855-01A 72 years, male, stage:i, alive, 975 days 0.1
TCGA-CA-6716-01A 65 years, male, asian, stage:iia, alive, 371 days 0.1
TCGA-CI-6624-01C 53 years, female, white, stage:i, alive, 1466 days 0.1
TCGA-D5-6529-01A 69 years, male, white, stage:iia, alive, 614 days 0.1
TCGA-CA-6718-01A 46 years, male, asian, stage:iia, dead, 306 days 0.1
TCGA-D5-5538-01A 60 years, female, white, stage:iiib, dead, 1661 days 0.1
TCGA-AG-3887-01A 68 years, male, stage:iia, alive, 1124 days 0.1
TCGA-QL-A97D-01A 84 years, female, black or african american, stage:i, alive, 666 days 0.1
TCGA-AF-4110-01A 77 years, male, white, stage:iva, alive, 912 days 0.1
TCGA-G4-6299-01A 69 years, male, white, stage:iiic, alive, 2268 days 0.1
TCGA-A6-6648-01A 56 years, male, white, stage:iva, alive, 766 days 0.1
TCGA-AA-3970-01A 65 years, male, stage:iia, alive, 1096 days 0.1
TCGA-AH-6547-01A 79 years, female, white, dead, 76 days 0.1
TCGA-AF-6655-01A 66 years, male, white, stage:iiia, alive, 609 days 0.1
TCGA-AA-A00N-01A 75 years, male, stage:iib, dead, 122 days 0.1
TCGA-AG-3727-01A 78 years, female, stage:iii, alive, 30 days 0.1
TCGA-AG-3881-01A 83 years, female, stage:iia, alive, 579 days 0.1
TCGA-A6-3808-01A 73 years, male, white, stage:iia, alive, 1014 days 0.1
TCGA-AA-3502-01A 73 years, male, stage:i, alive, 1065 days 0.1
TCGA-AZ-5407-01A 51 years, female, white, stage:i, alive, 2683 days 0.1
TCGA-A6-3809-01A 71 years, female, white, stage:iib, alive, 996 days 0.1
TCGA-AG-3902-01A 61 years, male, stage:iia, alive, 974 days 0.1
TCGA-D5-6930-01A 67 years, male, white, stage:iia, alive, 406 days 0.1
TCGA-D5-5539-01A 60 years, male, white, stage:iiia, alive, 596 days 0.1
TCGA-A6-6781-01B 43 years, male, white, stage:iiic, alive, 598 days 0.1
TCGA-AG-3909-01A 69 years, female, stage:iiib, alive, 608 days 0.1
TCGA-NH-A8F8-01A 79 years, male, black or african american, stage:iv, dead, 511 days 0.1
TCGA-AA-3982-01A 75 years, male, stage:iiib, alive, 822 days 0.1
TCGA-AG-4022-01A 59 years, female, stage:ii, alive, 1400 days 0.1
TCGA-AA-3663-01A 42 years, male, stage:ii, alive, 212 days 0.1
TCGA-AG-3898-01A 61 years, male, stage:iia, alive, 1461 days 0.1
TCGA-EI-6511-01A 52 years, male, white, stage:iiib, alive, 482 days 0.1
TCGA-AA-A01K-01A 74 years, female, stage:iiic, alive, 943 days 0.1
TCGA-AA-A00K-01A 79 years, male, stage:iia, alive, 549 days 0.1
TCGA-AA-3968-01A 55 years, female, stage:i, alive, 669 days 0.0
TCGA-CM-6168-01A 84 years, female, black or african american, stage:iia, alive, 395 days 0.0
TCGA-AG-4007-01A 87 years, male, stage:iv, alive, 31 days 0.0
TCGA-AA-3811-01A 84 years, female, stage:iii, dead, 306 days 0.0
TCGA-AA-3947-01A 60 years, female, stage:iib, alive, 1004 days 0.0
TCGA-AU-6004-01A 69 years, female, white, stage:i, alive, 824 days 0.0
TCGA-AA-A01C-01A 75 years, male, stage:iiia, alive, 457 days 0.0
TCGA-AA-3841-01A 66 years, male, stage:iia, alive, 1124 days 0.0
TCGA-AA-3846-01A 74 years, female, stage:iia, alive, 518 days 0.0
TCGA-AY-A69D-01A 55 years, female, black or african american, stage:iia, alive, 543 days 0.0
TCGA-AG-3893-01A 74 years, male, stage:iiib, alive, 1065 days 0.0
TCGA-F4-6806-01A 59 years, female, white, stage:i, alive, 1260 days 0.0
TCGA-F4-6807-01A 51 years, female, white, stage:iiic, alive, 1309 days 0.0
TCGA-AA-3506-01A 77 years, male, stage:i, alive, 1765 days 0.0
TCGA-AA-A03J-01A 65 years, female, stage:i, alive, 1246 days 0.0
TCGA-AG-3592-01A 68 years, male, stage:iia, alive, 1035 days 0.0
TCGA-AA-3522-01A 67 years, male, stage:iia, alive, 1127 days 0.0
TCGA-AA-3866-01A 78 years, female, stage:i, alive, 518 days 0.0
TCGA-AA-A02K-01A 50 years, male, stage:iv, dead, 426 days 0.0
TCGA-AG-3999-01A 61 years, female, stage:iiic, alive, 853 days 0.0
TCGA-AA-3851-01A 74 years, male, stage:iia, alive, 1006 days 0.0
TCGA-D5-6922-01A 76 years, male, white, stage:iiia, alive, 308 days 0.0
TCGA-DY-A1DE-01A 56 years, female, white, stage:iia, alive, 3932 days 0.0
TCGA-AA-3844-01A 78 years, female, stage:iiic, alive, 454 days 0.0
TCGA-CM-6172-01A 70 years, female, white, stage:iiib, alive, 335 days 0.0
TCGA-AZ-6605-01A 78 years, male, white, stage:iiib, dead, 159 days 0.0
TCGA-AA-3870-01A 71 years, female, stage:iv, alive, 912 days 0.0
TCGA-AA-3994-01A 69 years, male, stage:iiib, alive, 822 days 0.0
TCGA-AA-A00Z-01A 70 years, male, stage:iia, alive, 669 days 0.0
TCGA-AY-4071-01A 63 years, female, white, stage:i, dead, 29 days 0.0
TCGA-AZ-4684-01A 50 years, male, white, stage:iva, alive, 1977 days 0.0
TCGA-DY-A1DC-01A 72 years, female, white, stage:iia, dead, 1258 days 0.0
TCGA-AA-A00O-01A 83 years, female, stage:iiic, alive, 822 days 0.0
TCGA-EI-6882-01A 59 years, male, white, stage:iia, alive, 262 days 0.0
TCGA-F5-6811-01A 72 years, female, white, stage:iia, alive, 979 days 0.0
TCGA-AG-3609-01A 65 years, female, stage:iiic, alive, 608 days 0.0
