We use cookies to enhance the usability of our website. If you continue, we'll assume that you are happy to receive all cookies. More information. Don't show this again.
NOSIP
SECTIONS
  • TISSUE
  • BRAIN
  • SINGLE CELL TYPE
  • TISSUE CELL TYPE
  • PATHOLOGY
  • DISEASE
  • IMMUNE CELL
  • BLOOD PROTEIN
  • SUBCELLULAR
  • CELL LINE
  • STRUCTURE
  • METABOLIC
ABOUT
  • INTRODUCTION
  • HISTORY
  • ORGANIZATION
  • PUBLICATIONS
  • ANTIBODY SUBMISSION
  • ANTIBODY AVAILABILITY
  • ACKNOWLEDGMENTS
  • CONTACT
NEWS
  • NEWS ARTICLES
  • PRESS ROOM
LEARN
  • DICTIONARY
  • PROTEIN CLASSES
  • PROTEIN EVIDENCE
  • METHODS
  • EDUCATIONAL VIDEOS
DATA
  • DOWNLOADABLE DATA
  • PUBLICATION DATA
  • RELEASE HISTORY
  • SARS-COV-2
HELP
  • ANTIBODY VALIDATION
  • ASSAYS & ANNOTATION
  • DISCLAIMER
  • HELP & FAQ
  • PRIVACY STATEMENT
  • LICENCE & CITATION
Fields »
Search result

Field
Term
Gene name
Class
Subclass
Class
Keyword
Chromosome
External id
Tissue
Cell type
Expression
Patient ID
Tissue
Category
Cluster
Reliability
Brain region
Category
Brain region
Category
Brain region
Category
Reliability
Cell type
Category
Cluster
Tissue
Cell type
Enrichment
Cancer
Prognosis
Cancer
Category
Cell type
Category
Cell lineage
Category
Cluster
Annotation
Disease
Location
Searches
Location
Cell line
Type
Phase
Reliability
Cancer type
Category
Cluster
Pathway
Category
Score
Score
Score
Validation
Validation
Validation
Validation
Antibodies
Protein structure
In atlas
Column


  • SUMMARY

  • TISSUE

  • BRAIN

  • SINGLE CELL

  • TISSUE CELL

  • PATHOLOGY

  • DISEASE

  • IMMUNE

  • BLOOD

  • SUBCELL

  • CELL LINE

  • STRUCTURE

  • METABOLIC

  • NOSIP
PATHOLOGY CERVICAL CANCER Show tissue menu
BREAST CANCER CARCINOID CERVICAL CANCER COLORECTAL CANCER ENDOMETRIAL CANCER GLIOMA HEAD AND NECK CANCER LIVER CANCER LUNG CANCER LYMPHOMA
MELANOMA OVARIAN CANCER PANCREATIC CANCER PROSTATE CANCER RENAL CANCER SKIN CANCER STOMACH CANCER TESTIS CANCER THYROID CANCER UROTHELIAL CANCER
ANTIBODIES
AND
VALIDATION
Dictionary
Cervical cancer
Human pathology
Cervical cancer
CERVICAL CANCER - Interactive survival scatter ploti

The Survival Scatter plot shows the clinical status (i.e. dead or alive) for all individuals in the patient cohort, based on the same data that underlies the corresponding Kaplan-Meier plots. Patients that are alive at last time for follow-up are shown in blue and patients who have died during the study are shown in red.

The x-axis shows the expression levels (FPKM) of the investigated gene in the tumor tissue at the time of diagnosis. The y-axis shows the follow-up time after diagnosis (years). Both axes are complimented with kernel density curves demonstrating the data density over the axes. The top density plot shows the expression levels (FPKM) distribution among dead (red) and alive patients (blue). The right density plot shows the data density of the survived years of dead patients with high and low expression levels respectively, stratified using the cutoff indicated by the vertical dashed line through the Survival Scatter plot. This cutoff is automatically defined based on the FPKM cutoff that minimizes the p-score. The cutoff can be changed by dragging the vertical line or by entering a cutoff value in the square labeled "Current cut-off".

Under the Survival Scatter plot the p-score landscape (black curve; left axis) is shown together with dead median separation (red curve; right axis). Dead median separation is the difference in median mRNA expression between patients who have died with high and low expression, respectively. It is calculated as follows: median FPKM expression of dead patients with high expression - median FPKM expression of dead patients with low expression. This is intended to aid the user in visually exploring custom cutoffs and the associated p-scores and dead median separation.

Individual patient data is displayed and can be filtered by clicking on one or more of the category buttons on the top of the page. Categories describing expression level and patient information include: high, low, alive, dead, female, male and tumor stages. The scale of the x-axis can be toggled between linear and log-scale by clicking on the "x log" button. Mouse-over function shows TCGA ID, patient information and mRNA expression (FPKM) for each patient.

