We use cookies to enhance the usability of our website. If you continue, we'll assume that you are happy to receive all cookies. More information. Don't show this again.
ANKK1
SECTIONS
  • TISSUE
  • BRAIN
  • SINGLE CELL TYPE
  • TISSUE CELL TYPE
  • PATHOLOGY
  • DISEASE
  • IMMUNE CELL
  • BLOOD PROTEIN
  • SUBCELLULAR
  • CELL LINE
  • STRUCTURE
  • METABOLIC
ABOUT
  • INTRODUCTION
  • HISTORY
  • ORGANIZATION
  • PUBLICATIONS
  • ANTIBODY SUBMISSION
  • ANTIBODY AVAILABILITY
  • ACKNOWLEDGMENTS
  • CONTACT
NEWS
  • NEWS ARTICLES
  • PRESS ROOM
LEARN
  • DICTIONARY
  • PROTEIN CLASSES
  • PROTEIN EVIDENCE
  • METHODS
  • EDUCATIONAL VIDEOS
DATA
  • DOWNLOADABLE DATA
  • PUBLICATION DATA
  • RELEASE HISTORY
  • SARS-COV-2
HELP
  • ANTIBODY VALIDATION
  • ASSAYS & ANNOTATION
  • DISCLAIMER
  • HELP & FAQ
  • PRIVACY STATEMENT
  • LICENCE & CITATION
Fields »
Search result

Field
Term
Gene name
Class
Subclass
Class
Keyword
Chromosome
External id
Tissue
Cell type
Expression
Patient ID
Tissue
Category
Cluster
Reliability
Brain region
Category
Brain region
Category
Brain region
Category
Reliability
Cell type
Category
Cluster
Tissue
Cell type
Enrichment
Cancer
Prognosis
Cancer
Category
Cell type
Category
Cell lineage
Category
Cluster
Annotation
Disease
Location
Searches
Location
Cell line
Type
Phase
Reliability
Cancer type
Category
Cluster
Pathway
Category
Score
Score
Score
Validation
Validation
Validation
Validation
Antibodies
Protein structure
In atlas
Column


  • SUMMARY

  • TISSUE

  • BRAIN

  • SINGLE CELL

  • TISSUE CELL

  • PATHOLOGY

  • DISEASE

  • IMMUNE

  • BLOOD

  • SUBCELL

  • CELL LINE

  • STRUCTURE

  • METABOLIC

  • ANKK1
PATHOLOGY LIVER CANCER Show tissue menu
BREAST CANCER CARCINOID CERVICAL CANCER COLORECTAL CANCER ENDOMETRIAL CANCER GLIOMA HEAD AND NECK CANCER LIVER CANCER LUNG CANCER LYMPHOMA
MELANOMA OVARIAN CANCER PANCREATIC CANCER PROSTATE CANCER RENAL CANCER SKIN CANCER STOMACH CANCER TESTIS CANCER THYROID CANCER UROTHELIAL CANCER
ANTIBODIES
AND
VALIDATION
Dictionary
Liver cancer
Human pathology
Liver cancer
LIVER CANCER - Interactive survival scatter ploti

The Survival Scatter plot shows the clinical status (i.e. dead or alive) for all individuals in the patient cohort, based on the same data that underlies the corresponding Kaplan-Meier plots. Patients that are alive at last time for follow-up are shown in blue and patients who have died during the study are shown in red.

The x-axis shows the expression levels (FPKM) of the investigated gene in the tumor tissue at the time of diagnosis. The y-axis shows the follow-up time after diagnosis (years). Both axes are complimented with kernel density curves demonstrating the data density over the axes. The top density plot shows the expression levels (FPKM) distribution among dead (red) and alive patients (blue). The right density plot shows the data density of the survived years of dead patients with high and low expression levels respectively, stratified using the cutoff indicated by the vertical dashed line through the Survival Scatter plot. This cutoff is automatically defined based on the FPKM cutoff that minimizes the p-score. The cutoff can be changed by dragging the vertical line or by entering a cutoff value in the square labeled "Current cut-off".

Under the Survival Scatter plot the p-score landscape (black curve; left axis) is shown together with dead median separation (red curve; right axis). Dead median separation is the difference in median mRNA expression between patients who have died with high and low expression, respectively. It is calculated as follows: median FPKM expression of dead patients with high expression - median FPKM expression of dead patients with low expression. This is intended to aid the user in visually exploring custom cutoffs and the associated p-scores and dead median separation.

Individual patient data is displayed and can be filtered by clicking on one or more of the category buttons on the top of the page. Categories describing expression level and patient information include: high, low, alive, dead, female, male and tumor stages. The scale of the x-axis can be toggled between linear and log-scale by clicking on the "x log" button. Mouse-over function shows TCGA ID, patient information and mRNA expression (FPKM) for each patient.

& Survival analysisi

Kaplan-Meier plots summarize results from analysis of correlation between mRNA expression level and patient survival. Patients were divided based on level of expression into one of the two groups "low" (under cut off) or "high" (over cut off). X-axis shows time for survival (years) and y-axis shows the probability of survival, where 1.0 corresponds to 100 percent.

Read more
ANKK1 is not prognostic in liver cancer


Stage:


Survival analysis
Current cut offi

Current cut-off shows the cut-off (FPKM) currently selected. It may be changed manually. When the current cut-off is changed, the vertical dashed line indicating cut-off, the interactive survival scatter plot and the Kaplan-Meier curve will be automatically adjusted to show results accordingly.

:
Best expression cut offi

Based on the FPKM value of each gene, patients were classified into two groups and association between prognosis (survival) and gene expression (FPKM) was examined. The best expression cut-off refers the FPKM value that yields maximal difference with regard to survival between the two groups at the lowest log-rank P-value. Best expression cut-off was selected based on survival analysis .

When clicking on this number, the vertical dashed line indicating cut-off, the interactive survival plot, and the Kaplan-Meier curve will be adjusted to show results based on the best expression cut-off.

Read more
: 0.02
Median expressioni

Median expression refers to the median FPKM value calculated based on the gene expression (FPKM) data from all patients in this dataset. When clicking on this number, the vertical dashed line indicating cut-off, the interactive survival plot, and the Kaplan-Meier curve will be adjusted to show results based on the median expression.

Read more
: N/A
Median follow up timei

Median follow up time refers to the median time (years) after diagnosis with this type of cancer, based on clinical data from all patients in this dataset.