TCGA-A6-5657-01A 65 years, male, black or african american, stage:iiib, alive, 962 days 0.0
TCGA-CA-6717-01A 57 years, male, asian, stage:iia, alive, 388 days 0.0
TCGA-AG-A01N-01A 68 years, female, stage:iv, alive, 943 days 0.0
TCGA-CM-5341-01A 82 years, female, white, stage:iiia, alive, 884 days 0.0
TCGA-AZ-4616-01A 82 years, female, white, stage:iv, dead, 156 days 0.0
TCGA-CK-4947-01B 46 years, female, white, stage:iiib, alive, 534 days 0.0
TCGA-F5-6812-01A 67 years, male, white, stage:iia, alive, 1110 days 0.0
TCGA-AA-3685-01A 69 years, male, stage:ii, alive, 1127 days 0.0
TCGA-AA-3494-01A 55 years, male, stage:iv, alive, 31 days 0.0
TCGA-DC-6155-01A 31 years, female, white, stage:iiia, alive, 425 days 0.0
TCGA-AA-3667-01A 36 years, female, stage:i, alive, 426 days 0.0
TCGA-AA-3688-01A 80 years, male, stage:iv, alive, 578 days 0.0
TCGA-AY-6197-01A 60 years, male, white, stage:iia, alive, 652 days 0.0
TCGA-AF-6672-01A 43 years, male, white, stage:iv, alive, 748 days 0.0
TCGA-AZ-6607-01A 69 years, male, white, stage:iv, dead, 97 days 0.0
TCGA-AA-3555-01A 81 years, female, stage:iia, alive, 911 days 0.0
TCGA-G4-6295-01A 70 years, female, white, stage:ii, alive, 254 days 0.0
TCGA-AD-6901-01A 78 years, male, white, dead, 682 days 0.0
TCGA-A6-6651-01A 55 years, female, white, stage:iiib, alive, 662 days 0.0
TCGA-F4-6461-01A 41 years, female, white, stage:iiic, dead, 338 days 0.0
TCGA-AD-5900-01A 67 years, male, white, stage:i, alive, 370 days 0.0
TCGA-CA-6715-01A 63 years, male, asian, stage:iiib, alive, 383 days 0.0
TCGA-AA-3692-01A 47 years, female, stage:iv, dead, 1095 days 0.0
TCGA-AZ-4323-01A 37 years, male, white, stage:iv, dead, 43 days 0.0
TCGA-DY-A1H8-01A 77 years, female, white, stage:iiia, dead, 992 days 0.0
TCGA-AA-3673-01A 53 years, female, stage:ii, alive, 1522 days 0.0
TCGA-D5-6530-01A 53 years, male, white, stage:i, alive, 621 days 0.0
TCGA-QG-A5YW-01A 55 years, female, black or african american, stage:iiic, alive, 896 days 0.0
TCGA-D5-6539-01A 45 years, female, white, alive, 380 days 0.0
TCGA-AA-3848-01A 82 years, female, stage:iiic, dead, 306 days 0.0
TCGA-CL-4957-01A 79 years, female, dead, 425 days 0.0
TCGA-F4-6854-01A 77 years, female, white, stage:iia, alive, 16 days 0.0
TCGA-AY-A8YK-01A 44 years, male, black or african american, stage:iva, alive, 573 days 0.0
TCGA-G4-6297-01A 55 years, female, white, stage:iv, alive, 2506 days 0.0
TCGA-D5-6924-01A 68 years, male, white, stage:iia, alive, 435 days 0.0
TCGA-CM-6171-01A 77 years, female, white, stage:i, alive, 427 days 0.0
TCGA-AA-3930-01A 66 years, male, stage:iv, dead, 61 days 0.0
TCGA-CM-6680-01A 78 years, female, white, stage:iiib, alive, 366 days 0.0
TCGA-D5-6926-01A 65 years, male, white, stage:iiib, alive, 275 days 0.0
TCGA-AF-6136-01A 72 years, female, white, stage:iiib, alive, 741 days 0.0
TCGA-DM-A1D7-01A 82 years, male, white, stage:iia, dead, 405 days 0.0
TCGA-AG-3890-01A 62 years, male, stage:i, alive, 518 days 0.0
TCGA-D5-6923-01A 57 years, male, white, stage:i, alive, 378 days 0.0
TCGA-F4-6704-01A 60 years, male, american indian or alaska native, stage:iiic, alive, 47 days 0.0
TCGA-AG-3582-01A 75 years, male, stage:iv, dead, 1096 days 0.0
TCGA-AF-2693-01A 75 years, male, white, stage:i, alive, 1155 days 0.0
TCGA-F4-6855-01A 70 years, female, white, stage:iia, alive, 1442 days 0.0
TCGA-CK-4952-01A 48 years, female, white, stage:iiic, alive, 475 days 0.0
TCGA-DM-A1DA-01A 71 years, female, white, stage:iiic, dead, 228 days 0.0
TCGA-QG-A5YV-01A 64 years, female, black or african american, stage:iiic, alive, 1301 days 0.0
TCGA-A6-A56B-01A 57 years, male, black or african american, stage:iiib, dead, 1711 days 0.0
TCGA-AG-3731-01A 65 years, male, stage:iv, alive, 1126 days 0.0
TCGA-CI-6620-01A 41 years, female, white, stage:iva, alive, 1009 days 0.0
TCGA-AA-3511-01A 64 years, male, stage:ii, alive, 212 days 0.0
TCGA-DM-A28G-01A 75 years, male, white, stage:iia, dead, 1849 days 0.0
TCGA-AG-3587-01A 65 years, male, stage:i, alive, 1400 days 0.0
TCGA-AA-3531-01A 75 years, female, stage:iia, alive, 1035 days 0.0
TCGA-F4-6805-01A 58 years, female, white, stage:iia, alive, 1047 days 0.0
TCGA-AG-A014-01A 86 years, male, stage:i, alive, 485 days 0.0
TCGA-AA-A01Q-01A 48 years, female, stage:ii, alive, 31 days 0.0
TCGA-G5-6641-01A 67 years, male, white, stage:iiia, alive, 804 days 0.0
TCGA-A6-6142-01A 56 years, female, white, stage:iva, alive, 763 days 0.0
TCGA-EI-6506-01A 78 years, female, white, stage:iia, alive, 625 days 0.0
TCGA-AA-3867-01A 74 years, male, stage:iv, alive, 731 days 0.0
TCGA-NH-A6GA-01A 58 years, male, black or african american, stage:iiic, dead, 302 days 0.0
TCGA-D5-5541-01A 63 years, male, white, stage:iiib, alive, 1701 days 0.0
TCGA-G4-6303-01A 54 years, female, white, stage:iv, dead, 2003 days 0.0
TCGA-AA-3975-01A 80 years, male, stage:i, alive, 1036 days 0.0