& Survival analysisi

Kaplan-Meier plots summarize results from analysis of correlation between mRNA expression level and patient survival. Patients were divided based on level of expression into one of the two groups "low" (under cut off) or "high" (over cut off). X-axis shows time for survival (years) and y-axis shows the probability of survival, where 1.0 corresponds to 100 percent.

Read more
NOSIP is not prognostic in cervical cancer


Stage:
Survival analysis
Current cut offi

Current cut-off shows the cut-off (FPKM) currently selected. It may be changed manually. When the current cut-off is changed, the vertical dashed line indicating cut-off, the interactive survival scatter plot and the Kaplan-Meier curve will be automatically adjusted to show results accordingly.

:
Best expression cut offi

Based on the FPKM value of each gene, patients were classified into two groups and association between prognosis (survival) and gene expression (FPKM) was examined. The best expression cut-off refers the FPKM value that yields maximal difference with regard to survival between the two groups at the lowest log-rank P-value. Best expression cut-off was selected based on survival analysis .

When clicking on this number, the vertical dashed line indicating cut-off, the interactive survival plot, and the Kaplan-Meier curve will be adjusted to show results based on the best expression cut-off.

Read more
: 11.44
Median expressioni

Median expression refers to the median FPKM value calculated based on the gene expression (FPKM) data from all patients in this dataset. When clicking on this number, the vertical dashed line indicating cut-off, the interactive survival plot, and the Kaplan-Meier curve will be adjusted to show results based on the median expression.

Read more
: N/A
Median follow up timei

Median follow up time refers to the median time (years) after diagnosis with this type of cancer, based on clinical data from all patients in this dataset.

: N/A
P scorei

Log-rank P value for Kaplan-Meier plot showing results from analysis of correlation between mRNA expression level and patient survival.

N/A
5-year survival highi

5-year survival for patients with higher expression than the expression cutoff.

For melanoma and glioma, 3-year survival is shown.

N/A
5-year survival lowi

5-year survival for patients with lower expression than the expression cutoff.

For melanoma and glioma, 3-year survival is shown.

N/A
TCGA RNA samplesi

RNA-seq data is reported as average FPKM (number Fragments Per Kilobase of exon per Million reads), generated by the The Cancer Genome Atlas (TCGA) .

Normal distribution across the dataset is visualized with box plots, shown as median and 25th and 75th percentiles. Points are displayed as outliers if they are above or below 1.5 times the interquartile range. FPKM values of the individual samples are presented next to the box plot.