: N/A
P scorei

Log-rank P value for Kaplan-Meier plot showing results from analysis of correlation between mRNA expression level and patient survival.

N/A
5-year survival highi

5-year survival for patients with higher expression than the expression cutoff.

For melanoma and glioma, 3-year survival is shown.

N/A
5-year survival lowi

5-year survival for patients with lower expression than the expression cutoff.

For melanoma and glioma, 3-year survival is shown.

N/A
TCGA RNA samplesi

RNA-seq data is reported as average FPKM (number Fragments Per Kilobase of exon per Million reads), generated by the The Cancer Genome Atlas (TCGA) .

Normal distribution across the dataset is visualized with box plots, shown as median and 25th and 75th percentiles. Points are displayed as outliers if they are above or below 1.5 times the interquartile range. FPKM values of the individual samples are presented next to the box plot.

Average FPKM 0.0
Number of samples 365
Samples
Sample Description FPKM
TCGA-DD-AA3A-01A 81 years, female, white, stage:i, dead, 410 days 1.5
TCGA-2Y-A9H8-01A 85 years, female, white, dead, 633 days 0.8
TCGA-CC-A3MA-01A 61 years, male, asian, stage:iiia, dead, 303 days 0.4
TCGA-K7-AAU7-01A 61 years, male, white, stage:ii, alive, 359 days 0.4
TCGA-DD-AAE0-01A 45 years, female, asian, stage:iiia, alive, 555 days 0.3
TCGA-2Y-A9H6-01A 68 years, female, white, stage:i, alive, 357 days 0.3
TCGA-DD-A11A-01A 67 years, male, black or african american, stage:i, alive, 79 days 0.3
TCGA-G3-A6UC-01A 65 years, male, white, stage:iiib, alive, 671 days 0.3
TCGA-DD-A3A7-01A 67 years, male, stage:iiib, dead, 419 days 0.3
TCGA-ED-A7PY-01A 20 years, female, asian, stage:ii, alive, 390 days 0.3
TCGA-DD-AAVS-01A 56 years, male, asian, stage:i, alive, 1823 days 0.3
TCGA-G3-AAV3-01A 58 years, female, white, stage:ii, alive, 412 days 0.3
TCGA-UB-A7MA-01A 62 years, female, white, stage:ii, alive, 848 days 0.3
TCGA-G3-A7M9-01A 70 years, male, white, stage:iiib, dead, 56 days 0.2
TCGA-CC-A7II-01A 55 years, male, asian, stage:iiia, alive, 399 days 0.2
TCGA-DD-A73G-01A 73 years, female, white, stage:i, alive, 3478 days 0.2
TCGA-FV-A3I0-01A 76 years, female, white, stage:ii, alive, 848 days 0.2
TCGA-ED-A5KG-01A 60 years, female, asian, stage:ii, alive, 854 days 0.2
TCGA-FV-A496-01A 84 years, female, white, stage:i, alive, 10 days 0.2
TCGA-ES-A2HS-01A 80 years, male, white, stage:i, dead, 688 days 0.2
TCGA-LG-A9QC-01A 48 years, male, white, stage:i, alive, 425 days 0.2
TCGA-DD-A73E-01A 66 years, male, white, stage:i, alive, 44 days 0.2
TCGA-G3-AAV4-01A 83 years, female, white, stage:i, dead, 27 days 0.2
TCGA-CC-A8HV-01A 51 years, female, asian, stage:ii, dead, 279 days 0.2
TCGA-MR-A8JO-01A 34 years, male, white, stage:i, alive, 330 days 0.2
TCGA-DD-AACJ-01A 75 years, male, asian, stage:ii, alive, 2102 days 0.2
TCGA-4R-AA8I-01A 66 years, male, white, stage:ii, dead, 262 days 0.2
TCGA-2Y-A9H2-01A 64 years, female, white, stage:i, alive, 1731 days 0.2
TCGA-DD-A4NS-01A 62 years, female, white, stage:i, dead, 2456 days 0.2
TCGA-DD-AAVQ-01A 38 years, male, asian, stage:i, alive, 2728 days 0.2
TCGA-DD-AAD8-01A 73 years, female, asian, stage:i, alive, 1219 days 0.2
TCGA-CC-A8HS-01A 18 years, male, asian, stage:iiic, dead, 300 days 0.2
TCGA-WJ-A86L-01A 68 years, female, white, stage:i, alive, 345 days 0.2
TCGA-XR-A8TF-01A 74 years, male, white, stage:i, dead, 693 days 0.2
TCGA-ZP-A9D4-01A 64 years, female, white, alive, 395 days 0.2
TCGA-ZS-A9CG-01A 55 years, male, white, stage:ii, alive, 341 days 0.1
TCGA-G3-A7M6-01A 60 years, female, white, stage:i, alive, 632 days 0.1
TCGA-DD-AADQ-01A 59 years, male, asian, stage:ii, alive, 436 days 0.1
TCGA-5R-AA1C-01A 57 years, male, white, stage:ii, alive, 520 days 0.1
TCGA-CC-5260-01A 61 years, female, asian, stage:iiic, dead, 87 days 0.1
TCGA-DD-AAC8-01A 72 years, male, asian, stage:i, dead, 16 days 0.1
TCGA-RC-A7SH-01A 42 years, male, asian, stage:ii, alive, 468 days 0.1
TCGA-EP-A2KB-01A 46 years, female, white, stage:i, dead, 596 days 0.1
TCGA-DD-AACB-01A 74 years, female, asian, stage:i, alive, 2324 days 0.1
TCGA-DD-AADK-01A 68 years, female, asian, stage:ii, alive, 1049 days 0.1
TCGA-BW-A5NO-01A 50 years, male, black or african american, stage:iiia, alive, 20 days 0.1
TCGA-NI-A8LF-01A 74 years, male, white, stage:i, alive, 799 days 0.1
TCGA-K7-A5RG-01A 66 years, male, black or african american, stage:i, alive, 519 days 0.1
TCGA-DD-AAW0-01A 54 years, male, asian, stage:i, alive, 2015 days 0.1