TCGA-AD-6963-01A 58 years, male, white, alive, 834 days 0.0
TCGA-AG-A036-01A 71 years, male, stage:iii, alive, 3562 days 0.0
TCGA-AA-3518-01A 81 years, female, stage:iia, alive, 31 days 0.0
TCGA-DC-6683-01A 43 years, male, white, stage:iiib, alive, 762 days 0.0
TCGA-AA-A00J-01A 80 years, male, stage:iiib, alive, 549 days 0.0
TCGA-AA-3488-01A 58 years, male, stage:iv, dead, 153 days 0.0
TCGA-AU-3779-01A 80 years, female, white, stage:iia, alive, 441 days 0.0
TCGA-AA-3516-01A 74 years, female, stage:iii, dead, 396 days 0.0
TCGA-AG-3600-01A 62 years, male, stage:iiic, alive, 184 days 0.0
TCGA-AY-4070-01A 51 years, female, black or african american, stage:iiic, dead, 496 days 0.0
TCGA-AG-3742-01A 85 years, female, stage:i, alive, 30 days 0.0
TCGA-AA-3660-01A 51 years, female, stage:ii, alive, 2375 days 0.0
TCGA-AG-3612-01A 55 years, female, stage:iiib, alive, 608 days 0.0
TCGA-AG-3578-01A 76 years, female, stage:iia, alive, 974 days 0.0
TCGA-AA-3877-01A 83 years, female, stage:i, alive, 943 days 0.0
TCGA-DC-6158-01A 70 years, male, white, stage:i, dead, 334 days 0.0
TCGA-AG-4001-01A 74 years, female, stage:iia, alive, 1096 days 0.0
TCGA-A6-2680-01A 72 years, female, black or african american, stage:ii, alive, 1068 days 0.0
TCGA-CM-4746-01A 61 years, male, black or african american, stage:i, alive, 1126 days 0.0
TCGA-AA-A00A-01A 80 years, male, stage:iia, alive, 1157 days 0.0
TCGA-EI-6884-01A 71 years, male, white, stage:iiia, alive, 328 days 0.0
TCGA-AA-3864-01A 71 years, male, stage:ii, alive, 1612 days 0.0
TCGA-G4-6625-01A 77 years, female, white, stage:iia, alive, 2792 days 0.0
TCGA-G5-6233-01A 74 years, male, white, dead, 556 days 0.0
TCGA-D5-6931-01A 77 years, male, white, stage:iiic, alive, 365 days 0.0
TCGA-A6-5665-01A 84 years, female, white, stage:iia, alive, 671 days 0.0
TCGA-AG-3726-01A 63 years, female, stage:i, alive, 243 days 0.0
TCGA-AA-3514-01A 81 years, female, stage:i, alive, 31 days 0.0
TCGA-AA-3549-01A 69 years, male, stage:i, alive, 639 days 0.0
TCGA-CM-5344-01A 39 years, female, white, stage:iiib, alive, 670 days 0.0
TCGA-NH-A8F7-01A 53 years, female, black or african american, stage:iia, alive, 543 days 0.0
TCGA-A6-6137-01A 55 years, male, white, stage:iiib, alive, 824 days 0.0
TCGA-4N-A93T-01A 67 years, male, black or african american, stage:iiib, alive, 146 days 0.0
TCGA-AA-3538-01A 54 years, female, stage:i, alive, 791 days 0.0
TCGA-AA-A01V-01A 59 years, male, stage:i, alive, 31 days 0.0
TCGA-AG-A025-01A 62 years, female, stage:i, alive, 1520 days 0.0
TCGA-AA-A01D-01A 47 years, female, stage:iiic, dead, 334 days 0.0
TCGA-AA-3869-01A 76 years, male, stage:iv, dead, 822 days 0.0
TCGA-AG-A026-01A 66 years, male, stage:ii, dead, 59 days 0.0
TCGA-AA-3526-01A 57 years, male, stage:i, alive, 580 days 0.0
TCGA-A6-2686-01A 81 years, female, white, stage:iia, dead, 1126 days 0.0
TCGA-CM-4751-01A 62 years, male, white, stage:iiib, alive, 822 days 0.0
TCGA-DC-4745-01A 49 years, female, white, stage:iiib, alive, 639 days 0.0
TCGA-5M-AAT4-01A 74 years, male, black or african american, stage:iv, dead, 49 days 0.0
TCGA-G4-6307-01A 37 years, female, white, stage:iiib, alive, 1674 days 0.0
TCGA-AA-3510-01A 70 years, male, stage:ii, alive, 1946 days 0.0
TCGA-AG-3599-01A 70 years, male, stage:i, alive, 366 days 0.0
TCGA-AH-6643-01A 50 years, male, white, stage:iiic, dead, 1314 days 0.0
TCGA-CM-5348-01A 72 years, male, white, stage:iiib, alive, 699 days 0.0
TCGA-AA-A01X-01A 80 years, female, stage:iii, alive, 791 days 0.0
TCGA-AY-A54L-01A 74 years, female, black or african american, stage:i, alive, 525 days 0.0
TCGA-AA-3966-01A 89 years, female, stage:iia, alive, 61 days 0.0
TCGA-A6-2681-01A 73 years, female, white, stage:iia, alive, 1387 days 0.0
TCGA-AA-3496-01A 83 years, female, stage:ii, alive, 31 days 0.0
TCGA-AZ-4615-01A 84 years, male, white, stage:iiib, alive, 1002 days 0.0
TCGA-AD-6548-01A 81 years, female, white, stage:i, alive, 650 days 0.0
TCGA-D5-7000-01A 79 years, female, white, stage:i, alive, 312 days 0.0
TCGA-AA-3819-01A 41 years, female, stage:iia, alive, 761 days 0.0
TCGA-F4-6569-01A 60 years, male, white, stage:i, alive, 1087 days 0.0
TCGA-DM-A28H-01A 50 years, male, white, stage:iiic, alive, 3561 days 0.0
TCGA-AA-3854-01A 71 years, female, stage:i, alive, 1096 days 0.0
TCGA-EI-6509-01A 53 years, male, white, stage:iiic, alive, 517 days 0.0
TCGA-DC-6681-01A 70 years, female, white, stage:iva, alive, 790 days 0.0
TCGA-NH-A6GC-01A 66 years, female, black or african american, stage:ivb, alive, 389 days 0.0
TCGA-F4-6856-01A 45 years, male, white, stage:i, alive, 1074 days 0.0
TCGA-AZ-6603-01A 77 years, female, white, dead, 899 days 0.0
TCGA-AG-4021-01A 84 years, female, stage:iv, dead, 121 days 0.0
TCGA-CK-6748-01A 45 years, female, white, stage:iv, alive, 61 days 0.0
TCGA-F5-6814-01A 57 years, male, white, stage:iia, alive, 1131 days 0.0