Average FPKM 17.9
Number of samples 291
Samples
Sample Description FPKM
TCGA-DG-A2KJ-01A 50 years, female, alive, 2893 days 101.0
TCGA-Q1-A5R3-01A 56 years, female, white, alive, 485 days 100.9
TCGA-FU-A23K-01A 28 years, female, white, alive, 372 days 68.1
TCGA-C5-A2LY-01A 30 years, female, white, alive, 2383 days 59.7
TCGA-C5-A0TN-01A 21 years, female, black or african american, dead, 348 days 55.8
TCGA-EA-A43B-01A 43 years, female, white, alive, 791 days 48.5
TCGA-C5-A1ME-01A 41 years, female, white, alive, 1756 days 47.3
TCGA-C5-A1MF-01A 49 years, female, white, alive, 1617 days 45.7
TCGA-ZJ-A8QR-01A 38 years, female, native hawaiian or other pacific islander, dead, 582 days 43.6
TCGA-JW-A852-01A 42 years, female, white, dead, 252 days 43.1
TCGA-FU-A3EO-01A 55 years, female, white, alive, 490 days 42.4
TCGA-C5-A2LX-01A 54 years, female, white, alive, 2526 days 42.3
TCGA-UC-A7PD-01A 21 years, female, american indian or alaska native, dead, 355 days 40.8
TCGA-C5-A1BN-01B 26 years, female, white, dead, 166 days 39.7
TCGA-DS-A7WI-01A 43 years, female, white, dead, 252 days 39.4
TCGA-C5-A1MQ-01A 35 years, female, white, alive, 1031 days 38.2
TCGA-EK-A2R7-01A 45 years, female, white, alive, 27 days 37.8
TCGA-MY-A913-01A 28 years, female, black or african american, alive, 524 days 34.1
TCGA-EK-A2PL-01A 36 years, female, white, alive, 13 days 33.5
TCGA-VS-A8EI-01A 38 years, female, white, alive, 729 days 32.2
TCGA-LP-A7HU-01A 53 years, female, asian, alive, 406 days 32.1
TCGA-C5-A7X3-01A 70 years, female, white, dead, 284 days 31.5
TCGA-R2-A69V-01A 42 years, female, white, alive, 596 days 31.5
TCGA-EK-A2H1-01A 20 years, female, white, alive, 799 days 31.4
TCGA-ZJ-A8QQ-01A 24 years, female, white, alive, 2056 days 30.5
TCGA-C5-A2LT-01A 38 years, female, white, alive, 2226 days 30.3
TCGA-JW-A5VG-01A 35 years, female, american indian or alaska native, alive, 834 days 30.3
TCGA-C5-A7CO-01A 68 years, female, white, alive, 4482 days 27.9
TCGA-DS-A1OD-01A 49 years, female, white, alive, 3874 days 27.7
TCGA-EA-A410-01A 51 years, female, white, alive, 803 days 27.7
TCGA-LP-A4AX-01A 45 years, female, asian, alive, 380 days 27.5
TCGA-EA-A5O9-01A 39 years, female, white, alive, 788 days 27.5
TCGA-EK-A2RE-01A 26 years, female, white, alive, 57 days 27.2
TCGA-VS-A9UD-01A 73 years, female, white, alive, 739 days 27.2
TCGA-MY-A5BE-01A 42 years, female, black or african american, alive, 1066 days 27.0
TCGA-FU-A3HZ-01A 64 years, female, white, alive, 1103 days 26.2
TCGA-LP-A5U2-01A 30 years, female, asian, alive, 9 days 25.5
TCGA-EK-A2PK-01A 43 years, female, white, alive, 12 days 25.5
TCGA-C5-A2LV-01A 36 years, female, black or african american, alive, 2234 days 25.4
TCGA-C5-A1BK-01B 36 years, female, black or african american, alive, 5385 days 25.1
TCGA-EK-A2RK-01A 67 years, female, white, alive, 13 days 24.7
TCGA-VS-A8Q8-01A 26 years, female, white, dead, 978 days 24.7
TCGA-C5-A7UE-01A 45 years, female, white, alive, 4738 days 24.6
TCGA-Q1-A5R2-01A 64 years, female, white, alive, 499 days 24.5
TCGA-JX-A5QV-01A 37 years, female, white, alive, 636 days 24.5
TCGA-EA-A78R-01A 54 years, female, asian, alive, 410 days 24.3
TCGA-IR-A3LL-01A 60 years, female, white, alive, 1106 days 24.2
TCGA-VS-A9UP-01A 43 years, female, alive, 1444 days 24.1
TCGA-VS-A8EL-01A 38 years, female, black or african american, alive, 1992 days 24.1
TCGA-VS-A958-01A 46 years, female, white, alive, 1525 days 24.1
TCGA-Q1-A73S-01A 33 years, female, white, alive, 688 days 24.0
TCGA-C5-A1MI-01A 50 years, female, white, dead, 1083 days 23.6
TCGA-C5-A902-01A 35 years, female, black or african american, alive, 149 days 23.6
TCGA-HM-A6W2-01A 35 years, female, black or african american, alive, 287 days 23.5
TCGA-C5-A1M7-01A 37 years, female, white, alive, 1409 days 23.2
TCGA-EA-A4BA-01A 49 years, female, white, alive, 755 days 23.1