TCGA-DD-A4NF-01A 72 years, male, white, stage:i, alive, 942 days 0.1
TCGA-5C-A9VH-01A 70 years, male, white, stage:i, alive, 322 days 0.1
TCGA-DD-A3A9-01A 64 years, female, white, stage:ivb, dead, 931 days 0.1
TCGA-2Y-A9GZ-01A 82 years, female, white, stage:ii, dead, 848 days 0.1
TCGA-DD-AACW-01A 43 years, male, asian, stage:i, alive, 1424 days 0.1
TCGA-DD-AAD1-01A 51 years, female, asian, stage:i, alive, 564 days 0.1
TCGA-CC-A9FW-01A 68 years, male, asian, stage:iiia, alive, 248 days 0.1
TCGA-DD-AACN-01A 32 years, male, asian, stage:i, alive, 1302 days 0.1
TCGA-DD-A4NA-01A 67 years, female, white, stage:iiic, alive, 1008 days 0.1
TCGA-BC-A217-01A 75 years, female, white, stage:ii, dead, 1397 days 0.1
TCGA-DD-A73D-01A 68 years, female, white, stage:ii, alive, 693 days 0.1
TCGA-CC-A9FS-01A 55 years, male, asian, stage:ii, alive, 211 days 0.1
TCGA-DD-A1EE-01A 73 years, male, white, stage:iiia, dead, 349 days 0.1
TCGA-G3-AAV2-01A 50 years, male, white, stage:i, alive, 372 days 0.1
TCGA-DD-A3A3-01A 45 years, male, asian, stage:i, dead, 535 days 0.1
TCGA-DD-A39X-01A 78 years, female, white, stage:i, dead, 1694 days 0.1
TCGA-DD-AADU-01A 60 years, male, asian, stage:ii, alive, 554 days 0.1
TCGA-WX-AA44-01A 64 years, female, white, stage:i, alive, 615 days 0.1
TCGA-CC-5261-01A 44 years, male, asian, stage:ii, dead, 97 days 0.1
TCGA-DD-A1EF-01A 57 years, female, white, stage:i, dead, 394 days 0.1
TCGA-MI-A75C-01A 64 years, male, white, stage:i, alive, 291 days 0.1
TCGA-ED-A7PZ-01A 61 years, male, asian, stage:ii, alive, 6 days 0.1
TCGA-CC-A7IE-01A 57 years, male, asian, stage:iiia, dead, 217 days 0.1
TCGA-DD-A4NI-01A 67 years, male, white, stage:ii, alive, 816 days 0.1
TCGA-DD-AAW1-01A 55 years, male, asian, stage:iiia, alive, 1989 days 0.1
TCGA-3K-AAZ8-01A 65 years, male, black or african american, stage:iiib, alive, 396 days 0.1
TCGA-DD-A3A1-01A 65 years, male, stage:iiia, dead, 233 days 0.1
TCGA-HP-A5MZ-01A 62 years, male, stage:i, dead, 91 days 0.1
TCGA-EP-A12J-01A 63 years, male, black or african american, stage:i, alive, 570 days 0.1
TCGA-2Y-A9H1-01A 58 years, male, white, stage:i, dead, 1229 days 0.1
TCGA-ED-A66Y-01A 51 years, female, asian, stage:iiia, dead, 296 days 0.1
TCGA-KR-A7K2-01A 64 years, male, white, stage:i, alive, 829 days 0.1
TCGA-MI-A75I-01A 61 years, male, black or african american, alive, 630 days 0.1
TCGA-DD-A3A8-01A 75 years, male, white, stage:ii, dead, 11 days 0.1
TCGA-EP-A2KC-01A 62 years, male, black or african american, stage:i, dead, 19 days 0.1
TCGA-ZP-A9D2-01A 51 years, male, white, dead, 765 days 0.1
TCGA-RC-A6M4-01A 74 years, female, white, stage:iiia, alive, 22 days 0.1
TCGA-DD-A4NH-01A 65 years, female, white, stage:iiib, alive, 917 days 0.1
TCGA-DD-AAVY-01A 56 years, male, asian, stage:iiia, alive, 1970 days 0.1
TCGA-DD-A11B-01A 73 years, male, white, stage:i, dead, 14 days 0.1
TCGA-QA-A7B7-01A 48 years, male, black or african american, stage:ii, alive, 94 days 0.1
TCGA-ED-A627-01A 74 years, male, white, stage:i, alive, 423 days 0.1
TCGA-DD-A116-01A 68 years, male, asian, stage:iiia, dead, 1622 days 0.1
TCGA-UB-A7MC-01A 59 years, male, white, stage:iiia, alive, 500 days 0.1
TCGA-DD-AAEE-01A 55 years, male, asian, stage:i, alive, 810 days 0.1
TCGA-BC-A69H-01A 64 years, male, white, stage:ii, alive, 444 days 0.1
TCGA-BC-A5W4-01A 69 years, male, white, stage:iiia, dead, 547 days 0.1
TCGA-2Y-A9H4-01A 68 years, male, black or african american, stage:i, alive, 1452 days 0.1
TCGA-DD-AAEA-01A 65 years, male, asian, stage:i, alive, 575 days 0.1
TCGA-CC-A5UE-01A 48 years, male, asian, stage:iiib, dead, 272 days 0.1
TCGA-G3-A5SJ-01A 59 years, male, white, stage:i, alive, 698 days 0.1
TCGA-KR-A7K8-01A 57 years, male, stage:i, alive, 906 days 0.1
TCGA-DD-AADC-01A 53 years, male, asian, stage:i, dead, 425 days 0.1
TCGA-XR-A8TC-01A 43 years, female, white, stage:i, alive, 1339 days 0.1
TCGA-GJ-A3OU-01A 59 years, male, white, stage:i, alive, 879 days 0.1
TCGA-DD-A4NG-01A 77 years, male, white, stage:iiia, dead, 802 days 0.1
TCGA-K7-A5RF-01A 64 years, male, white, stage:i, alive, 631 days 0.1
TCGA-KR-A7K7-01A 61 years, female, white, stage:ii, alive, 951 days 0.1
TCGA-2Y-A9GX-01A 68 years, male, white, stage:i, alive, 2442 days 0.1
TCGA-DD-AADO-01A 55 years, male, asian, stage:i, alive, 453 days 0.1
TCGA-CC-A7IK-01A 59 years, male, asian, stage:iiia, dead, 262 days 0.1
TCGA-G3-AAV5-01A 67 years, male, white, stage:ii, alive, 354 days 0.1
