We use cookies to enhance the usability of our website. If you continue, we'll assume that you are happy to receive all cookies. More information. Don't show this again.
SFN
SECTIONS
  • TISSUE
  • BRAIN
  • SINGLE CELL TYPE
  • TISSUE CELL TYPE
  • PATHOLOGY
  • DISEASE
  • IMMUNE CELL
  • BLOOD PROTEIN
  • SUBCELLULAR
  • CELL LINE
  • STRUCTURE
  • METABOLIC
ABOUT
  • INTRODUCTION
  • HISTORY
  • ORGANIZATION
  • PUBLICATIONS
  • ANTIBODY SUBMISSION
  • ANTIBODY AVAILABILITY
  • ACKNOWLEDGMENTS
  • CONTACT
NEWS
  • NEWS ARTICLES
  • PRESS ROOM
LEARN
  • DICTIONARY
  • PROTEIN CLASSES
  • PROTEIN EVIDENCE
  • METHODS
  • EDUCATIONAL VIDEOS
DATA
  • DOWNLOADABLE DATA
  • PUBLICATION DATA
  • RELEASE HISTORY
  • SARS-COV-2
HELP
  • ANTIBODY VALIDATION
  • ASSAYS & ANNOTATION
  • DISCLAIMER
  • HELP & FAQ
  • PRIVACY STATEMENT
  • LICENCE & CITATION
Fields »
Search result

Field
Term
Gene name
Class
Subclass
Class
Keyword
Chromosome
External id
Tissue
Cell type
Expression
Patient ID
Tissue
Category
Cluster
Reliability
Brain region
Category
Brain region
Category
Brain region
Category
Reliability
Cell type
Category
Cluster
Tissue
Cell type
Enrichment
Cancer
Prognosis
Cancer
Category
Cell type
Category
Cell lineage
Category
Cluster
Annotation
Disease
Location
Searches
Location
Cell line
Type
Phase
Reliability
Cancer type
Category
Cluster
Pathway
Category
Score
Score
Score
Validation
Validation
Validation
Validation
Antibodies
Protein structure
In atlas
Column


  • SUMMARY

  • TISSUE

  • BRAIN

  • SINGLE CELL

  • TISSUE CELL

  • PATHOLOGY

  • DISEASE

  • IMMUNE

  • BLOOD

  • SUBCELL

  • CELL LINE

  • STRUCTURE

  • METABOLIC

  • SFN
TISSUE PRIMARY DATA BREAST Show tissue menu
ADIPOSE TISSUE ADRENAL GLAND AMYGDALA APPENDIX BASAL GANGLIA BONE MARROW BREAST BRONCHUS CEREBELLUM CEREBRAL CORTEX CERVIX CHOROID PLEXUS COLON DUODENUM ENDOMETRIUM
EPIDIDYMIS ESOPHAGUS FALLOPIAN TUBE GALLBLADDER HEART MUSCLE HIPPOCAMPAL FORMATION HYPOTHALAMUS KIDNEY LIVER LUNG LYMPH NODE MEDULLA OBLONGATA MIDBRAIN NASOPHARYNX ORAL MUCOSA
OVARY PANCREAS PARATHYROID GLAND PITUITARY GLAND PLACENTA PONS PROSTATE RECTUM RETINA SALIVARY GLAND SEMINAL VESICLE SKELETAL MUSCLE SKIN SMALL INTESTINE SMOOTH MUSCLE
SOFT TISSUE SPINAL CORD SPLEEN STOMACH TESTIS THALAMUS THYMUS THYROID GLAND TONGUE TONSIL URINARY BLADDER VAGINA WHITE MATTER
ANTIBODIES
AND
VALIDATION
Dictionary
Breast
Tissue proteome
Breast
BREAST - Expression summary
Protein expression
Breasti

On the top, protein expression in current human tissue, based on all annotated cell types, is reported with the units not detected (n), low (l), medium (m) and high (h). Underneath, protein expression in each annotated cell type are reported using the same units.

Protein expression data is based on knowledge-based annotation. For genes where more than one antibody has been used, a collective score is set.

If knowledge-based annotation could not be performed for a gene, no data is displayed here. View antibody staining data further down this page.

Read more
h
m
l
n
Adipocytes: Not detected
Glandular cells: Not detected
Myoepithelial cells: Not detected
Protein profiling
Multiplex tissuei

A summary of the protein localization in the current human tissue based on multiplex immunohistochemistry profiling in selected tissues is shown for genes where this analysis has been performed.

RNA expressioni

A summary of mRNA expression data available for current tissue based on several datasets. The mRNA expression levels in human tissues are based on RNA-seq data generated by the Human Protein Atlas (HPA), Genotype-Tissue Expression (GTEx) portal and CAGE data generated by the FANTOM5 consortium. Consensus normalized expression levels for human tissues was created by combining the data from HPA and GTEx datasets.

The mRNA expression levels in pig are based on RNA-seq data generated by the Human Protein Atlas (HPA), and for mouse, HPA data and in situ hybridization generated by the Allen brain atlas are reported.

Scroll down to view mRNA expression data in more detail.
Read more
Consensus:29.1 nTPM
HPA:29.1 nTPM
GTEx:11.6 nTPM
FANTOM5:7.2 Scaled Tags Per Million

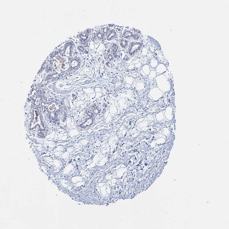
BREAST - Antibody stainingi

Antibody staining in the annotated cell types in the current human tissue is reported as not detected, low, medium, or high, based on conventional immunohistochemistry profiling in selected tissues. This score is based on the combination of the staining intensity and fraction of stained cells.