TCGA-RA-A741-01A 34 years, female, white, alive, 444 days 23.0
TCGA-EA-A3Y4-01A 40 years, female, white, alive, 1122 days 22.6
TCGA-C5-A8XK-01A 30 years, female, black or african american, alive, 3039 days 22.6
TCGA-EA-A556-01A 38 years, female, white, alive, 453 days 22.5
TCGA-C5-A1M6-01A 55 years, female, white, dead, 955 days 22.5
TCGA-ZJ-AAXU-01A 51 years, female, white, alive, 5 days 22.5
TCGA-EK-A2H0-01A 24 years, female, white, alive, 1847 days 22.4
TCGA-EA-A5ZF-01A 56 years, female, asian, alive, 828 days 22.3
TCGA-EX-A1H5-01A 58 years, female, black or african american, alive, 619 days 21.9
TCGA-EA-A1QT-01A 47 years, female, white, alive, 1243 days 21.8
TCGA-IR-A3LK-01A 69 years, female, white, dead, 908 days 21.7
TCGA-VS-A94W-01A 39 years, female, white, alive, 1243 days 21.5
TCGA-JW-A5VH-01A 53 years, female, american indian or alaska native, dead, 100 days 21.0
TCGA-C5-A3HD-01B 51 years, female, white, alive, 1582 days 20.6
TCGA-C5-A7X8-01A 35 years, female, white, alive, 83 days 20.6
TCGA-HM-A3JJ-01A 40 years, female, black or african american, dead, 659 days 20.4
TCGA-MA-AA42-01A 75 years, female, white, alive, 259 days 20.3
TCGA-EK-A2RB-01A 48 years, female, white, alive, 9 days 20.1
TCGA-EA-A3QD-01A 59 years, female, white, alive, 397 days 20.1
TCGA-C5-A907-01A 47 years, female, white, alive, 448 days 20.1
TCGA-VS-A94X-01A 40 years, female, black or african american, dead, 506 days 20.0
TCGA-MA-AA3X-01A 50 years, female, black or african american, alive, 595 days 19.8
TCGA-EX-A69L-01A 41 years, female, asian, alive, 602 days 19.7
TCGA-VS-A959-01A 76 years, female, alive, 1561 days 19.7
TCGA-C5-A1M8-01A 43 years, female, white, alive, 919 days 19.5
TCGA-DS-A0VN-01A 47 years, female, white, alive, 2910 days 19.5
TCGA-FU-A40J-01A 38 years, female, white, alive, 426 days 19.4
TCGA-JX-A3PZ-01A 25 years, female, white, dead, 642 days 19.4
TCGA-EA-A3HU-01A 43 years, female, white, alive, 1013 days 19.4
TCGA-C5-A905-01A 37 years, female, black or african american, alive, 4879 days 19.2
TCGA-EX-A449-01A 42 years, female, white, alive, 447 days 19.2
TCGA-FU-A3HY-01A 47 years, female, white, alive, 954 days 19.2
TCGA-C5-A7UH-01A 55 years, female, white, alive, 3988 days 18.8
TCGA-VS-A953-01A 63 years, female, dead, 477 days 18.6
TCGA-EK-A3GJ-01A 51 years, female, native hawaiian or other pacific islander, alive, 3 days 18.4
TCGA-VS-A9UH-01A 53 years, female, black or african american, alive, 1427 days 18.4
TCGA-VS-A9UI-01A 76 years, female, white, dead, 1372 days 18.3
TCGA-IR-A3L7-01A 37 years, female, white, alive, 4483 days 18.3
TCGA-C5-A8XH-01A 39 years, female, white, dead, 1394 days 18.2
TCGA-EK-A2IP-01A 28 years, female, white, alive, 202 days 18.2
TCGA-C5-A7CH-01A 43 years, female, white, alive, 4694 days 18.0
TCGA-VS-A9UT-01A 72 years, female, asian, alive, 482 days 17.9
TCGA-EK-A2RM-01A 40 years, female, white, alive, 50 days 17.8
TCGA-VS-A9UJ-01A 55 years, female, dead, 52 days 17.8
TCGA-EA-A6QX-01A 49 years, female, asian, alive, 730 days 17.7
TCGA-DS-A0VL-01A 25 years, female, white, alive, 1692 days 17.7
TCGA-FU-A23L-01A 60 years, female, white, alive, 725 days 17.7
TCGA-2W-A8YY-01A 51 years, female, white, alive, 533 days 17.6
TCGA-VS-A8QH-01A 76 years, female, white, dead, 1210 days 17.6
TCGA-JX-A3Q8-01A 40 years, female, asian, alive, 1357 days 17.5
TCGA-FU-A5XV-01A 32 years, female, white, alive, 321 days 17.4
TCGA-EX-A3L1-01A 32 years, female, white, alive, 463 days 17.4
TCGA-VS-A8QA-01A 44 years, female, alive, 1099 days 17.2
TCGA-VS-A8EJ-01A 60 years, female, white, dead, 607 days 16.9
TCGA-C5-A8YR-01A 56 years, female, white, dead, 837 days 16.8
TCGA-EK-A2R9-01A 58 years, female, white, alive, 4 days 16.8
TCGA-VS-A8EB-01A 41 years, female, white, dead, 305 days 16.7
TCGA-VS-A8QC-01A 51 years, female, white, dead, 350 days 16.7