TCGA-EP-A26S-01A 70 years, male, white, stage:i, alive, 608 days 0.1
TCGA-CC-A1HT-01A 50 years, male, asian, stage:iiia, dead, 101 days 0.1
TCGA-DD-AAVR-01A 44 years, male, asian, stage:i, alive, 2513 days 0.1
TCGA-DD-AAE1-01A 52 years, male, asian, stage:i, alive, 552 days 0.1
TCGA-XR-A8TD-01A 49 years, female, white, stage:iiib, alive, 1030 days 0.1
TCGA-DD-AAE3-01A 50 years, male, asian, stage:i, alive, 566 days 0.1
TCGA-ED-A8O5-01A 59 years, female, asian, stage:iiia, alive, 406 days 0.1
TCGA-DD-AAEH-01A 73 years, male, asian, stage:i, alive, 784 days 0.1
TCGA-LG-A9QD-01A 68 years, male, white, stage:iiia, alive, 366 days 0.1
TCGA-2Y-A9H0-01A 49 years, male, white, stage:iiia, alive, 3675 days 0.1
TCGA-DD-AACG-01A 52 years, male, asian, stage:ii, dead, 469 days 0.1
TCGA-G3-A5SK-01A 58 years, male, white, stage:i, alive, 744 days 0.1
TCGA-CC-A7IG-01A 47 years, male, asian, stage:ii, dead, 299 days 0.1
TCGA-FV-A495-01A 51 years, female, white, stage:ii, alive, 1 days 0.1
TCGA-DD-A1EH-01A 23 years, male, white, stage:iii, alive, 1495 days 0.1
TCGA-2Y-A9H3-01A 45 years, male, white, stage:ii, alive, 1516 days 0.1
TCGA-O8-A75V-01A 54 years, male, stage:i, alive, 538 days 0.1
TCGA-ZS-A9CE-01A 79 years, female, white, stage:ii, alive, 1241 days 0.1
TCGA-DD-AACC-01A 61 years, male, asian, stage:i, dead, 1685 days 0.1
TCGA-DD-AAE7-01A 72 years, male, asian, stage:i, alive, 644 days 0.0
TCGA-DD-AADW-01A 48 years, male, asian, stage:i, alive, 587 days 0.0
TCGA-DD-AADR-01A 58 years, male, asian, stage:i, alive, 2028 days 0.0
TCGA-5R-AA1D-01A 17 years, female, white, stage:iiia, alive, 449 days 0.0
TCGA-HP-A5N0-01A 88 years, female, dead, 1147 days 0.0
TCGA-DD-AADI-01A 43 years, female, asian, stage:i, alive, 1085 days 0.0
TCGA-DD-A4NN-01A 56 years, female, white, stage:i, dead, 899 days 0.0
TCGA-UB-A7MD-01A 67 years, male, black or african american, stage:i, dead, 52 days 0.0
TCGA-2Y-A9GT-01A 51 years, male, white, stage:i, dead, 1624 days 0.0
TCGA-G3-A25T-01A 45 years, female, white, stage:iiia, alive, 1553 days 0.0
TCGA-ZP-A9CY-01A 66 years, female, white, alive, 782 days 0.0
TCGA-MI-A75E-01A 61 years, male, white, stage:iiic, alive, 507 days 0.0
TCGA-G3-A3CJ-01A 52 years, male, american indian or alaska native, stage:ii, alive, 594 days 0.0
TCGA-BC-A10T-01A 76 years, male, white, dead, 837 days 0.0
TCGA-ED-A4XI-01A 58 years, male, asian, stage:ii, alive, 819 days 0.0
TCGA-DD-A119-01A 40 years, male, asian, stage:iv, dead, 223 days 0.0
TCGA-DD-AACO-01A 40 years, male, asian, stage:i, alive, 1876 days 0.0
TCGA-GJ-A9DB-01A 68 years, male, white, stage:i, dead, 67 days 0.0
TCGA-BC-A216-01A 62 years, female, white, stage:iiia, alive, 1351 days 0.0
TCGA-KR-A7K0-01A 65 years, male, white, stage:i, dead, 65 days 0.0
TCGA-EP-A2KA-01A 52 years, female, white, stage:iiia, dead, 627 days 0.0
TCGA-RG-A7D4-01A 69 years, male, black or african american, stage:ii, alive, 1098 days 0.0
TCGA-ED-A97K-01A 54 years, male, asian, stage:iiia, alive, 6 days 0.0
TCGA-EP-A3RK-01A 73 years, male, white, stage:iiia, alive, 363 days 0.0
TCGA-DD-AACF-01A 68 years, male, asian, stage:i, dead, 365 days 0.0
TCGA-DD-AADY-01A 55 years, female, asian, stage:i, alive, 555 days 0.0
TCGA-DD-A4NP-01A 32 years, male, white, stage:i, alive, 3308 days 0.0
TCGA-DD-A4ND-01A 56 years, female, white, stage:i, alive, 2746 days 0.0
TCGA-WX-AA47-01A 33 years, female, white, stage:iiia, dead, 556 days 0.0
TCGA-DD-AAVW-01A 35 years, male, asian, stage:i, alive, 2317 days 0.0
TCGA-ZP-A9D0-01A 67 years, female, black or african american, alive, 1091 days 0.0
TCGA-BC-4072-01B 74 years, female, white, stage:iiia, dead, 1490 days 0.0
TCGA-BD-A2L6-01A 69 years, male, white, alive, 1363 days 0.0
TCGA-CC-A5UD-01A 45 years, male, asian, stage:iiia, dead, 304 days 0.0
TCGA-BC-4073-01B 73 years, male, white, stage:iiia, alive, 849 days 0.0
TCGA-WX-AA46-01A 62 years, male, white, stage:ii, alive, 756 days 0.0
TCGA-UB-A7ME-01A 51 years, male, asian, stage:i, alive, 486 days 0.0
TCGA-G3-AAUZ-01A 48 years, male, stage:i, alive, 480 days 0.0
TCGA-WQ-A9G7-01A female, white, alive, 30 days 0.0
TCGA-ED-A66X-01A 35 years, male, asian, stage:iiia, alive, 406 days 0.0
TCGA-T1-A6J8-01A 68 years, male, white, alive, 23 days 0.0
TCGA-DD-AAVU-01A 46 years, male, asian, stage:ii, alive, 2202 days 0.0
TCGA-G3-A25Y-01A 52 years, female, asian, stage:i, dead, 452 days 0.0
TCGA-G3-A3CK-01A 61 years, male, asian, stage:i, alive, 585 days 0.0
TCGA-2Y-A9GV-01A 54 years, female, white, stage:i, dead, 2532 days 0.0