Each image is clickable and will lead to virtual microscopy that enables deeper exploration of all samples and also displays staining intensity scores, fraction scores and subcellular localization as well as patient and tissue information for each sample.

Read more
Antibody HPA011105Antibody CAB006268Antibody CAB040552
Adipocytes Not detectedNot detectedNot detected
Glandular cells LowLowNot detected
Myoepithelial cells Not detectedNot detectedNot detected




BREAST - HPA RNA-seqi

The RNA-seq details section shows detailed information about the individual samples used for the transcript profiling and results of the RNA-seq analysis.

Information about each individual sample is listed below, including gender, age, a tissue section image and estimated fractions of cell types. nTPM (normalized transcripts per million) values give a quantification of the gene abundance which is comparable between different genes and samples.
Read more
Average nTPM 29.1
overview
Female, age 52
Breast sample 373
nTPM: 11.6
Cell types%
Glandular cells:
15

Adipocytes:
5

Other cell types:
80

overview
Female, age 80
Breast sample 390
nTPM: 89.9
Cell types%
Glandular cells:
5

Adipocytes:
15

Other cell types:
80

overview
Female, age 47
Breast sample 405
nTPM: 12
Cell types%
Glandular cells:
5

Adipocytes:
5

Other cell types:
90

overview
Female, age 38
Breast sample 410
nTPM: 3
Cell types%
Glandular cells:
40

Adipocytes:
5

Other cell types:
55


BREAST - GTEx RNA-seqi

RNA-Seq data generated by the Genotype-Tissue Expression (GTEx) project from human tissues is reported as mean nTPM. More information can be found on the GTEx portal.

Distribution across the dataset is visualized with box plots, shown as median and 25th and 75th percentiles. Points are displayed as outliers if they are above or below 1.5 times the interquartile range. nTPM values of the individual samples are presented next to the box plot.
Read more
Average nTPM 11.6
GTEx sample id Sample description nTPM
Breast - Mammary Tissue
Average nTPM: 11.6
Samples: 459