TCGA-EI-7002-01A 58 years, male, white, stage:iv, alive, 364 days 0.0
TCGA-CK-6747-01A 87 years, female, white, stage:iia, alive, 2523 days 0.0
TCGA-F5-6861-01A 60 years, female, white, stage:iia, alive, 1160 days 0.0
TCGA-DM-A28F-01A 73 years, male, white, stage:iiib, dead, 1094 days 0.0
TCGA-A6-5659-01A 82 years, male, white, stage:i, alive, 926 days 0.0
TCGA-G4-6306-01A 71 years, male, white, alive, 1359 days 0.0
TCGA-EI-6881-01A 60 years, male, white, stage:iiia, alive, 499 days 0.0
TCGA-DM-A285-01A 71 years, female, white, stage:iv, dead, 179 days 0.0
TCGA-CM-6677-01A 75 years, female, white, stage:iia, alive, 337 days 0.0
TCGA-AF-3911-01A 48 years, male, white, stage:iiic, alive, 1148 days 0.0
TCGA-5M-AAT6-01A 40 years, female, black or african american, stage:iv, dead, 290 days 0.0
TCGA-CA-5796-01A 53 years, female, asian, stage:iia, alive, 377 days 0.0
TCGA-D5-6541-01A 49 years, male, white, stage:iia, alive, 474 days 0.0
TCGA-NH-A50U-01A 42 years, male, black or african american, stage:iva, dead, 334 days 0.0
TCGA-AH-6897-01A 48 years, male, white, stage:i, alive, 804 days 0.0
TCGA-AD-6890-01A 65 years, male, white, alive, 746 days 0.0
TCGA-AH-6549-01A 66 years, male, white, alive, 532 days 0.0
TCGA-CM-6166-01A 48 years, female, white, stage:i, alive, 669 days 0.0
TCGA-A6-A566-01A 55 years, female, black or african american, stage:iiib, dead, 758 days 0.0
TCGA-CM-5860-01A 44 years, male, white, stage:iia, alive, 974 days 0.0
TCGA-G4-6323-01A 50 years, male, black or african american, stage:ia, alive, 419 days 0.0
TCGA-CM-6674-01A 39 years, male, white, stage:iia, alive, 394 days 0.0
TCGA-G4-6321-01A 60 years, female, white, stage:iii, alive, 672 days 0.0
TCGA-CK-5916-01A 71 years, female, white, stage:i, dead, 643 days 0.0
TCGA-CM-5349-01A 68 years, female, white, stage:iia, alive, 915 days 0.0
TCGA-DC-6157-01A 48 years, male, black or african american, stage:i, alive, 1581 days 0.0
TCGA-G4-6302-01A 90 years, female, white, stage:iia, dead, 2047 days 0.0
TCGA-DC-5337-01A 69 years, male, white, stage:i, alive, 792 days 0.0
TCGA-AF-5654-01A 73 years, female, white, stage:i, dead, 512 days 0.0
TCGA-D5-6533-01A 68 years, female, white, alive, 775 days 0.0
TCGA-F4-6463-01A 51 years, male, white, stage:iia, alive, 1087 days 0.0
TCGA-EF-5830-01A 54 years, male, white, stage:iib, alive, 106 days 0.0
TCGA-CK-6751-01A 88 years, female, white, stage:i, alive, 3780 days 0.0
TCGA-AD-6895-01A 84 years, male, white, stage:iiib, alive, 763 days 0.0
TCGA-AZ-5403-01A 43 years, male, white, stage:ii, dead, 1910 days 0.0
TCGA-A6-6780-01A 74 years, male, white, stage:iia, alive, 612 days 0.0
TCGA-D5-6540-01A 66 years, male, white, stage:i, alive, 491 days 0.0
TCGA-AD-6889-01A male, asian, stage:iia, dead, 2532 days 0.0
TCGA-CA-6719-01A 77 years, male, asian, stage:iia, alive, 435 days 0.0
TCGA-D5-6531-01A 75 years, male, white, stage:iia, alive, 540 days 0.0
TCGA-AH-6544-01A 60 years, male, white, alive, 1173 days 0.0
TCGA-CM-6675-01A 35 years, male, black or african american, stage:ivb, alive, 397 days 0.0
TCGA-A6-6140-01A 62 years, male, white, stage:iia, alive, 734 days 0.0
TCGA-G4-6626-01A 90 years, male, white, stage:iia, dead, 1422 days 0.0
TCGA-A6-6652-01A 59 years, male, black or african american, stage:iva, alive, 751 days 0.0
TCGA-BM-6198-01A 73 years, male, white, stage:iiib, alive, 646 days 0.0
TCGA-AZ-6601-01A 68 years, male, white, stage:ii, dead, 3042 days 0.0
TCGA-A6-5660-01A 73 years, male, black or african american, stage:iiic, alive, 888 days 0.0
TCGA-SS-A7HO-01A 44 years, female, black or african american, stage:iib, alive, 1829 days 0.0
TCGA-D5-6537-01A 64 years, male, white, stage:iiib, dead, 146 days 0.0
TCGA-A6-5662-01A 46 years, male, white, stage:iva, alive, 718 days 0.0
TCGA-F4-6570-01A 78 years, female, white, stage:iia, dead, 188 days 0.0
TCGA-D5-6532-01A 61 years, male, white, stage:iia, alive, 555 days 0.0
TCGA-DM-A28A-01A 78 years, male, white, stage:iiic, dead, 805 days 0.0
TCGA-AF-A56K-01A 56 years, male, black or african american, stage:iia, alive, 2635 days 0.0
TCGA-CM-5863-01A 60 years, female, white, stage:iiib, alive, 457 days 0.0
TCGA-NH-A50V-01A 69 years, male, black or african american, stage:iiib, alive, 588 days 0.0
TCGA-CM-6170-01A 73 years, female, white, stage:i, alive, 457 days 0.0
TCGA-G4-6314-01A 76 years, female, white, stage:iv, alive, 1093 days 0.0
TCGA-F5-6813-01A 70 years, male, white, stage:iiic, dead, 598 days 0.0
TCGA-NH-A5IV-01A 90 years, female, black or african american, stage:iia, alive, 588 days 0.0
TCGA-AZ-6606-01A 81 years, male, white, stage:iv, dead, 357 days 0.0
TCGA-AG-3725-01A 90 years, female, stage:iii, alive, 638 days 0.0
TCGA-AF-A56N-01A 47 years, female, black or african american, stage:iia, alive, 360 days 0.0