TCGA-G3-A3CI-01A 71 years, male, white, stage:i, alive, 180 days 0.0
TCGA-DD-AACZ-01A 63 years, female, asian, stage:i, dead, 171 days 0.0
TCGA-2Y-A9H5-01A 59 years, female, white, stage:i, dead, 555 days 0.0
TCGA-2Y-A9GS-01A 58 years, male, white, dead, 724 days 0.0
TCGA-G3-AAV6-01A 53 years, female, white, stage:iiia, dead, 65 days 0.0
TCGA-2Y-A9H9-01A 70 years, male, white, stage:i, alive, 697 days 0.0
TCGA-DD-AADA-01A 66 years, female, asian, stage:i, alive, 1233 days 0.0
TCGA-CC-A5UC-01A 63 years, male, asian, stage:iiia, dead, 347 days 0.0
TCGA-5C-AAPD-01A 61 years, male, asian, stage:ii, alive, 20 days 0.0
TCGA-BC-A10U-01A 69 years, male, white, dead, 837 days 0.0
TCGA-DD-A4NR-01A 85 years, female, white, stage:i, dead, 9 days 0.0
TCGA-G3-A7M8-01A 31 years, male, asian, stage:i, alive, 430 days 0.0
TCGA-DD-A4NO-01A 66 years, male, white, stage:i, alive, 2245 days 0.0
TCGA-DD-A1EJ-01A 71 years, female, white, stage:iiic, dead, 1005 days 0.0
TCGA-DD-AACD-01A 48 years, male, asian, stage:i, dead, 381 days 0.0
TCGA-G3-A25Z-01A 58 years, male, asian, stage:i, alive, 655 days 0.0
TCGA-MI-A75H-01A 77 years, male, white, alive, 747 days 0.0
TCGA-DD-AADF-01A 64 years, female, asian, stage:i, dead, 115 days 0.0
TCGA-DD-A11C-01A 69 years, male, white, stage:i, alive, 662 days 0.0
TCGA-DD-A3A2-01A 76 years, female, white, stage:i, dead, 2131 days 0.0
TCGA-ZS-A9CF-01A 64 years, male, white, stage:ii, alive, 2412 days 0.0
TCGA-DD-AAVX-01A 38 years, male, asian, stage:ii, alive, 1570 days 0.0
TCGA-2Y-A9GY-01A 64 years, female, white, stage:ii, dead, 757 days 0.0
TCGA-ZP-A9CZ-01A 72 years, male, asian, alive, 706 days 0.0
TCGA-DD-AAW2-01A 69 years, male, asian, stage:i, alive, 1855 days 0.0
TCGA-DD-A4NJ-01A 54 years, female, white, stage:ii, alive, 928 days 0.0
TCGA-G3-A25S-01A 64 years, male, white, stage:i, dead, 416 days 0.0
TCGA-CC-A7IF-01A 59 years, male, asian, stage:iiia, dead, 649 days 0.0
TCGA-DD-AAED-01A 51 years, male, asian, stage:i, alive, 763 days 0.0
TCGA-EP-A3JL-01A 76 years, male, white, stage:i, alive, 303 days 0.0
TCGA-DD-AADB-01A 51 years, male, asian, stage:i, alive, 1242 days 0.0
TCGA-DD-AACK-01A 70 years, male, asian, stage:i, alive, 9 days 0.0
TCGA-G3-A3CH-01A 53 years, male, asian, stage:iiia, alive, 780 days 0.0
TCGA-MR-A520-01A 58 years, male, white, stage:i, alive, 229 days 0.0
TCGA-DD-A113-01A 55 years, female, white, stage:ii, alive, 2425 days 0.0
TCGA-DD-A1ED-01A 68 years, male, white, stage:i, alive, 2301 days 0.0
TCGA-DD-A1EI-01A 46 years, male, asian, stage:i, alive, 183 days 0.0
TCGA-FV-A3I1-01A female, white, stage:ii, dead, 247 days 0.0
TCGA-XR-A8TE-01A 16 years, male, white, stage:iiia, alive, 925 days 0.0
TCGA-CC-A3M9-01A 45 years, male, asian, stage:iiia, dead, 300 days 0.0
TCGA-UB-AA0V-01A 69 years, female, white, stage:i, alive, 314 days 0.0
TCGA-CC-A7IJ-01A 56 years, male, asian, stage:ii, alive, 382 days 0.0
TCGA-DD-AADL-01A 58 years, male, asian, stage:i, alive, 636 days 0.0
TCGA-LG-A6GG-01A 79 years, female, white, stage:ii, alive, 387 days 0.0
TCGA-CC-A7IH-01A 58 years, male, asian, stage:iiia, alive, 365 days 0.0
TCGA-DD-AAD2-01A 66 years, male, asian, stage:i, alive, 658 days 0.0
TCGA-ED-A82E-01A 60 years, female, asian, stage:iiia, alive, 408 days 0.0
TCGA-DD-A1EL-01A 23 years, male, black or african american, stage:ii, dead, 415 days 0.0
TCGA-RC-A7SB-01A 53 years, male, asian, stage:ii, alive, 588 days 0.0
TCGA-RC-A7S9-01A 47 years, female, asian, stage:i, alive, 640 days 0.0
TCGA-ED-A7XO-01A 29 years, male, asian, stage:iiia, alive, 427 days 0.0
TCGA-DD-A39V-01A 77 years, male, white, stage:ii, dead, 643 days 0.0
TCGA-DD-AACP-01A 65 years, male, asian, stage:i, alive, 415 days 0.0
TCGA-2Y-A9H7-01A 81 years, female, white, stage:i, alive, 1168 days 0.0
TCGA-G3-A5SL-01A 70 years, male, white, stage:ii, alive, 621 days 0.0
TCGA-DD-A115-01A 53 years, male, white, stage:iiia, dead, 2542 days 0.0
TCGA-BD-A3EP-01A 76 years, female, black or african american, stage:i, alive, 409 days 0.0
TCGA-DD-A39Z-01A 43 years, female, stage:ii, dead, 601 days 0.0
TCGA-2Y-A9HA-01A 70 years, male, white, stage:ii, dead, 36 days 0.0
TCGA-ED-A7PX-01A 48 years, female, asian, stage:ii, alive, 6 days 0.0
TCGA-2Y-A9GU-01A 55 years, female, white, stage:i, alive, 1939 days 0.0
TCGA-G3-AAV0-01A 58 years, male, asian, stage:i, alive, 476 days 0.0
TCGA-DD-AAVV-01A 56 years, male, asian, stage:ii, alive, 2455 days 0.0
TCGA-DD-A1EC-01A 20 years, female, white, stage:i, alive, 602 days 0.0