Max nTPM: 100.9
Min nTPM: 0.2
Std nTPM: 12.3
Median nTPM: 8.3
GTEX-ZTPG-2826-SM-57WGA 20-29 years, female 100.9
GTEX-SE5C-2126-SM-4BRUJ 40-49 years, female 72.2
GTEX-14AS3-1626-SM-5S2OY 40-49 years, female 61.7
GTEX-1269C-2426-SM-5FQSN 60-69 years, female 57.4
GTEX-14PHY-1926-SM-5YY95 60-69 years, female 53.5
GTEX-X4EP-2926-SM-3P5YQ 60-69 years, female 47.9
GTEX-1H1CY-2226-SM-9WG7E 60-69 years, female 47.7
GTEX-14ABY-2126-SM-5QGQZ 50-59 years, male 44.3
GTEX-15FZZ-0726-SM-7KUFZ 30-39 years, female 44.2
GTEX-R3RS-0626-SM-48FE1 40-49 years, female 43.6
GTEX-XYKS-1326-SM-4BRUN 60-69 years, female 41.9
GTEX-1QEPI-0926-SM-DTXF3 60-69 years, female 41.0
GTEX-1R9PN-0326-SM-DTX85 40-49 years, female 40.7
GTEX-ZC5H-2626-SM-5J2MG 40-49 years, female 39.0
GTEX-13NZ9-1026-SM-5MR5K 50-59 years, male 38.9
GTEX-17JCI-0726-SM-7EPH1 60-69 years, female 38.5
GTEX-1NUQO-2226-SM-E9U68 20-29 years, female 38.5
GTEX-1B932-0826-SM-73KXG 40-49 years, female 38.3
GTEX-1M5QR-2526-SM-E9U5P 40-49 years, male 37.6
GTEX-WYBS-0926-SM-3NM94 60-69 years, female 37.3
GTEX-1HBPN-2326-SM-9WPPU 50-59 years, male 37.2
GTEX-T2IS-1526-SM-32QPR 20-29 years, female 35.9
GTEX-13PL6-2926-SM-5L3I2 40-49 years, female 34.4
GTEX-X15G-1626-SM-3NMB3 50-59 years, female 33.6
GTEX-1QP29-1726-SM-E8VMQ 50-59 years, male 33.4
GTEX-1RQEC-2026-SM-DTXDM 60-69 years, male 33.4
GTEX-14LLW-0626-SM-62LFC 70-79 years, female 33.2
GTEX-1GF9X-1026-SM-ACKX2 40-49 years, female 32.2
GTEX-13SLX-2326-SM-5ZZWE 50-59 years, female 31.4
GTEX-14H4A-2526-SM-5YYAY 40-49 years, female 31.0
GTEX-1IDJE-0826-SM-CKZNZ 50-59 years, female 31.0
GTEX-14PN4-0626-SM-62LFP 50-59 years, male 30.9
GTEX-1B8SG-1226-SM-7IGPF 50-59 years, male 30.3
GTEX-12ZZX-1126-SM-5EGKB 40-49 years, female 29.8
GTEX-Y3IK-2326-SM-4WWDT 50-59 years, female 29.1
GTEX-ZAJG-0626-SM-5HL8X 50-59 years, female 29.0
GTEX-1GN1U-0526-SM-9KNTT 50-59 years, female 28.8
GTEX-14PKU-0426-SM-6EU1P 40-49 years, female 28.7
GTEX-ZLV1-1426-SM-DO92Z 60-69 years, female 28.7
GTEX-11NSD-0926-SM-5N9DR 20-29 years, male 28.5
GTEX-ZVT2-1826-SM-5NQ8W 50-59 years, female 28.3
GTEX-S4P3-1326-SM-4AD6V 50-59 years, female 28.0
GTEX-YFC4-1426-SM-5IFJG 40-49 years, female 28.0
GTEX-13O3O-0826-SM-5K7WE 60-69 years, female 27.9
GTEX-13D11-1026-SM-5IJFB 50-59 years, female 27.5
GTEX-11TT1-2126-SM-5GU5Y 20-29 years, male 27.2
GTEX-XUZC-1626-SM-4BRVP 30-39 years, female 27.1
GTEX-1MCC2-2126-SM-EWRON 30-39 years, female 26.8
GTEX-15ETS-0626-SM-7KUMX 40-49 years, female 26.5
GTEX-11P7K-0726-SM-5EGKX 30-39 years, male 26.3
GTEX-13FTY-2226-SM-5J1ND 40-49 years, female 26.3
GTEX-1IE54-0626-SM-ARL8D 40-49 years, female 26.3
GTEX-Y5V5-2126-SM-4WWFO 60-69 years, female 26.1
GTEX-RU72-0626-SM-46MUI 50-59 years, female 26.0
GTEX-ZF3C-2326-SM-5S2NC 50-59 years, female 25.9
GTEX-11EM3-1326-SM-5N9C6 20-29 years, female 25.5
GTEX-1HSGN-1526-SM-A9SMO 40-49 years, female 25.4
GTEX-11EMC-2026-SM-5A5JV 60-69 years, female 25.2
GTEX-133LE-1726-SM-5K7VQ 20-29 years, female 25.2
GTEX-15UF6-0126-SM-6PAMB 70-79 years, female 25.1
GTEX-ZGAY-1726-SM-DO91P 40-49 years, female 24.3
GTEX-XOT4-0726-SM-4GIAW 60-69 years, female 24.0
GTEX-11WQC-1726-SM-5GU4W 60-69 years, male 23.9
GTEX-13W3W-1226-SM-5LU4H 60-69 years, female 23.9
GTEX-1CB4J-1826-SM-7EWF9 60-69 years, male 23.9
GTEX-16NGA-0826-SM-718AF 40-49 years, female 23.8
GTEX-1CB4G-2326-SM-79OOI 60-69 years, male 23.7