TCGA-CA-5797-01A 56 years, male, asian, stage:iia, alive, 383 days 0.0
TCGA-AZ-6608-01A 55 years, female, white, stage:iiia, dead, 59 days 0.0
TCGA-G5-6572-01A 56 years, male, white, dead, 1432 days 0.0
TCGA-EI-6883-01A 63 years, male, white, stage:iic, alive, 350 days 0.0
TCGA-AA-3675-01A 84 years, male, stage:ii, alive, 1431 days 0.0
TCGA-EI-6508-01A 48 years, female, white, stage:iiib, alive, 636 days 0.0
TCGA-DM-A1HA-01A 82 years, male, white, stage:iiic, alive, 4000 days 0.0
TCGA-D5-6898-01A 51 years, female, white, stage:i, alive, 229 days 0.0
TCGA-F5-6863-01A 71 years, female, white, stage:iiib, dead, 361 days 0.0
TCGA-AA-A02Y-01A 73 years, male, stage:i, alive, 1216 days 0.0
TCGA-DM-A0XD-01A 65 years, male, white, stage:iia, dead, 743 days 0.0
TCGA-F5-6571-01A 62 years, female, white, stage:iia, alive, 1288 days 0.0
TCGA-AD-6888-01A 73 years, male, white, stage:iiib, dead, 472 days 0.0
TCGA-AY-A71X-01A 54 years, female, black or african american, stage:i, alive, 588 days 0.0
TCGA-AF-A56L-01A 48 years, female, black or african american, stage:iiic, alive, 2007 days 0.0
TCGA-DY-A1DD-01A 77 years, female, white, stage:iiib, dead, 1741 days 0.0
TCGA-DM-A28M-01A 63 years, male, white, stage:iia, alive, 2895 days 0.0
TCGA-CM-4744-01A 69 years, male, white, stage:i, alive, 609 days 0.0
TCGA-CK-4950-01A 68 years, female, black or african american, stage:iiib, alive, 2599 days 0.0
TCGA-DM-A1DB-01A 68 years, male, white, stage:iia, dead, 1348 days 0.0
TCGA-DM-A1D6-01A 88 years, male, white, stage:iia, dead, 1518 days 0.0
TCGA-CK-5912-01A 82 years, male, white, stage:i, dead, 1493 days 0.0
TCGA-QG-A5Z1-01A 71 years, male, black or african american, stage:iiib, dead, 256 days 0.0
TCGA-DM-A1D0-01A 79 years, female, white, stage:iia, alive, 3974 days 0.0
TCGA-F4-6459-01A 61 years, female, white, stage:iiib, dead, 262 days 0.0
TCGA-CI-6623-01B 44 years, male, white, stage:i, alive, 1443 days 0.0
TCGA-CM-4750-01A 34 years, female, white, stage:iiia, alive, 244 days 0.0
TCGA-AG-3598-01A 69 years, male, stage:iia, alive, 1522 days 0.0
TCGA-AA-A02O-01A 82 years, male, stage:ii, alive, 28 days 0.0
TCGA-DM-A280-01A 70 years, female, white, stage:iia, dead, 236 days 0.0
TCGA-AA-3525-01A 90 years, male, stage:iiib, alive, 245 days 0.0
TCGA-A6-A5ZU-01A 59 years, male, black or african american, stage:iiib, alive, 293 days 0.0
TCGA-AG-A016-01A 55 years, male, stage:iv, alive, 276 days 0.0
TCGA-D5-5537-01A 83 years, male, white, dead, 1381 days 0.0
TCGA-CA-5255-01A 45 years, male, asian, stage:iia, alive, 376 days 0.0
TCGA-AZ-6600-01A 64 years, male, black or african american, stage:iv, dead, 368 days 0.0
TCGA-AA-A01G-01A 63 years, male, stage:iia, alive, 365 days 0.0
TCGA-T9-A92H-01A 82 years, male, black or african american, stage:iia, alive, 362 days 0.0
TCGA-D5-6932-01A 69 years, male, white, stage:iia, alive, 346 days 0.0
TCGA-CI-6622-01A 74 years, male, white, stage:iib, alive, 1362 days 0.0
TCGA-CM-6676-01A 82 years, male, white, stage:i, alive, 337 days 0.0
TCGA-AA-3680-01A 67 years, female, stage:iv, dead, 335 days 0.0
TCGA-AA-3678-01A 60 years, female, stage:iii, alive, 1430 days 0.0
TCGA-DM-A1D9-01A 67 years, female, white, stage:iia, alive, 4270 days 0.0
TCGA-CM-6678-01A 63 years, female, white, stage:iva, alive, 335 days 0.0
TCGA-AF-3913-01A 60 years, male, black or african american, stage:iv, dead, 316 days 0.0
TCGA-AA-3972-01A 72 years, male, stage:iv, alive, 1551 days 0.0
TCGA-DM-A282-01A 61 years, female, white, stage:iia, alive, 4233 days 0.0
TCGA-DM-A1HB-01A 75 years, male, white, stage:iiib, alive, 4126 days 0.0
TCGA-AA-3519-01A 63 years, male, stage:iii, alive, 276 days 0.0
TCGA-CL-5918-01A 90 years, female, white, stage:iia, alive, 218 days 0.0
TCGA-AG-3896-01A 85 years, female, stage:i, alive, 31 days 0.0
TCGA-CK-5913-01A 58 years, female, white, stage:iia, alive, 1561 days 0.0
TCGA-AG-3586-01A 72 years, female, stage:iii, alive, 31 days 0.0
TCGA-G4-6315-01A 66 years, male, white, stage:iv, alive, 1883 days 0.0
TCGA-DM-A28K-01A 75 years, male, white, stage:iia, alive, 2988 days 0.0
TCGA-EF-5831-01A 72 years, male, white, stage:iia, alive, 127 days 0.0
TCGA-G4-6310-01A 69 years, male, white, stage:iiib, alive, 1935 days 0.0
TCGA-DM-A1D4-01A 80 years, male, white, stage:iia, dead, 2821 days 0.0
TCGA-AA-3492-01A 90 years, female, stage:ii, dead, 92 days 0.0
TCGA-AA-3952-01A 68 years, male, stage:iiic, dead, 61 days 0.0
TCGA-AA-3856-01A 59 years, male, stage:iia, alive, 30 days 0.0
TCGA-G4-6309-01A 40 years, female, black or african american, stage:iiib, alive, 2600 days 0.0
TCGA-AA-3655-01A 68 years, male, stage:ii, alive, 1856 days 0.0
TCGA-AA-3666-01A 68 years, male, stage:iii, dead, 61 days 0.0
TCGA-AA-A02H-01A 74 years, female, stage:iv, dead, 61 days 0.0
TCGA-AG-A01J-01A 59 years, female, stage:iia, alive, 31 days 0.0
TCGA-AZ-4313-01A 51 years, female, white, stage:i, alive, 2310 days 0.0