TCGA-EA-A439-01A 50 years, female, asian, alive, 965 days 16.7
TCGA-PN-A8MA-01A 43 years, female, black or african american, alive, 90 days 16.7
TCGA-DS-A0VM-01A 51 years, female, white, alive, 2128 days 16.5
TCGA-EA-A411-01A 50 years, female, white, alive, 747 days 16.4
TCGA-FU-A3TX-01A 78 years, female, alive, 45 days 16.4
TCGA-VS-A8EK-01A 65 years, female, white, dead, 829 days 16.2
TCGA-JX-A3Q0-01A 63 years, female, black or african american, alive, 6375 days 16.2
TCGA-VS-A9UB-01A 54 years, female, alive, 911 days 16.1
TCGA-VS-A9UZ-01A 61 years, female, white, alive, 2044 days 16.0
TCGA-VS-A954-01A 67 years, female, alive, 1714 days 15.9
TCGA-HM-A3JK-01A 64 years, female, white, alive, 632 days 15.9
TCGA-EK-A2RN-01A 45 years, female, white, alive, 71 days 15.7
TCGA-DS-A1OC-01A 47 years, female, white, alive, 376 days 15.7
TCGA-VS-A8QF-01A 42 years, female, white, alive, 1800 days 15.6
TCGA-DG-A2KK-01A 51 years, female, alive, 2496 days 15.6
TCGA-EK-A2RL-01A 33 years, female, black or african american, dead, 1453 days 15.6
TCGA-EK-A2RA-01A 74 years, female, alive, 1246 days 15.5
TCGA-ZJ-AAXA-01A 64 years, female, white, alive, 43 days 15.4
TCGA-VS-A8QM-01A 47 years, female, dead, 951 days 15.4
TCGA-C5-A3HE-01A 44 years, female, white, alive, 548 days 15.4
TCGA-C5-A1MH-01A 71 years, female, white, dead, 1186 days 15.4
TCGA-IR-A3LI-01A 48 years, female, white, alive, 2493 days 15.4
TCGA-VS-A94Z-01A 38 years, female, white, alive, 1015 days 15.3
TCGA-JW-A5VL-01A 37 years, female, american indian or alaska native, alive, 474 days 15.3
TCGA-C5-A8YT-01A 36 years, female, white, dead, 633 days 15.3
TCGA-EK-A2RC-01A 33 years, female, alive, 129 days 15.3
TCGA-Q1-A73R-01A 45 years, female, white, alive, 567 days 15.1
TCGA-C5-A1MN-01A 42 years, female, white, dead, 1245 days 15.0
TCGA-MA-AA3W-01A 54 years, female, white, alive, 685 days 15.0
TCGA-C5-A7CK-01A 58 years, female, white, dead, 4086 days 14.9
TCGA-MY-A5BF-01A 68 years, female, white, alive, 634 days 14.9
TCGA-VS-A9UU-01A 42 years, female, alive, 442 days 14.9
TCGA-LP-A4AW-01A 52 years, female, asian, alive, 27 days 14.9
TCGA-Q1-A73O-01A 37 years, female, alive, 428 days 14.9
TCGA-VS-A8EC-01A 55 years, female, white, alive, 1415 days 14.8
TCGA-IR-A3LA-01A 60 years, female, white, alive, 4172 days 14.8
TCGA-C5-A1MK-01A 79 years, female, white, dead, 74 days 14.7
TCGA-C5-A7UI-01A 42 years, female, black or african american, dead, 2888 days 14.6
TCGA-LP-A5U3-01A 40 years, female, asian, alive, 25 days 14.6
TCGA-EK-A2PG-01A 89 years, female, black or african american, alive, 46 days 14.5
TCGA-Q1-A6DV-01A 36 years, female, asian, alive, 491 days 14.5
TCGA-DS-A0VK-01A 46 years, female, white, dead, 1118 days 14.5
TCGA-EA-A44S-01A 31 years, female, white, alive, 369 days 14.4
TCGA-EA-A3QE-01A 45 years, female, white, alive, 761 days 14.4
TCGA-IR-A3LH-01A 49 years, female, black or african american, alive, 2394 days 14.3
TCGA-MU-A51Y-01A 27 years, female, white, alive, 854 days 14.2
TCGA-DS-A5RQ-01A 80 years, female, white, alive, 512 days 14.2
TCGA-FU-A3WB-01A 43 years, female, white, alive, 491 days 14.1
TCGA-UC-A7PI-01A 45 years, female, white, alive, 2114 days 14.0
TCGA-DR-A0ZM-01A 61 years, female, white, alive, 1791 days 14.0
TCGA-FU-A2QG-01A 29 years, female, white, alive, 579 days 14.0
TCGA-IR-A3LB-01A 53 years, female, white, dead, 2032 days 13.9
TCGA-ZJ-AAX4-01A 85 years, female, white, alive, 21 days 13.9
TCGA-C5-A1BF-01B 46 years, female, white, dead, 570 days 13.8
TCGA-EK-A2RO-01A 59 years, female, american indian or alaska native, alive, 2 days 13.8
TCGA-Q1-A5R1-01A 32 years, female, white, alive, 474 days 13.8
TCGA-MA-AA3Z-01A 43 years, female, white, alive, 595 days 13.8
TCGA-DS-A7WF-01A 41 years, female, dead, 492 days 13.6
TCGA-BI-A20A-01A 49 years, female, white, alive, 720 days 13.6