GTEX-14BMU-1626-SM-5TDE7 20-29 years, female 23.5
GTEX-1GZHY-0726-SM-9WG6B 50-59 years, female 23.5
GTEX-1IKOH-2326-SM-CM2TW 60-69 years, female 23.5
GTEX-1F6I4-2526-SM-7SB8F 60-69 years, male 23.3
GTEX-1I1GT-1126-SM-ARL7J 60-69 years, female 23.3
GTEX-WI4N-1426-SM-3LK7H 40-49 years, female 23.0
GTEX-1R46S-2526-SM-E8VN2 60-69 years, female 23.0
GTEX-145LT-0726-SM-5S2VM 40-49 years, male 22.8
GTEX-1POEN-0926-SM-DTX88 30-39 years, female 22.8
GTEX-UJHI-1426-SM-3DB9C 50-59 years, female 22.7
GTEX-1HR9M-2426-SM-ACKXI 60-69 years, male 22.7
GTEX-13PVR-2226-SM-7DHKP 60-69 years, female 22.6
GTEX-1HCUA-0726-SM-ACKVU 50-59 years, female 22.2
GTEX-1GPI6-0626-SM-7RHHJ 60-69 years, male 22.0
GTEX-1JJE9-2326-SM-ARL8Q 70-79 years, male 21.9
GTEX-Y5LM-1726-SM-4VDSX 40-49 years, female 21.7
GTEX-1B933-2526-SM-7IGO5 50-59 years, female 21.1
GTEX-QDT8-0626-SM-48TYW 30-39 years, female 21.1
GTEX-WYVS-1726-SM-3NMAY 40-49 years, female 21.1
GTEX-131XW-0726-SM-5EGK3 50-59 years, female 21.0
GTEX-17EUY-1926-SM-7DUF6 20-29 years, male 21.0
GTEX-131YS-0626-SM-5EGKL 60-69 years, female 20.7
GTEX-ZZPU-0626-SM-5E43T 50-59 years, female 20.4
GTEX-WXYG-2226-SM-4E3IM 50-59 years, female 20.3
GTEX-15EOM-5019-SM-793DK 20-29 years, female 20.1
GTEX-15ER7-1626-SM-6PAMZ 20-29 years, female 20.1
GTEX-ZU9S-1926-SM-5NQBP 30-39 years, male 20.1
GTEX-1GN1W-1926-SM-7P8TH 50-59 years, female 20.0
GTEX-1LNCM-0226-SM-DIPF4 50-59 years, female 20.0
GTEX-T5JC-2126-SM-32PMO 20-29 years, male 19.7
GTEX-11GS4-2126-SM-5A5KR 60-69 years, male 19.6
GTEX-1HKZK-1826-SM-ADEJ2 40-49 years, male 19.6
GTEX-1IKOE-1326-SM-CE6T6 30-39 years, female 19.6
GTEX-13QIC-2326-SM-5LU5N 60-69 years, female 19.5
GTEX-1J8EW-2626-SM-CL53E 60-69 years, female 19.4
GTEX-1F75I-2026-SM-7SB7N 40-49 years, male 19.3
GTEX-13CF2-2026-SM-5K7VI 60-69 years, male 19.2
GTEX-1KANA-2026-SM-DIPFB 20-29 years, male 19.2
GTEX-1HCU8-0126-SM-ADEHH 60-69 years, female 19.1
GTEX-14A5I-0726-SM-5TDEB 50-59 years, female 19.0
GTEX-1K9T9-1426-SM-DIPFQ 50-59 years, female 18.8
GTEX-1AX8Z-0926-SM-731AW 60-69 years, male 18.7
GTEX-ZXES-0826-SM-5E43C 30-39 years, female 18.4
GTEX-T5JW-2026-SM-4DM63 20-29 years, female 18.3
GTEX-1HC8U-0826-SM-ADEIL 40-49 years, female 18.3
GTEX-XUW1-2326-SM-4BOO5 50-59 years, female 18.2
GTEX-1QCLZ-2326-SM-DTXDO 60-69 years, female 18.1
GTEX-U8XE-0826-SM-4E3J1 30-39 years, male 17.9
GTEX-13N11-1726-SM-5J1OJ 50-59 years, female 17.7
GTEX-ZY6K-1626-SM-5GZWV 50-59 years, male 17.7
GTEX-VJWN-0726-SM-3GIJ8 50-59 years, female 17.5
GTEX-1LVAM-0926-SM-E9TJ2 50-59 years, female 17.4
GTEX-WRHU-0326-SM-3MJFY 50-59 years, female 17.3
GTEX-1BAJH-0826-SM-7EWEF 70-79 years, male 17.1
GTEX-ZV7C-1826-SM-5NQ83 50-59 years, male 17.1
GTEX-13NZB-2126-SM-5MR4Y 30-39 years, male 16.9
GTEX-1GZ2Q-2626-SM-7MXV9 40-49 years, male 16.7
GTEX-17HG3-0126-SM-7IGNH 30-39 years, female 16.2
GTEX-RU1J-0626-SM-4WAWY 20-29 years, female 16.2
GTEX-ZTTD-1026-SM-51MRD 50-59 years, male 16.2
GTEX-14ICK-2426-SM-6EU27 40-49 years, male 16.1
GTEX-RWS6-1926-SM-47JXY 60-69 years, female 15.9
GTEX-1I6K7-1026-SM-A9SLK 40-49 years, male 15.9
GTEX-QEG5-0726-SM-D4P1T 20-29 years, male 15.8
GTEX-11P81-1926-SM-5BC53 30-39 years, female 15.5
GTEX-1J8QM-2026-SM-ARZMW 60-69 years, female 15.5
GTEX-18A7A-0726-SM-7LTAI 50-59 years, female 15.3
GTEX-XMD2-0926-SM-4WWEF 60-69 years, female 15.3
GTEX-13O3P-0826-SM-5L3DH 50-59 years, male 15.2
GTEX-1JJEA-2726-SM-ARL8V 60-69 years, male 15.2