TCGA-AG-A020-01A 57 years, female, stage:iii, alive, 31 days 0.0
TCGA-CL-5917-01A 71 years, female, white, stage:iiic, alive, 2376 days 0.0
TCGA-G4-6628-01A 78 years, male, white, stage:i, alive, 2424 days 0.0
TCGA-DM-A28C-01A 74 years, male, white, stage:iia, dead, 2475 days 0.0
TCGA-AA-3821-01A 81 years, female, stage:i, alive, 31 days 0.0
TCGA-A6-A567-01A 56 years, male, black or african american, stage:iv, dead, 1881 days 0.0
TCGA-AA-3696-01A 75 years, female, stage:iv, dead, 153 days 0.0
TCGA-DY-A1DG-01A 75 years, male, white, stage:iva, dead, 1566 days 0.0
TCGA-AM-5821-01A 68 years, female, white, stage:iia, alive, 28 days 0.0
TCGA-AG-A023-01A 62 years, female, stage:iv, dead, 1581 days 0.0
TCGA-AA-A029-01A 67 years, male, stage:ii, alive, 1581 days 0.0
TCGA-AA-3672-01A 90 years, female, stage:iii, alive, 28 days 0.0
TCGA-DY-A0XA-01A 57 years, female, white, stage:iia, alive, 3846 days 0.0
TCGA-AA-A01S-01A 47 years, female, stage:iii, alive, 31 days 0.0
TCGA-G4-6304-01A 66 years, female, white, stage:iib, alive, 1631 days 0.0
TCGA-DM-A28E-01A 72 years, female, white, stage:iia, alive, 3648 days 0.0
TCGA-AA-3664-01A 74 years, female, stage:ii, alive, 1643 days 0.0
TCGA-AG-A00C-01A 49 years, female, stage:iiib, alive, 183 days 0.0
TCGA-CA-5256-01A 54 years, female, asian, stage:iia, alive, 379 days 0.0
TCGA-AA-3543-01A 84 years, male, stage:i, alive, 30 days 0.0
TCGA-G5-6235-01A 72 years, male, white, stage:iiib, alive, 1696 days 0.0
TCGA-AZ-4614-01A 71 years, female, white, stage:iva, dead, 172 days 0.0
TCGA-D5-5540-01A 73 years, male, white, stage:iia, alive, 1706 days 0.0
TCGA-AA-A02J-01A 70 years, female, stage:iv, dead, 153 days 0.0
TCGA-AA-3818-01A 78 years, female, stage:iia, dead, 30 days 0.0
TCGA-CM-5862-01A 80 years, male, white, stage:iva, dead, 153 days 0.0
TCGA-AZ-4315-01A 61 years, male, white, stage:iia, alive, 1776 days 0.0
TCGA-AZ-4308-01A 47 years, female, white, stage:iiib, alive, 3324 days 0.0
TCGA-AZ-6599-01A 72 years, male, white, stage:i, dead, 206 days 0.0
TCGA-RU-A8FL-01A 51 years, male, black or african american, stage:iiib, alive, 1177 days 0.0
TCGA-DM-A1D8-01A 50 years, female, white, dead, 383 days 0.0
TCGA-A6-5666-01A 78 years, male, white, stage:iic, alive, 995 days 0.0
TCGA-AA-3950-01A 79 years, female, stage:iia, alive, 730 days 0.0
TCGA-AA-3858-01A 67 years, male, stage:i, alive, 945 days 0.0
TCGA-G4-6298-01A 90 years, male, black or african american, stage:iiib, dead, 715 days 0.0
TCGA-F4-6460-01A 51 years, female, white, stage:iiib, dead, 972 days 0.0
TCGA-CM-4743-01A 69 years, male, white, stage:iia, alive, 701 days 0.0
TCGA-AA-A01F-01A 72 years, male, stage:iiib, alive, 974 days 0.0
TCGA-AG-A00Y-01A 68 years, male, stage:iia, alive, 700 days 0.0
TCGA-AZ-4682-01B 61 years, male, white, stage:iva, dead, 680 days 0.0
TCGA-AM-5820-01A 60 years, female, white, stage:iva, alive, 14 days 0.0
TCGA-CK-5914-01A 81 years, male, white, stage:iiib, alive, 669 days 0.0
TCGA-AG-A002-01A 35 years, male, stage:i, alive, 638 days 0.0
TCGA-AA-3979-01A 84 years, male, stage:iia, alive, 730 days 0.0
TCGA-AA-3955-01A 38 years, male, stage:iiib, alive, 638 days 0.0
TCGA-QG-A5YX-01A 61 years, female, black or african american, stage:iia, alive, 1003 days 0.0
TCGA-AY-5543-01A 65 years, female, black or african american, stage:iva, alive, 1004 days 0.0
TCGA-A6-6650-01A 69 years, female, black or african american, stage:iia, alive, 627 days 0.0
TCGA-A6-6782-01A 82 years, male, white, stage:iib, alive, 617 days 0.0
TCGA-AA-A01T-01A 63 years, female, stage:iii, alive, 1005 days 0.0
TCGA-AA-3560-01A 72 years, female, stage:iiic, alive, 608 days 0.0
TCGA-A6-5661-01A 80 years, female, black or african american, stage:iia, alive, 1020 days 0.0
TCGA-F4-6808-01A 54 years, female, white, stage:i, alive, 1024 days 0.0
TCGA-AH-6903-01A 46 years, male, white, stage:iiib, alive, 592 days 0.0
TCGA-AG-3584-01A 60 years, male, stage:iv, dead, 730 days 0.0
TCGA-AA-A01I-01A 76 years, male, stage:i, alive, 943 days 0.0
TCGA-AA-A00F-01A 66 years, male, stage:iiic, alive, 1035 days 0.0
TCGA-CM-6164-01A 46 years, female, white, stage:iia, alive, 883 days 0.0
TCGA-G4-6320-01A 73 years, male, white, stage:iii, alive, 804 days 0.0
TCGA-G4-6588-01A 58 years, female, white, stage:iia, alive, 796 days 0.0
TCGA-G4-6322-01A 65 years, male, white, stage:iiib, alive, 792 days 0.0
TCGA-AA-3976-01A 70 years, male, stage:iiia, alive, 791 days 0.0
TCGA-AA-3949-01A 87 years, female, stage:iiib, alive, 791 days 0.0
TCGA-AG-A00H-01A 75 years, male, stage:iia, alive, 790 days 0.0
TCGA-G4-6294-01A 76 years, male, white, stage:iv, dead, 858 days 0.0
TCGA-F5-6702-01A 71 years, male, white, stage:iva, alive, 869 days 0.0
TCGA-AA-3534-01A 78 years, female, stage:iia, alive, 882 days 0.0
TCGA-DC-6682-01A 57 years, male, white, stage:iia, alive, 762 days 0.0