TCGA-DD-AAVZ-01A 38 years, male, asian, stage:i, alive, 1900 days 0.0
TCGA-DD-A4NL-01A 46 years, male, white, stage:i, alive, 1711 days 0.0
TCGA-CC-A7IL-01A 61 years, male, asian, stage:iiia, dead, 278 days 0.0
TCGA-BC-A10Z-01A 62 years, female, white, stage:i, dead, 34 days 0.0
TCGA-FV-A23B-01A 70 years, female, white, stage:ii, dead, 1852 days 0.0
TCGA-ZP-A9CV-01A 59 years, male, white, dead, 1088 days 0.0
TCGA-DD-A1EA-01A 68 years, male, asian, stage:ii, alive, 2415 days 0.0
TCGA-DD-AADV-01A 50 years, male, asian, stage:i, alive, 574 days 0.0
TCGA-BC-A112-01A 80 years, male, white, dead, 153 days 0.0
TCGA-5C-A9VG-01A 58 years, male, white, stage:ii, alive, 328 days 0.0
TCGA-DD-AACL-01A 66 years, female, asian, stage:i, dead, 107 days 0.0
TCGA-BD-A3ER-01A 62 years, male, white, stage:ii, alive, 1115 days 0.0
TCGA-BC-A69I-01A 69 years, male, white, stage:i, alive, 387 days 0.0
TCGA-BC-A10Q-01A 72 years, female, white, dead, 1135 days 0.0
TCGA-UB-AA0U-01A 60 years, male, white, stage:ii, alive, 327 days 0.0
TCGA-FV-A4ZQ-01A 52 years, male, white, stage:i, alive, 12 days 0.0
TCGA-DD-AAE9-01A 69 years, male, asian, stage:i, alive, 722 days 0.0
TCGA-DD-AAD3-01A 43 years, male, asian, stage:i, alive, 1295 days 0.0
TCGA-ED-A8O6-01A 50 years, female, asian, stage:iiia, dead, 56 days 0.0
TCGA-G3-A25X-01A 73 years, male, asian, stage:ii, alive, 1779 days 0.0
TCGA-DD-A1EB-01A 72 years, female, stage:i, alive, 2017 days 0.0
TCGA-DD-AACQ-01A 50 years, male, asian, stage:ii, dead, 432 days 0.0
TCGA-G3-A25V-01A 68 years, male, white, stage:i, alive, 860 days 0.0
TCGA-DD-A39W-01A 29 years, female, white, stage:iii, dead, 827 days 0.0
TCGA-DD-AACT-01A 69 years, female, asian, stage:i, alive, 1562 days 0.0
TCGA-BC-A8YO-01A 66 years, female, white, stage:iiic, alive, 562 days 0.0
TCGA-2Y-A9HB-01A 66 years, male, stage:i, alive, 260 days 0.0
TCGA-DD-A73C-01A 65 years, female, white, stage:iiia, alive, 701 days 0.0
TCGA-GJ-A6C0-01A 75 years, female, white, stage:ii, dead, 31 days 0.0
TCGA-DD-A114-01A 42 years, male, black or african american, stage:ii, dead, 1149 days 0.0
TCGA-BC-A3KG-01A 68 years, female, white, stage:ii, alive, 680 days 0.0
TCGA-DD-A1EG-01A 77 years, male, white, stage:i, dead, 1372 days 0.0
TCGA-CC-5259-01A 60 years, female, asian, stage:iiic, alive, 250 days 0.0
TCGA-DD-AACS-01A 39 years, male, asian, stage:i, alive, 1804 days 0.0
TCGA-UB-A7MF-01A 57 years, male, white, stage:iiia, dead, 214 days 0.0
TCGA-DD-AADJ-01A 70 years, female, asian, stage:i, alive, 1066 days 0.0
TCGA-DD-AAW3-01A 69 years, male, asian, stage:i, alive, 1633 days 0.0
TCGA-DD-A4NQ-01A 60 years, male, white, stage:ii, dead, 373 days 0.0
TCGA-DD-AACE-01A 62 years, male, asian, stage:i, alive, 2184 days 0.0
TCGA-FV-A4ZP-01A 78 years, male, white, stage:iiia, dead, 2486 days 0.0
TCGA-DD-A1EK-01A 64 years, female, white, stage:ivb, dead, 558 days 0.0
TCGA-CC-A8HT-01A 74 years, male, asian, stage:iiia, dead, 140 days 0.0
TCGA-5R-AAAM-01A 65 years, female, white, stage:ii, dead, 46 days 0.0
TCGA-CC-A123-01A 24 years, female, asian, stage:iiia, alive, 219 days 0.0
TCGA-2Y-A9GW-01A 64 years, male, white, stage:i, dead, 1271 days 0.0
TCGA-DD-AACU-01A 59 years, male, asian, stage:i, alive, 1567 days 0.0
TCGA-ZP-A9D1-01A 56 years, female, white, alive, 21 days 0.0
TCGA-G3-A7M7-01A 65 years, male, white, stage:i, alive, 361 days 0.0
TCGA-DD-AAD0-01A 73 years, female, asian, stage:i, alive, 137 days 0.0
TCGA-CC-5262-01A 67 years, male, asian, stage:iiic, dead, 103 days 0.0
TCGA-DD-AADP-01A 45 years, male, asian, stage:i, alive, 458 days 0.0
TCGA-YA-A8S7-01A 69 years, male, white, stage:iiia, dead, 412 days 0.0
TCGA-FV-A2QR-01A male, white, stage:i, dead, 581 days 0.0
TCGA-DD-A3A4-01A 37 years, male, white, stage:iiia, dead, 612 days 0.0
TCGA-DD-AADG-01A 70 years, male, asian, stage:iiia, alive, 1145 days 0.0
TCGA-G3-A7M5-01A 76 years, male, asian, stage:i, alive, 447 days 0.0
TCGA-ED-A7XP-01A 53 years, female, asian, stage:ii, alive, 400 days 0.0
TCGA-DD-AAD5-01A 54 years, male, asian, stage:i, alive, 1345 days 0.0
TCGA-CC-A3MC-01A 54 years, male, asian, stage:iiia, alive, 363 days 0.0
TCGA-RC-A7SK-01A 59 years, male, asian, stage:i, alive, 472 days 0.0
TCGA-FV-A2QQ-01A 80 years, male, white, stage:i, alive, 729 days 0.0
TCGA-ED-A459-01A 47 years, male, asian, stage:ii, alive, 910 days 0.0
TCGA-K7-A6G5-01A 66 years, male, white, stage:i, alive, 512 days 0.0
TCGA-XR-A8TG-01A 59 years, male, white, stage:i, alive, 898 days 0.0