GTEX-1399U-1826-SM-5PNZ1 50-59 years, female 15.0
GTEX-S4UY-0726-SM-4AD6X 40-49 years, female 14.9
GTEX-ZF2S-2026-SM-5E461 50-59 years, female 14.9
GTEX-1LGRB-1826-SM-CNPQL 50-59 years, female 14.7
GTEX-1R7EU-1226-SM-E8VMR 60-69 years, male 14.5
GTEX-1GMR8-0726-SM-9KNVI 50-59 years, female 14.4
GTEX-1JK1U-1826-SM-ARL8W 60-69 years, male 14.4
GTEX-1QCLY-1626-SM-DTXDW 30-39 years, male 14.4
GTEX-1RAZQ-1226-SM-EWRNL 30-39 years, male 14.4
GTEX-11PRG-0826-SM-5EQ6A 50-59 years, male 14.1
GTEX-1313W-0826-SM-5EQ4T 50-59 years, female 14.0
GTEX-T6MO-0326-SM-32QOK 40-49 years, female 14.0
GTEX-Q2AG-0326-SM-48U1O 40-49 years, female 13.9
GTEX-1MA7W-1026-SM-DKPQK 20-29 years, female 13.8
GTEX-1C6VS-0726-SM-7EPHF 60-69 years, male 13.7
GTEX-TML8-1226-SM-32QON 40-49 years, female 13.7
GTEX-1N5O9-1126-SM-DTXEQ 60-69 years, male 13.7
GTEX-ZF29-1926-SM-5S2P1 60-69 years, female 13.6
GTEX-ZPIC-1126-SM-5BC7F 40-49 years, female 13.5
GTEX-1GMRU-0826-SM-9WYT7 50-59 years, male 13.3
GTEX-1211K-1926-SM-5EQLB 60-69 years, female 13.2
GTEX-139T8-0826-SM-5L3DE 60-69 years, male 13.2
GTEX-13NZ8-0126-SM-5IJCT 60-69 years, female 13.2
GTEX-1H1E6-0926-SM-9YFLT 30-39 years, male 13.2
GTEX-WFG8-2026-SM-EXOHO 20-29 years, male 13.1
GTEX-U3ZH-1426-SM-4DXSR 30-39 years, male 13.0
GTEX-ZVTK-0326-SM-51MRR 20-29 years, male 13.0
GTEX-1HSKV-2026-SM-CMKGX 60-69 years, male 13.0
GTEX-1C64O-0726-SM-7DUFU 60-69 years, male 12.8
GTEX-1F5PL-1026-SM-7RHI1 40-49 years, female 12.7
GTEX-1CAMS-1426-SM-7IGPM 40-49 years, female 12.4
GTEX-11I78-2226-SM-5PNYA 50-59 years, female 12.3
GTEX-1GN2E-2226-SM-9WG6J 60-69 years, male 12.3
GTEX-1LVAN-1326-SM-CNPQE 50-59 years, female 12.3
GTEX-1I4MK-1626-SM-CM2TJ 50-59 years, female 12.2
GTEX-1J8Q2-2726-SM-A9G2X 60-69 years, male 12.2
GTEX-12WSK-2226-SM-5GCO5 40-49 years, female 12.1
GTEX-147F4-2826-SM-5NQBN 50-59 years, male 12.1
GTEX-1LG7Z-0726-SM-CXKYD 30-39 years, male 12.1
GTEX-T6MN-0726-SM-32PML 50-59 years, male 11.9
GTEX-1S82U-1126-SM-E9U6I 30-39 years, female 11.9
GTEX-1CB4E-0226-SM-79OLW 60-69 years, male 11.8
GTEX-17F98-0526-SM-79OK5 40-49 years, female 11.7
GTEX-VUSG-2226-SM-4KKZO 50-59 years, male 11.6
GTEX-1MCYP-0126-SM-E6CIS 20-29 years, female 11.6
GTEX-1GZ4H-0326-SM-7P8QX 50-59 years, female 11.5
GTEX-11EI6-0626-SM-5985T 60-69 years, male 11.4
GTEX-11DXW-0626-SM-5N9ER 40-49 years, male 11.3
GTEX-1RAZS-1226-SM-E8VMT 50-59 years, male 11.3
GTEX-17HHE-1426-SM-7EPH4 50-59 years, male 11.2
GTEX-U412-1826-SM-4DXTJ 60-69 years, male 11.2
GTEX-1N2EE-2126-SM-E8VNN 60-69 years, male 11.2
GTEX-Y8LW-1626-SM-5IFHX 50-59 years, female 11.0
GTEX-1GMR3-2626-SM-7RHHG 40-49 years, male 11.0
GTEX-TMMY-0726-SM-33HBE 40-49 years, female 10.9
GTEX-1IY9M-2726-SM-CMKG5 60-69 years, male 10.9
GTEX-1IKJJ-2326-SM-COH3U 60-69 years, male 10.7
GTEX-11GSP-0926-SM-9WYSG 60-69 years, female 10.6
GTEX-ZEX8-2226-SM-57WC6 50-59 years, male 10.5
GTEX-12BJ1-1826-SM-5HL9N 60-69 years, male 10.4
GTEX-WYJK-1326-SM-3NB2T 50-59 years, male 10.4
GTEX-1QPFJ-2026-SM-EVYBE 30-39 years, female 10.4
GTEX-T2YK-2226-SM-32QPT 50-59 years, male 10.3
GTEX-UPK5-2326-SM-3P5Z8 40-49 years, male 10.3
GTEX-ZVE2-1226-SM-5NQ8R 50-59 years, male 10.3
GTEX-13OW5-2226-SM-5L3HC 60-69 years, male 10.2
GTEX-1122O-1226-SM-5H113 60-69 years, female 10.1
GTEX-13SLW-2526-SM-62LDQ 70-79 years, male 10.1
GTEX-S341-1526-SM-4AD6K 40-49 years, female 10.1