TCGA-DC-4749-01A 57 years, male, white, stage:i, alive, 762 days 0.0
TCGA-AA-3941-01A 84 years, female, stage:iva, alive, 730 days 0.0
TCGA-A6-5667-01A 40 years, female, white, stage:iiib, alive, 887 days 0.0
TCGA-CM-4747-01A 47 years, male, white, stage:iva, alive, 761 days 0.0
TCGA-AA-3977-01A 65 years, male, alive, 761 days 0.0
TCGA-AG-3901-01A 67 years, female, stage:iiib, alive, 761 days 0.0
TCGA-AG-3728-01A 73 years, male, stage:iiib, alive, 912 days 0.0
TCGA-AA-A00E-01A 65 years, male, stage:iia, alive, 913 days 0.0
TCGA-AA-3861-01A 72 years, male, stage:iia, alive, 914 days 0.0
TCGA-A6-6653-01A 82 years, male, white, stage:i, alive, 742 days 0.0
TCGA-DY-A1DF-01A 73 years, female, white, stage:iiic, dead, 734 days 0.0
TCGA-DC-5869-01A 62 years, female, black or african american, stage:iiib, alive, 943 days 0.0
TCGA-AG-3593-01A 72 years, female, stage:iia, alive, 1035 days 0.0
TCGA-AA-A00D-01A 70 years, male, stage:i, alive, 578 days 0.0
TCGA-A6-2678-01A 43 years, female, white, stage:iiib, alive, 1286 days 0.0
TCGA-AG-A02G-01A 66 years, male, stage:iv, dead, 1185 days 0.0
TCGA-DM-A288-01A 68 years, male, white, stage:iiic, dead, 427 days 0.0
TCGA-AG-4005-01A 64 years, male, stage:iv, alive, 427 days 0.0
TCGA-AG-3894-01A 65 years, male, stage:iia, alive, 426 days 0.0
TCGA-A6-2682-01A 70 years, male, white, stage:iv, dead, 424 days 0.0
TCGA-AG-A008-01A 50 years, female, stage:i, alive, 424 days 0.0
TCGA-AA-A00L-01A 66 years, male, stage:iia, alive, 1157 days 0.0
TCGA-AA-3973-01A 69 years, male, stage:iv, alive, 397 days 0.0
TCGA-CM-4752-01A 58 years, male, black or african american, stage:iia, alive, 396 days 0.0
TCGA-DM-A0XF-01A 68 years, female, white, stage:iiic, dead, 1162 days 0.0
TCGA-AD-6965-01A 62 years, male, white, stage:iiic, alive, 805 days 0.0
TCGA-AA-3542-01A 69 years, male, stage:iiic, alive, 395 days 0.0
TCGA-A6-2684-01C 75 years, female, white, stage:i, alive, 1127 days 0.0
TCGA-AA-3939-01A 83 years, male, stage:iia, alive, 395 days 0.0
TCGA-CA-5254-01A 42 years, female, asian, stage:iia, alive, 386 days 0.0
TCGA-G4-6311-01A 80 years, male, white, stage:iii, alive, 1199 days 0.0
TCGA-5M-AATE-01A 76 years, male, black or african american, stage:iia, alive, 1200 days 0.0
TCGA-AA-A02F-01A 68 years, female, stage:iv, alive, 1216 days 0.0
TCGA-4T-AA8H-01A 42 years, female, black or african american, stage:iia, alive, 385 days 0.0
TCGA-AG-A02X-01A 77 years, male, stage:i, alive, 1247 days 0.0
TCGA-AA-A02W-01A 73 years, female, stage:i, alive, 1247 days 0.0
TCGA-DT-5265-01A 51 years, male, asian, stage:ii, alive, 384 days 0.0
TCGA-AA-A00Q-01A 66 years, female, stage:iiib, alive, 1278 days 0.0
TCGA-AA-3495-01A 79 years, male, stage:i, alive, 1127 days 0.0
TCGA-AA-A00W-01A 80 years, male, stage:i, alive, 456 days 0.0
TCGA-EI-6510-01A 77 years, female, white, alive, 556 days 0.0
TCGA-G4-6317-01A 51 years, female, white, stage:iiic, alive, 1095 days 0.0
TCGA-A6-3807-01A 53 years, female, white, stage:iiic, alive, 1054 days 0.0
TCGA-NH-A50T-01A 68 years, female, black or african american, stage:iia, alive, 553 days 0.0
TCGA-AA-A01R-01A 47 years, male, stage:iii, alive, 1065 days 0.0
TCGA-AA-A03F-01A 90 years, female, stage:iii, dead, 549 days 0.0
TCGA-D5-6536-01A 73 years, male, white, stage:iia, alive, 543 days 0.0
TCGA-EI-6512-01A 64 years, female, white, stage:iiib, alive, 538 days 0.0
TCGA-D5-6538-01A 79 years, female, white, stage:iiib, alive, 521 days 0.0
TCGA-CM-5868-01A 59 years, female, white, stage:iva, alive, 518 days 0.0
TCGA-G4-6586-01A 74 years, female, white, stage:iia, alive, 1089 days 0.0
TCGA-AA-A00U-01A 50 years, male, stage:iiib, alive, 518 days 0.0
TCGA-AG-3574-01A 89 years, female, stage:ii, dead, 1096 days 0.0
TCGA-AA-A01Z-01A 68 years, male, stage:ii, alive, 1126 days 0.0
TCGA-A6-2683-01A 57 years, female, white, stage:iv, dead, 504 days 0.0
TCGA-AD-A5EK-01A 51 years, male, black or african american, stage:i, alive, 500 days 0.0
TCGA-EI-6513-01A 59 years, male, white, stage:iiib, alive, 497 days 0.0
TCGA-AG-A015-01A 64 years, female, stage:i, alive, 1096 days 0.0
TCGA-AA-3524-01A 85 years, male, stage:ii, alive, 1096 days 0.0
TCGA-EI-6514-01A 59 years, female, white, stage:iia, alive, 496 days 0.0
TCGA-A6-3810-01A 63 years, male, white, stage:iia, alive, 1111 days 0.0
TCGA-AA-3833-01A 63 years, female, stage:iia, alive, 485 days 0.0
TCGA-CM-5864-01A 60 years, male, white, stage:i, alive, 457 days 0.0
TCGA-CM-5861-01A 63 years, female, white, stage:iia, alive, 457 days 0.0
TCGA-AA-A017-01A 57 years, female, stage:iia, alive, 457 days 0.0
TCGA-CK-4948-01B 45 years, female, white, stage:iii, alive, 4502 days 0.0
Show allShow less
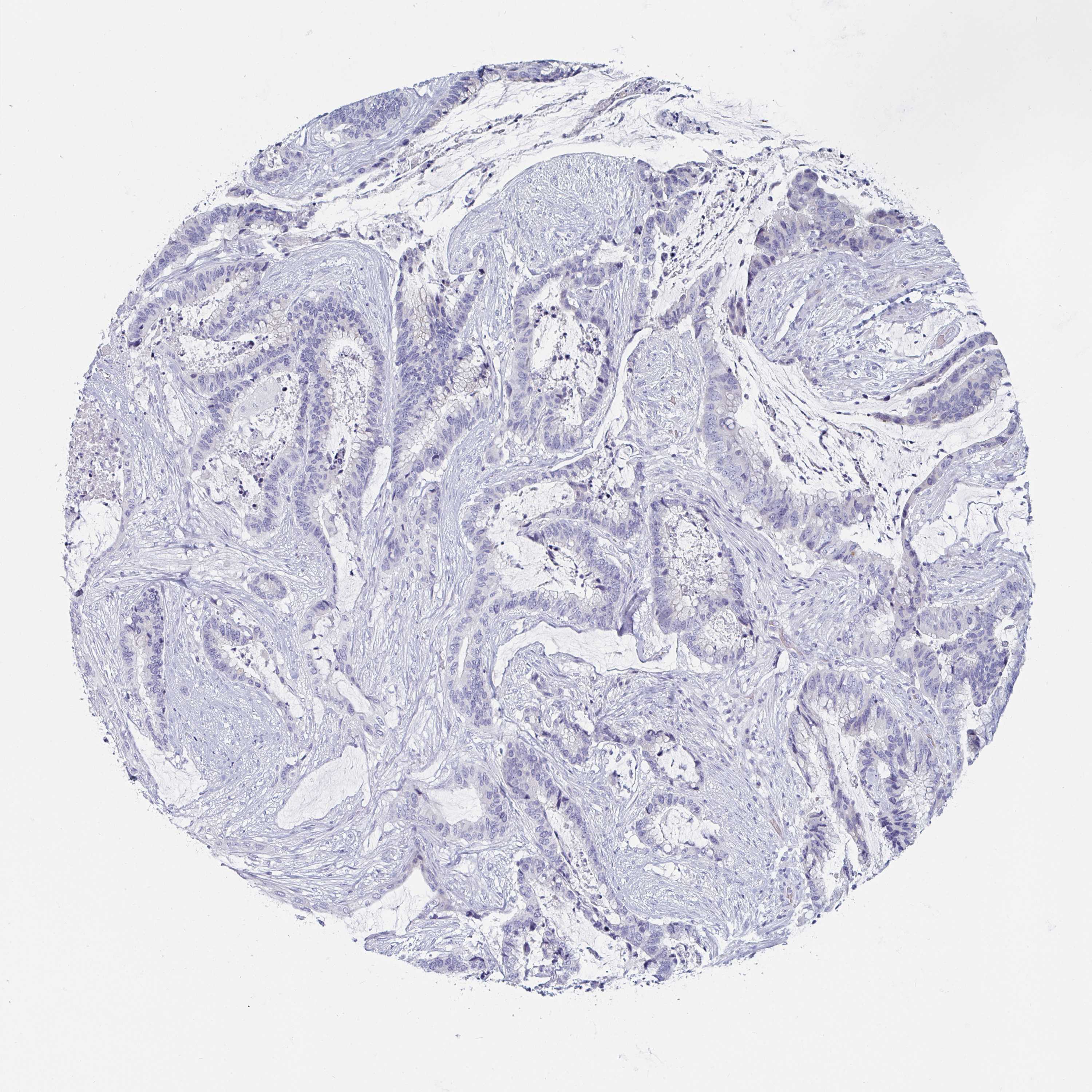
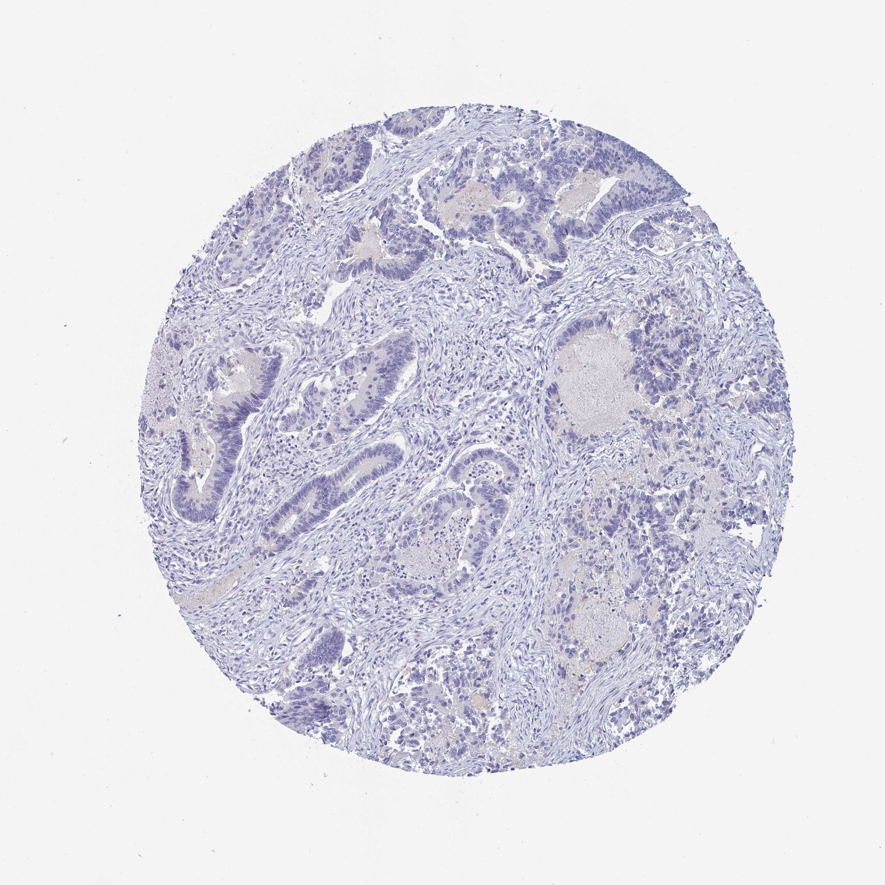
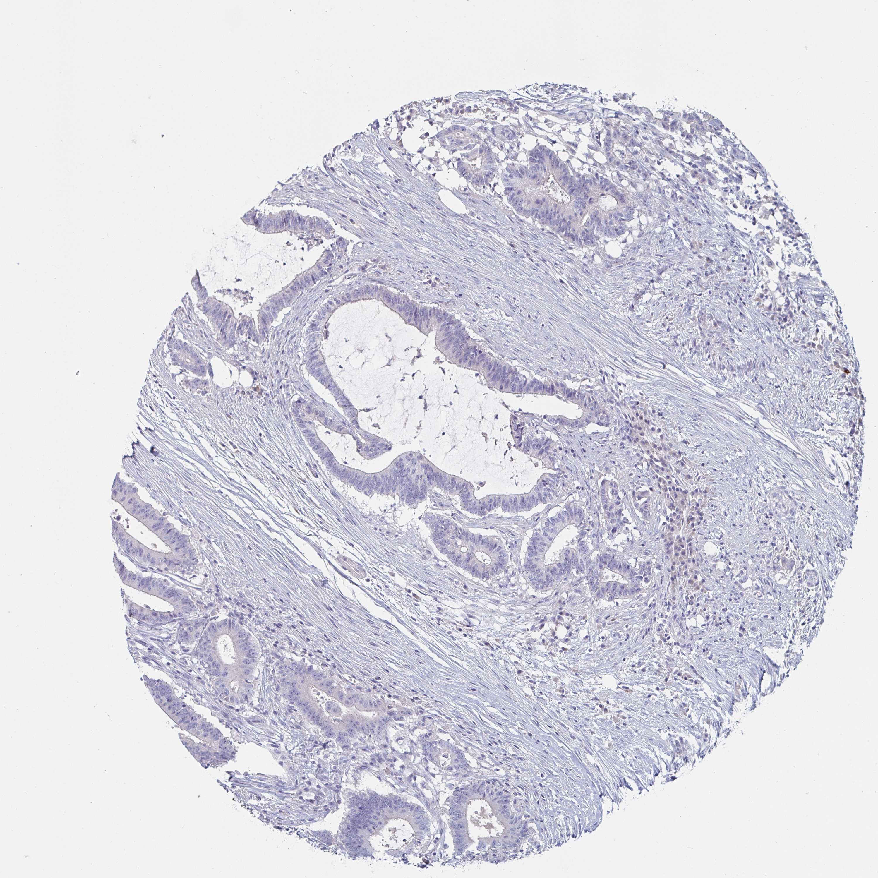
COLORECTAL CANCER - Protein expressioni