TCGA-UC-A7PF-01A 44 years, female, dead, 2859 days 13.5
TCGA-VS-A9U5-01A 57 years, female, white, alive, 1535 days 13.4
TCGA-C5-A7CG-01A 55 years, female, white, alive, 6408 days 13.4
TCGA-C5-A7XC-01A 26 years, female, white, alive, 1551 days 13.1
TCGA-C5-A1M5-01A 53 years, female, white, dead, 2052 days 13.1
TCGA-FU-A770-01A 33 years, female, white, alive, 34 days 13.0
TCGA-EA-A50E-01A 45 years, female, asian, dead, 227 days 13.0
TCGA-C5-A2LZ-01A 65 years, female, white, dead, 3046 days 12.9
TCGA-VS-A94Y-01A 47 years, female, white, dead, 144 days 12.9
TCGA-4J-AA1J-01A 31 years, female, white, alive, 542 days 12.9
TCGA-DS-A1OB-01A 45 years, female, white, dead, 861 days 12.9
TCGA-WL-A834-01A female, white, alive, 791 days 12.8
TCGA-C5-A1BE-01B 65 years, female, white, dead, 2094 days 12.8
TCGA-FU-A57G-01A 49 years, female, white, alive, 1078 days 12.8
TCGA-VS-AA62-01A 51 years, female, white, dead, 469 days 12.7
TCGA-VS-A9UO-01A 43 years, female, white, alive, 1456 days 12.7
TCGA-C5-A2M2-01A 56 years, female, white, dead, 1011 days 12.7
TCGA-EK-A3GN-01A 47 years, female, white, alive, 27 days 12.7
TCGA-IR-A3LF-01A 64 years, female, white, alive, 2949 days 12.7
TCGA-VS-A9UQ-01A 32 years, female, alive, 1263 days 12.7
TCGA-EK-A2PI-01A 44 years, female, white, alive, 586 days 12.6
TCGA-VS-A8EG-01A 36 years, female, alive, 1386 days 12.6
TCGA-C5-A8XI-01A 69 years, female, black or african american, alive, 254 days 12.5
TCGA-LP-A4AU-01A 35 years, female, asian, alive, 343 days 12.5
TCGA-EK-A2R8-01A 48 years, female, white, alive, 44 days 12.5
TCGA-EA-A5ZD-01A 40 years, female, asian, alive, 830 days 12.5
TCGA-VS-A9UV-01A 74 years, female, dead, 104 days 12.4
TCGA-MA-AA43-01A 48 years, female, white, alive, 346 days 12.4
TCGA-DG-A2KH-01A 25 years, female, alive, 34 days 12.4
TCGA-C5-A3HF-01A 24 years, female, white, dead, 543 days 12.4
TCGA-EK-A2IR-01A 48 years, female, white, alive, 3442 days 12.3
TCGA-VS-A9UR-01A 53 years, female, white, alive, 793 days 12.3
TCGA-MA-AA3Y-01A 48 years, female, white, alive, 542 days 12.3
TCGA-JW-AAVH-01A 46 years, female, white, alive, 552 days 12.2
TCGA-DS-A3LQ-01A 46 years, female, alive, 699 days 12.2
TCGA-EX-A8YF-01A 44 years, female, white, alive, 473 days 12.2
TCGA-JW-A69B-01A 44 years, female, white, alive, 863 days 12.1
TCGA-VS-A952-01A 66 years, female, white, alive, 1778 days 12.0
TCGA-DR-A0ZL-01A 53 years, female, asian, alive, 2669 days 12.0
TCGA-C5-A2M1-01A 37 years, female, white, alive, 1169 days 11.9
TCGA-C5-A1BI-01B 31 years, female, white, alive, 1112 days 11.9
TCGA-EK-A3GK-01A 33 years, female, white, alive, 15 days 11.8
TCGA-UC-A7PG-01A 44 years, female, white, dead, 370 days 11.7
TCGA-ZX-AA5X-01A 64 years, female, white, alive, 119 days 11.6
TCGA-EK-A2GZ-01A 64 years, female, black or african american, alive, 383 days 11.6
TCGA-C5-A8XJ-01A 74 years, female, white, alive, 4467 days 11.6
TCGA-VS-A950-01A 42 years, female, alive, 1221 days 11.5
TCGA-JW-A5VK-01A 43 years, female, black or african american, alive, 623 days 11.5
TCGA-VS-A9U7-01A 30 years, female, white, alive, 1472 days 11.5
TCGA-EX-A1H6-01B 38 years, female, white, alive, 241 days 11.5
TCGA-DG-A2KL-01A 53 years, female, alive, 1367 days 11.5
TCGA-VS-A9V1-01A 46 years, female, white, dead, 157 days 11.4
TCGA-VS-A9UY-01A 29 years, female, dead, 555 days 11.4
TCGA-GH-A9DA-01A 27 years, female, white, alive, 540 days 11.4
TCGA-MU-A5YI-01A 60 years, female, black or african american, alive, 1053 days 11.4
TCGA-EA-A3HS-01A 35 years, female, white, alive, 959 days 11.3
TCGA-C5-A1MP-01A 34 years, female, black or african american, alive, 109 days 11.3
TCGA-BI-A0VS-01A 48 years, female, white, alive, 1735 days 11.2
TCGA-C5-A7CL-01A 48 years, female, white, dead, 471 days 11.2
TCGA-C5-A1BJ-01A 34 years, female, white, alive, 4385 days 11.2