GTEX-1A8G7-2426-SM-731AK 60-69 years, male 10.0
GTEX-1HUB1-1626-SM-CM2SL 60-69 years, male 9.9
GTEX-1I1HK-2426-SM-ADEHX 60-69 years, male 9.9
GTEX-1LSNM-1326-SM-E9TJ1 50-59 years, male 9.9
GTEX-ZVZQ-0826-SM-51MRF 60-69 years, female 9.8
GTEX-1MJK2-2226-SM-EVYCR 50-59 years, male 9.7
GTEX-XBED-1626-SM-47JYN 60-69 years, male 9.6
GTEX-13FHO-0826-SM-5L3E8 60-69 years, male 9.4
GTEX-14PJO-0726-SM-69LO8 60-69 years, male 9.4
GTEX-18QFQ-0826-SM-718AX 30-39 years, male 9.4
GTEX-15G19-2126-SM-6M48J 60-69 years, male 9.3
GTEX-1JMQK-2626-SM-COH2W 60-69 years, male 9.3
GTEX-1HCVE-2626-SM-ADEJ8 50-59 years, male 9.2
GTEX-1K2DA-1726-SM-CGQGS 50-59 years, male 9.1
GTEX-18A7B-2626-SM-7LG55 70-79 years, male 9.0
GTEX-14DAR-1326-SM-7DUEG 50-59 years, male 8.8
GTEX-1B97J-0426-SM-79OLQ 50-59 years, female 8.7
GTEX-R53T-1526-SM-48FEK 50-59 years, female 8.7
GTEX-13113-5013-SM-7SB7G 60-69 years, female 8.7
GTEX-ZTX8-1226-SM-4YCE9 20-29 years, male 8.6
GTEX-1H1DG-0526-SM-9YFLN 70-79 years, male 8.4
GTEX-17HHY-0926-SM-793C1 50-59 years, male 8.3
GTEX-1P4AB-1826-SM-E76PU 50-59 years, male 8.3
GTEX-ZAK1-1326-SM-EVYAS 50-59 years, female 8.3
GTEX-U3ZN-1926-SM-4DXSG 30-39 years, female 8.2
GTEX-Y114-2026-SM-4TT7L 50-59 years, female 8.1
GTEX-1JMPY-0526-SM-CL54O 30-39 years, male 8.1
GTEX-146FH-0826-SM-5SI8T 50-59 years, female 8.0
GTEX-111YS-1926-SM-5GICC 60-69 years, male 7.9
GTEX-139TU-0626-SM-5KM3X 60-69 years, male 7.8
GTEX-1A3MV-1626-SM-731C1 30-39 years, male 7.8
GTEX-1117F-2826-SM-5GZXL 60-69 years, female 7.7
GTEX-16BQI-1026-SM-7KUEA 30-39 years, female 7.7
GTEX-X4XY-0926-SM-4E3JD 60-69 years, male 7.7
GTEX-Y111-2026-SM-4SOJA 50-59 years, male 7.7
GTEX-1KAFJ-0226-SM-DIPEL 50-59 years, male 7.7
GTEX-1I1GU-1026-SM-ADEHJ 40-49 years, male 7.6
GTEX-XMD1-0826-SM-4AT52 60-69 years, male 7.5
GTEX-1B97I-0426-SM-79OL7 40-49 years, male 7.4
GTEX-QEL4-2126-SM-447AE 50-59 years, male 7.1
GTEX-X261-0626-SM-3NMD9 50-59 years, male 7.1
GTEX-1GMR2-1926-SM-9MQLZ 50-59 years, male 6.9
GTEX-1JMOU-2026-SM-CMKGU 60-69 years, female 6.8
GTEX-Y5V6-2126-SM-4WWFX 60-69 years, male 6.6
GTEX-1ICG6-1326-SM-ACKWR 70-79 years, female 6.6
GTEX-11LCK-2426-SM-5HL5F 30-39 years, male 6.5
GTEX-1EWIQ-1726-SM-7SB7T 70-79 years, female 6.5
GTEX-132Q8-1426-SM-5EGK7 60-69 years, male 6.3
GTEX-QVJO-1826-SM-447C9 60-69 years, female 6.1
GTEX-RUSQ-2026-SM-4GIAK 50-59 years, male 6.0
GTEX-1N2EF-2226-SM-E9J33 60-69 years, male 5.8
GTEX-1192X-2326-SM-5987X 50-59 years, male 5.7
GTEX-Y3I4-1526-SM-4TT7K 50-59 years, male 5.7
GTEX-15SHW-1326-SM-6PAL8 60-69 years, male 5.6
GTEX-1GZ4I-2826-SM-9MQK5 50-59 years, male 5.6
GTEX-S33H-0326-SM-4AD6N 30-39 years, male 5.5
GTEX-145MO-0826-SM-5NQBL 60-69 years, male 5.3
GTEX-14753-2426-SM-5LU8U 60-69 years, male 5.2
GTEX-W5X1-2326-SM-3GIL6 40-49 years, female 5.2
GTEX-WOFL-0826-SM-3MJG1 60-69 years, male 5.2
GTEX-17KNJ-2026-SM-7LG53 50-59 years, male 5.1
GTEX-1314G-1226-SM-5BC6D 30-39 years, male 5.0
GTEX-17EVP-0226-SM-79OND 40-49 years, male 5.0
GTEX-ZVT4-1026-SM-57WC4 50-59 years, female 5.0
GTEX-1J8Q3-1326-SM-CMKI1 60-69 years, male 5.0
GTEX-17F97-2526-SM-7EWDV 50-59 years, male 4.9
GTEX-1E2YA-2726-SM-7IGPW 50-59 years, male 4.9
GTEX-YB5K-1626-SM-5IFIN 40-49 years, female 4.9
GTEX-1EU9M-2826-SM-7EWFH 60-69 years, male 4.5
GTEX-1F75A-1826-SM-7SB8G 50-59 years, male 4.5
GTEX-1GPI7-0926-SM-7PC3J 20-29 years, male 4.5
GTEX-1QP28-1226-SM-E9J2M 50-59 years, female 4.5