A mouse-over function shows sample information and annotation data. Click on an image to view it in a full screen mode. Samples can be filtered based on level of antibody staining by selecting one or several of the following categories: high, medium, low and not detected. The assay and annotation is described here.

Note that samples used for immunohistochemistry by the Human Protein Atlas do not correspond to samples in the TCGA dataset.

 

Antibody stainingi

Antibody staining in the annotated cell types in the current human tissue is reported as not detected, low, medium, or high, based on conventional immunohistochemistry profiling in selected tissues. This score is based on the combination of the staining intensity and fraction of stained cells.

Each image is clickable and will lead to virtual microscopy that enables deeper exploration of all samples and also displays staining intensity scores, fraction scores and subcellular localization as well as patient and tissue information for each sample.

Read more

Antibody HPA031870

Antibody HPA058607
 Staining
  High
  Medium
  Low
  Not detected
 Intensity
  Strong
  Moderate
  Weak
  Negative
 Quantity
  >75%
  75%-25%
  <25%
  None
 Location
  Nuclear
  Cytoplasmic/membranous
  Cytoplasmic/membranous,nuclear
  None
Click images for details

Contact

  • NEWS ARTICLES
  • PRESS ROOM
  • contact@proteinatlas.org

The Project

  • INTRODUCTION
  • ORGANIZATION
  • PUBLICATIONS

The Human Protein Atlas

  • DOWNLOADABLE DATA
  • LICENCE & CITATION
  • HELP & FAQ
The Human Protein Atlas project is funded
by the Knut & Alice Wallenberg Foundation.