TCGA-BI-A0VR-01A 53 years, female, white, alive, 1505 days 11.1
TCGA-FU-A3TQ-01A 55 years, female, white, alive, 795 days 11.0
TCGA-VS-A9V2-01A 29 years, female, white, alive, 555 days 10.9
TCGA-C5-A1BQ-01C 65 years, female, white, dead, 604 days 10.9
TCGA-Q1-A73Q-01A 46 years, female, white, alive, 284 days 10.9
TCGA-DS-A1OA-01A 77 years, female, asian, dead, 879 days 10.9
TCGA-DS-A1O9-01A 75 years, female, white, dead, 266 days 10.9
TCGA-EK-A2RJ-01A 51 years, female, white, alive, 53 days 10.8
TCGA-VS-A957-01A 64 years, female, white, alive, 1688 days 10.8
TCGA-MU-A8JM-01A 47 years, female, white, alive, 607 days 10.7
TCGA-C5-A8ZZ-01A 41 years, female, white, alive, 636 days 10.6
TCGA-C5-A2LS-01A 37 years, female, white, alive, 1345 days 10.6
TCGA-EA-A5ZE-01A 54 years, female, asian, alive, 829 days 10.5
TCGA-VS-A8EH-01A 56 years, female, alive, 986 days 10.5
TCGA-Q1-A73P-01A 45 years, female, white, alive, 483 days 10.4
TCGA-VS-A9UC-01A 32 years, female, alive, 825 days 10.3
TCGA-MA-AA41-01A 33 years, female, white, alive, 254 days 10.3
TCGA-FU-A3NI-01A 45 years, female, white, dead, 638 days 10.3
TCGA-C5-A1ML-01A 49 years, female, white, dead, 636 days 10.3
TCGA-EA-A97N-01A 38 years, female, white, alive, 11 days 10.1
TCGA-VS-A9V5-01A 50 years, female, white, dead, 494 days 9.9
TCGA-C5-A3HL-01A 76 years, female, white, alive, 621 days 9.8
TCGA-HG-A2PA-01A 38 years, female, white, dead, 773 days 9.8
TCGA-VS-A9UM-01A 39 years, female, black or african american, dead, 829 days 9.8
TCGA-C5-A7X5-01A 72 years, female, black or african american, dead, 414 days 9.8
TCGA-EA-A5FO-01A 59 years, female, white, alive, 815 days 9.7
TCGA-C5-A8YQ-01A 79 years, female, white, dead, 715 days 9.7
TCGA-VS-A9V3-01A 62 years, female, white, alive, 540 days 9.5
TCGA-VS-A9UL-01A 79 years, female, white, dead, 442 days 9.5
TCGA-HM-A4S6-01A 51 years, female, white, alive, 454 days 9.4
TCGA-FU-A3YQ-01A 35 years, female, white, alive, 861 days 9.3
TCGA-XS-A8TJ-01A 41 years, female, black or african american, alive, 890 days 9.3
TCGA-C5-A1BM-01A 78 years, female, black or african american, dead, 2520 days 9.2
TCGA-IR-A3LC-01A 40 years, female, white, alive, 3935 days 9.2
TCGA-JW-A5VJ-01A 56 years, female, american indian or alaska native, alive, 652 days 9.0
TCGA-C5-A1M9-01A 46 years, female, white, dead, 1065 days 9.0
TCGA-C5-A1MJ-01A 61 years, female, white, dead, 14 days 8.9
TCGA-EA-A3HQ-01A 60 years, female, white, alive, 1136 days 8.9
TCGA-C5-A1BL-01A 32 years, female, white, alive, 5271 days 8.8
TCGA-EA-A1QS-01A 46 years, female, white, alive, 1203 days 8.5
TCGA-MY-A5BD-01A 62 years, female, white, alive, 1667 days 8.4
TCGA-JW-A5VI-01A 45 years, female, american indian or alaska native, alive, 747 days 8.2
TCGA-DS-A7WH-01A 34 years, female, white, alive, 533 days 8.2
TCGA-EX-A69M-01A 62 years, female, white, dead, 253 days 8.1
TCGA-EK-A2PM-01A 81 years, female, white, alive, 18 days 8.0
TCGA-DG-A2KM-01A 46 years, female, alive, 1946 days 7.7
TCGA-Q1-A6DW-01A 44 years, female, white, alive, 534 days 7.7
TCGA-C5-A7UC-01A 48 years, female, white, dead, 523 days 7.6
TCGA-VS-A9U6-01A 52 years, female, white, alive, 1320 days 7.6
TCGA-VS-A8Q9-01A 79 years, female, white, alive, 1630 days 7.5
TCGA-VS-A9V4-01A 63 years, female, white, dead, 132 days 7.4
TCGA-EA-A3HT-01A 68 years, female, white, alive, 954 days 7.3
TCGA-C5-A7CJ-01A 42 years, female, white, dead, 3097 days 7.2
TCGA-VS-A9V0-01A 58 years, female, alive, 573 days 7.1
TCGA-C5-A7CM-01A 35 years, female, white, alive, 619 days 6.7
TCGA-Q1-A6DT-01A 55 years, female, white, dead, 275 days 6.2
TCGA-C5-A901-01A 44 years, female, white, alive, 518 days 5.9
TCGA-EA-A3HR-01A 57 years, female, white, alive, 940 days 4.5
Show allShow less
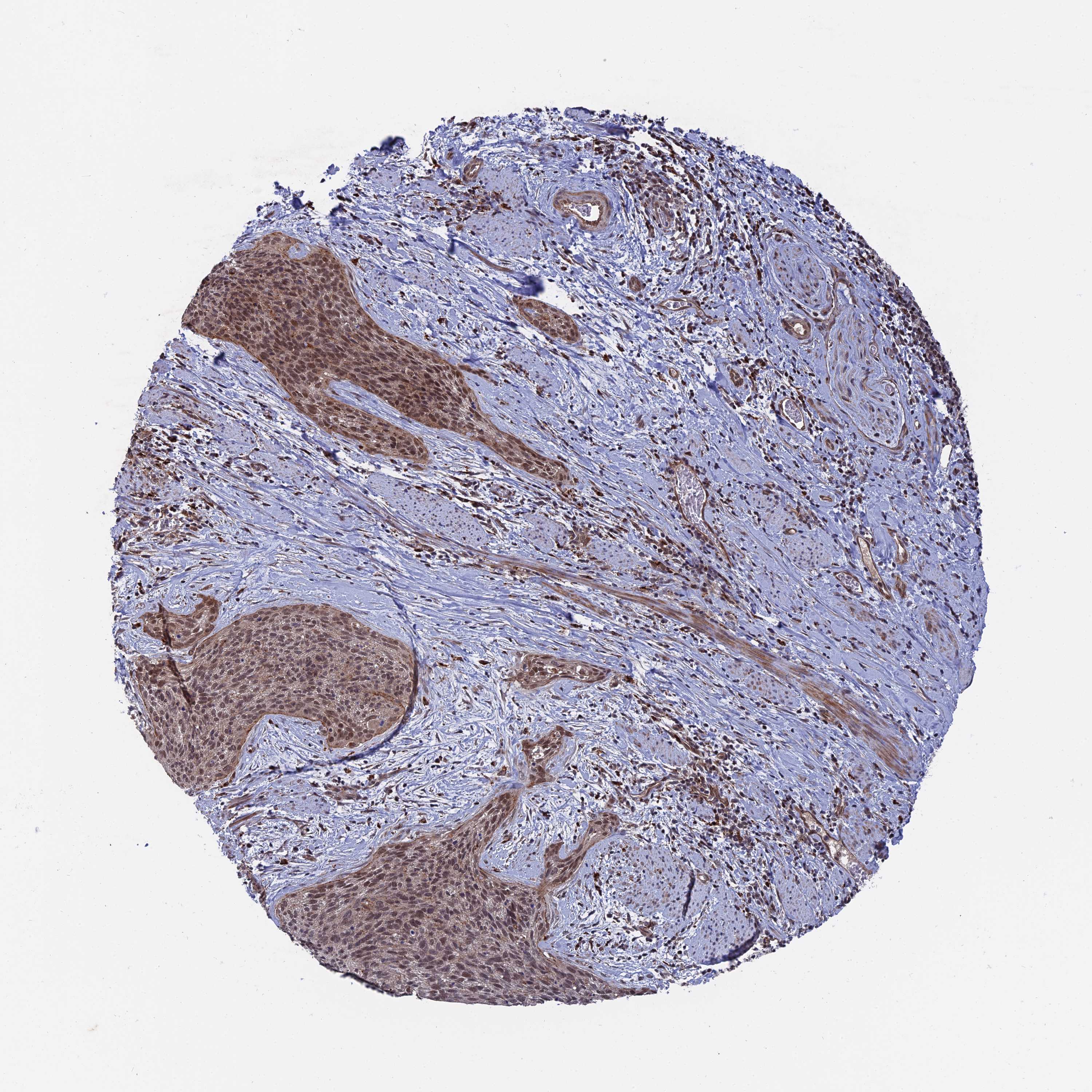
CERVICAL CANCER - Protein expressioni