GTEX-1B8L1-2426-SM-9WYTE 60-69 years, male 4.4
GTEX-ZLWG-1926-SM-DO92J 50-59 years, female 4.4
GTEX-1PDJ9-1126-SM-EXUSW 20-29 years, male 4.3
GTEX-1I19N-2826-SM-CL55D 70-79 years, male 4.2
GTEX-ZV6S-1826-SM-5NQ8D 40-49 years, female 4.0
GTEX-11EQ9-1826-SM-5Q5AJ 30-39 years, male 3.9
GTEX-1HCU9-0326-SM-9WYSC 20-29 years, male 3.9
GTEX-1KXAM-1026-SM-CY8IA 60-69 years, male 3.8
GTEX-S32W-2026-SM-4AD6E 50-59 years, female 3.6
GTEX-1F75B-0626-SM-7SB8A 50-59 years, male 3.6
GTEX-1KANC-1426-SM-CYPT9 50-59 years, female 3.6
GTEX-11TUW-1826-SM-5BC5D 60-69 years, male 3.5
GTEX-11WQK-2426-SM-5GU5C 50-59 years, male 3.4
GTEX-13OW8-0226-SM-5K7UP 60-69 years, male 3.4
GTEX-14E6E-1326-SM-5S2NR 30-39 years, male 3.4
GTEX-1HBPM-0126-SM-ARL9E 60-69 years, female 3.4
GTEX-1R9PM-1826-SM-EVYBH 20-29 years, male 3.3
GTEX-132NY-0826-SM-5K7Y7 60-69 years, male 3.2
GTEX-XQ8I-2426-SM-4WAXY 50-59 years, male 3.2
GTEX-11DXZ-1926-SM-5GZZL 50-59 years, male 3.1
GTEX-1B8KE-1226-SM-73KWK 50-59 years, male 3.1
GTEX-TKQ1-0226-SM-33HB5 30-39 years, male 3.1
GTEX-12WSN-1326-SM-5GCNT 40-49 years, male 3.0
GTEX-144GM-0926-SM-5O994 20-29 years, male 3.0
GTEX-14B4R-1226-SM-5TDDT 30-39 years, male 3.0
GTEX-11ZUS-0826-SM-5FQUY 30-39 years, male 2.9
GTEX-1JMPZ-1626-SM-COH31 30-39 years, male 2.9
GTEX-ZDYS-1126-SM-5K7UB 50-59 years, male 2.8
GTEX-ZZ64-1226-SM-5E43R 20-29 years, male 2.8
GTEX-17GQL-0326-SM-7LG5U 60-69 years, male 2.7
GTEX-1JN1M-3026-SM-CMKGK 60-69 years, female 2.7
GTEX-YECK-0726-SM-EZ6LV 60-69 years, male 2.7
GTEX-11ZTT-2326-SM-5EQLG 60-69 years, female 2.6
GTEX-13S86-1226-SM-5S2OA 40-49 years, male 2.6
GTEX-144GL-2026-SM-5LU3O 50-59 years, male 2.6
GTEX-1B8KZ-1526-SM-7DUG7 50-59 years, male 2.6
GTEX-117XS-1926-SM-5GICO 60-69 years, male 2.5
GTEX-17F96-2426-SM-7IGLN 70-79 years, male 2.5
GTEX-1HFI7-0126-SM-CGQFQ 50-59 years, female 2.4
GTEX-13O61-1826-SM-5KM4I 60-69 years, male 2.3
GTEX-R55D-0826-SM-48FEA 50-59 years, male 2.3
GTEX-1GF9U-1726-SM-7MGY5 40-49 years, female 2.3
GTEX-Z9EW-1526-SM-EZ6LU 40-49 years, male 2.3
GTEX-13PVQ-1026-SM-5KM3M 50-59 years, male 2.2
GTEX-15RJE-2626-SM-7KFT1 40-49 years, male 2.2
GTEX-YJ8O-2226-SM-5IFHW 40-49 years, female 2.2
GTEX-1IDJU-1826-SM-CMKHV 60-69 years, female 2.2
GTEX-117YX-1426-SM-5H12H 50-59 years, male 2.1
GTEX-13CF3-2126-SM-5IFJP 60-69 years, female 2.1
GTEX-15UF7-0726-SM-6M46D 40-49 years, male 2.1
GTEX-1C6WA-2426-SM-7SB86 60-69 years, male 2.1
GTEX-145MN-1926-SM-5SIAI 30-39 years, male 2.0
GTEX-PSDG-1626-SM-48TCQ 50-59 years, male 2.0
GTEX-1HSEH-2026-SM-ADEHN 60-69 years, male 2.0
GTEX-11P82-1326-SM-5HL62 20-29 years, male 1.9
GTEX-14PJ4-2126-SM-6ETZJ 60-69 years, male 1.8
GTEX-XMK1-1126-SM-4IHJ8 40-49 years, male 1.8
GTEX-1IDJF-2326-SM-ARL86 20-29 years, male 1.8
GTEX-1LSNL-2826-SM-E9U5L 50-59 years, male 1.8
GTEX-1R7EV-1526-SM-E8VOD 40-49 years, male 1.8
GTEX-XV7Q-2326-SM-4BRVZ 40-49 years, female 1.7
GTEX-1I1GP-0426-SM-COH3N 50-59 years, male 1.7
GTEX-1M4P7-2626-SM-E9U5F 60-69 years, male 1.7
GTEX-1NHNU-0926-SM-E9J2T 50-59 years, male 1.7
GTEX-14E6C-1326-SM-62LEQ 40-49 years, male 1.6
GTEX-1A3MX-2726-SM-718B6 60-69 years, male 1.6
GTEX-ZA64-1526-SM-5CVMD 20-29 years, male 1.6
GTEX-ZYT6-0126-SM-5E45J 30-39 years, male 1.6
GTEX-1ICLY-1726-SM-B2LVT 50-59 years, male 1.6
GTEX-11GSO-1926-SM-5A5K3 60-69 years, male 1.5
GTEX-13N1W-0626-SM-5MR4U 70-79 years, male 1.5
GTEX-145ME-1526-SM-5Q5F2 40-49 years, female 1.5