TCGA-G3-AAV1-01A 51 years, male, asian, stage:iiic, dead, 359 days 0.0
TCGA-RC-A6M6-01A 75 years, male, white, stage:ii, alive, 9 days 0.0
TCGA-FV-A3R3-01A 38 years, female, white, stage:i, dead, 366 days 0.0
TCGA-MI-A75G-01A 63 years, male, white, stage:ii, alive, 698 days 0.0
TCGA-FV-A3R2-01A 75 years, male, white, stage:i, dead, 194 days 0.0
TCGA-DD-A73F-01A 77 years, female, white, stage:i, alive, 1085 days 0.0
TCGA-DD-A4NV-01A 61 years, male, white, stage:iiia, alive, 2398 days 0.0
TCGA-DD-AACA-01A 65 years, male, asian, stage:i, alive, 2301 days 0.0
TCGA-DD-AAE2-01A 51 years, male, asian, stage:i, alive, 638 days 0.0
TCGA-BC-A10Y-01A 76 years, male, white, dead, 711 days 0.0
TCGA-RC-A6M5-01A 20 years, female, white, stage:iva, alive, 15 days 0.0
TCGA-DD-A39Y-01A 67 years, male, asian, stage:i, dead, 171 days 0.0
TCGA-DD-AACH-01A 69 years, male, asian, stage:ii, dead, 195 days 0.0
TCGA-BC-A10W-01A 50 years, male, asian, dead, 91 days 0.0
TCGA-CC-5258-01A 48 years, male, asian, stage:ii, dead, 129 days 0.0
TCGA-CC-A3MB-01A 36 years, male, asian, stage:iiia, dead, 315 days 0.0
TCGA-G3-A5SM-01A 58 years, male, white, stage:ii, alive, 520 days 0.0
TCGA-DD-A118-01A 77 years, female, white, stage:ii, alive, 3437 days 0.0
TCGA-NI-A4U2-01A 71 years, male, white, stage:iiia, dead, 1791 days 0.0
TCGA-BC-A10S-01A 81 years, male, white, dead, 1423 days 0.0
TCGA-DD-AAC9-01A 51 years, male, asian, stage:i, alive, 347 days 0.0
TCGA-CC-A8HU-01A 39 years, female, asian, stage:iiia, dead, 344 days 0.0
TCGA-ZS-A9CD-01A 73 years, male, white, stage:ii, dead, 1386 days 0.0
TCGA-DD-AAE4-01A 49 years, female, asian, stage:i, alive, 608 days 0.0
TCGA-UB-A7MB-01A 24 years, male, white, stage:ii, alive, 601 days 0.0
TCGA-DD-AAEK-01A 51 years, male, asian, stage:ii, alive, 1067 days 0.0
TCGA-DD-A4NB-01A 25 years, male, white, stage:i, alive, 989 days 0.0
TCGA-DD-AAEB-01A 60 years, male, asian, stage:i, alive, 478 days 0.0
TCGA-DD-AAE6-01A 59 years, female, asian, stage:i, alive, 141 days 0.0
TCGA-DD-AACY-01A 61 years, male, asian, stage:i, alive, 1450 days 0.0
TCGA-RC-A7SF-01A 66 years, male, asian, stage:i, alive, 579 days 0.0
TCGA-BC-A3KF-01A 66 years, female, white, stage:i, alive, 8 days 0.0
TCGA-WQ-AB4B-01A 62 years, male, white, stage:ii, alive, 395 days 0.0
TCGA-DD-AAVP-01A 48 years, male, asian, stage:i, alive, 2752 days 0.0
TCGA-DD-A3A5-01A 66 years, female, white, stage:iii, dead, 3125 days 0.0
TCGA-DD-A3A6-01A 72 years, female, white, stage:ii, dead, 3258 days 0.0
TCGA-BC-A10R-01A 66 years, female, white, dead, 308 days 0.0
TCGA-DD-A73B-01A 72 years, female, white, stage:i, dead, 283 days 0.0
TCGA-PD-A5DF-01A 58 years, female, white, stage:iiib, dead, 639 days 0.0
TCGA-DD-AADD-01A 51 years, male, asian, stage:i, alive, 1231 days 0.0
TCGA-BC-A10X-01A 52 years, female, white, stage:iiia, dead, 770 days 0.0
TCGA-G3-A25U-01A 63 years, female, asian, stage:i, alive, 1636 days 0.0
TCGA-CC-5264-01A 71 years, male, asian, stage:iiia, dead, 102 days 0.0
TCGA-DD-A73A-01A 71 years, male, white, stage:i, alive, 728 days 0.0
TCGA-DD-A4NK-01A 80 years, female, white, stage:iiia, dead, 1210 days 0.0
TCGA-DD-AAEG-01A 59 years, female, asian, stage:i, alive, 719 days 0.0
TCGA-G3-A5SI-01A 44 years, male, asian, stage:ii, dead, 768 days 0.0
TCGA-CC-5263-01A 35 years, male, asian, stage:iiia, dead, 129 days 0.0
TCGA-ES-A2HT-01A 54 years, male, black or african american, stage:i, dead, 438 days 0.0
TCGA-DD-AACI-01A 69 years, male, asian, stage:ii, alive, 1618 days 0.0
TCGA-DD-AADN-01A 59 years, male, asian, stage:i, alive, 898 days 0.0
TCGA-DD-AADS-01A 63 years, male, asian, stage:i, alive, 474 days 0.0
TCGA-G3-AAV7-01A 38 years, male, asian, stage:ii, alive, 361 days 0.0
TCGA-G3-A3CG-01A 80 years, male, white, stage:i, alive, 673 days 0.0
TCGA-DD-A11D-01A 57 years, female, white, stage:i, dead, 1560 days 0.0
TCGA-DD-AADM-01A 58 years, male, asian, stage:ii, dead, 12 days 0.0
TCGA-BC-A110-01A 51 years, female, black or african american, dead, 2116 days 0.0
TCGA-DD-AAD6-01A 66 years, male, asian, stage:iiia, alive, 672 days 0.0
TCGA-DD-AACV-01A 53 years, male, asian, stage:i, alive, 1531 days 0.0
TCGA-DD-AAEI-01A 72 years, male, asian, stage:i, alive, 1531 days 0.0
TCGA-DD-A4NE-01A 75 years, female, white, stage:iiia, dead, 660 days 0.0
TCGA-DD-AACX-01A 66 years, male, asian, stage:ii, alive, 170 days 0.0
Show allShow less
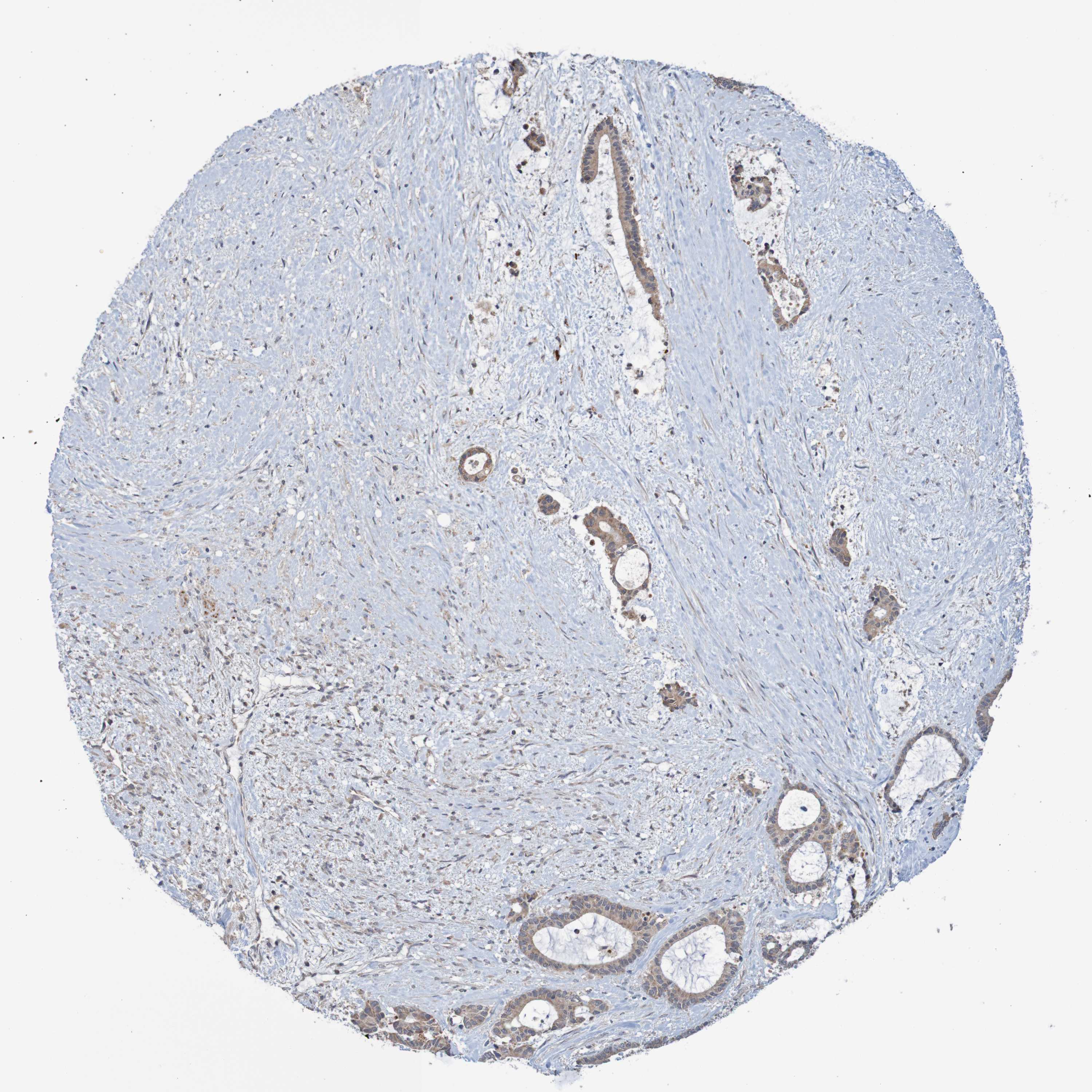
LIVER CANCER - Protein expressioni