A mouse-over function shows sample information and annotation data. Click on an image to view it in a full screen mode. Samples can be filtered based on level of antibody staining by selecting one or several of the following categories: high, medium, low and not detected. The assay and annotation is described here.

Note that samples used for immunohistochemistry by the Human Protein Atlas do not correspond to samples in the TCGA dataset.

 

Antibody stainingi

Antibody staining in the annotated cell types in the current human tissue is reported as not detected, low, medium, or high, based on conventional immunohistochemistry profiling in selected tissues. This score is based on the combination of the staining intensity and fraction of stained cells.

Each image is clickable and will lead to virtual microscopy that enables deeper exploration of all samples and also displays staining intensity scores, fraction scores and subcellular localization as well as patient and tissue information for each sample.

Read more

Antibody HPA043464
 Staining
  High
  Medium
  Low
  Not detected
 Intensity
  Strong
  Moderate
  Weak
  Negative
 Quantity
  >75%
  75%-25%
  <25%
  None
 Location
  Nuclear
  Cytoplasmic/membranous
  Cytoplasmic/membranous,nuclear
  None
Click images for details

Contact

  • NEWS ARTICLES
  • PRESS ROOM
  • contact@proteinatlas.org

The Project

  • INTRODUCTION
  • ORGANIZATION
  • PUBLICATIONS

The Human Protein Atlas

  • DOWNLOADABLE DATA
  • LICENCE & CITATION
  • HELP & FAQ
The Human Protein Atlas project is funded
by the Knut & Alice Wallenberg Foundation.