A mouse-over function shows sample information and annotation data. Click on an image to view it in a full screen mode. Samples can be filtered based on level of antibody staining by selecting one or several of the following categories: high, medium, low and not detected. The assay and annotation is described here.

Note that samples used for immunohistochemistry by the Human Protein Atlas do not correspond to samples in the TCGA dataset.

 

Antibody stainingi

Antibody staining in the annotated cell types in the current human tissue is reported as not detected, low, medium, or high, based on conventional immunohistochemistry profiling in selected tissues. This score is based on the combination of the staining intensity and fraction of stained cells.

Each image is clickable and will lead to virtual microscopy that enables deeper exploration of all samples and also displays staining intensity scores, fraction scores and subcellular localization as well as patient and tissue information for each sample.

Read more

Antibody HPA012813
 Staining
  High
  Medium
  Low
  Not detected
 Intensity
  Strong
  Moderate
  Weak
  Negative
 Quantity
  >75%
  75%-25%
  <25%
  None
 Location
  Nuclear
  Cytoplasmic/membranous
  Cytoplasmic/membranous,nuclear
  None
Click images for details

Contact

  • NEWS ARTICLES
  • PRESS ROOM
  • contact@proteinatlas.org

The Project

  • INTRODUCTION
  • ORGANIZATION
  • PUBLICATIONS

The Human Protein Atlas

  • DOWNLOADABLE DATA
  • LICENCE & CITATION
  • HELP & FAQ
The Human Protein Atlas project is funded
by the Knut & Alice Wallenberg Foundation.