GTEX-Y9LG-1426-SM-5IFJZ 30-39 years, male 1.5
GTEX-YEC3-1026-SM-5IFI5 50-59 years, male 1.5
GTEX-ZT9W-2026-SM-51MRA 50-59 years, male 1.5
GTEX-ZYW4-0826-SM-5GIDG 60-69 years, male 1.5
GTEX-1JN6P-2426-SM-ARL99 60-69 years, male 1.5
GTEX-1QW4Y-1026-SM-DTXE2 30-39 years, male 1.5
GTEX-1R9JW-0326-SM-EAZ45 30-39 years, female 1.5
GTEX-XGQ4-0926-SM-4AT4U 50-59 years, male 1.4
GTEX-ZUA1-1526-SM-59HLS 40-49 years, male 1.4
GTEX-ZYFC-0826-SM-5E44K 50-59 years, male 1.4
GTEX-1C475-1226-SM-7SB72 40-49 years, female 1.4
GTEX-1H1ZS-0126-SM-9YFKQ 70-79 years, male 1.4
GTEX-1HCU7-1026-SM-ADEIP 50-59 years, male 1.4
GTEX-11DXY-2326-SM-5GICW 60-69 years, male 1.3
GTEX-139T6-1626-SM-5PNYZ 50-59 years, male 1.3
GTEX-17MFQ-0926-SM-7LG4S 20-29 years, male 1.3
GTEX-18D9A-1526-SM-7LG4J 30-39 years, female 1.3
GTEX-1AX9I-0726-SM-73KWV 60-69 years, male 1.3
GTEX-ZQUD-1926-SM-51MSA 30-39 years, male 1.3
GTEX-1IDFM-0426-SM-B2LVV 60-69 years, male 1.3
GTEX-1LBAC-0926-SM-CXKY9 20-29 years, male 1.3
GTEX-1QP9N-1826-SM-E8VMP 30-39 years, male 1.3
GTEX-16YQH-2826-SM-6PAMY 30-39 years, male 1.2
GTEX-ZAB4-2526-SM-5HL8M 40-49 years, male 1.2
GTEX-169BO-1126-SM-7MGWN 50-59 years, male 1.2
GTEX-17F9E-2526-SM-7MGW2 50-59 years, male 1.2
GTEX-1I1GV-2426-SM-CGQFM 60-69 years, male 1.2
GTEX-1JKYN-0726-SM-ARZMY 30-39 years, male 1.2
GTEX-1MA7X-1626-SM-E9U5B 60-69 years, male 1.2
GTEX-1MJK3-1126-SM-E9J3F 20-29 years, male 1.2
GTEX-11O72-2126-SM-5N9FO 40-49 years, male 1.1
GTEX-11OF3-1926-SM-59889 60-69 years, male 1.1
GTEX-11ONC-2126-SM-5HL6E 60-69 years, male 1.1
GTEX-13O3Q-2226-SM-5KM4O 50-59 years, male 1.1
GTEX-183FY-1126-SM-7DHLJ 20-29 years, male 1.1
GTEX-S4Q7-1126-SM-4AD6R 20-29 years, male 1.1
GTEX-WY7C-2726-SM-3NB3P 50-59 years, male 1.1
GTEX-XQ3S-1326-SM-4BOPQ 20-29 years, male 1.1
GTEX-1QMI2-0726-SM-E9J4F 60-69 years, male 1.1
GTEX-1RLM8-2226-SM-EVYD1 50-59 years, male 1.1
GTEX-QMRM-1626-SM-D4P1U 50-59 years, male 1.1
GTEX-132AR-0826-SM-5EGK6 50-59 years, female 1.0
GTEX-13FTX-1126-SM-5N9EN 20-29 years, female 1.0
GTEX-13W46-0826-SM-5LU3H 50-59 years, male 1.0
GTEX-17MF6-0326-SM-7EPH5 40-49 years, male 1.0
GTEX-TKQ2-1826-SM-33HB2 50-59 years, male 1.0
GTEX-1F5PK-2126-SM-7PC28 50-59 years, male 1.0
GTEX-1HR98-0426-SM-COH36 60-69 years, male 1.0
GTEX-1IGQW-0926-SM-ADEH6 60-69 years, male 1.0
GTEX-1S82Z-0726-SM-E6CHX 30-39 years, female 1.0
GTEX-17EVQ-0426-SM-7LG57 70-79 years, male 0.9
GTEX-17HGU-1326-SM-79OKB 50-59 years, male 0.9
GTEX-18465-2026-SM-718AP 50-59 years, male 0.9
GTEX-1C6VQ-0426-SM-79OOX 50-59 years, male 0.9
GTEX-V955-2026-SM-3GAFA 60-69 years, male 0.9
GTEX-WFON-1826-SM-3GILG 40-49 years, male 0.9
GTEX-Y8E4-1626-SM-5S2MW 40-49 years, male 0.9
GTEX-ZQG8-0726-SM-5P9H9 60-69 years, female 0.9
GTEX-1H11D-1526-SM-9MQJY 40-49 years, male 0.9
GTEX-1H3VY-0926-SM-ACKXE 50-59 years, male 0.9
GTEX-1LSVX-2426-SM-E6CJX 60-69 years, male 0.9
GTEX-ZDTT-2126-SM-DKPOM 60-69 years, male 0.9
GTEX-1CAMR-1426-SM-793BO 20-29 years, male 0.8
GTEX-YFCO-1826-SM-4W1YH 40-49 years, male 0.8
GTEX-ZDXO-0126-SM-5S2ND 60-69 years, male 0.8
GTEX-1ICLZ-0426-SM-B2LW2 60-69 years, male 0.8
GTEX-1L5NE-2126-SM-CY8IH 50-59 years, male 0.8
GTEX-1OKEX-0826-SM-E9J2B 60-69 years, male 0.8
GTEX-12WSM-1726-SM-5BC6J 60-69 years, male 0.7
GTEX-18A6Q-0926-SM-7LG4N 60-69 years, male 0.7
GTEX-1AMEY-1026-SM-718AA 30-39 years, female 0.7
GTEX-UTHO-1026-SM-3GAF7 60-69 years, male 0.7
GTEX-YB5E-1726-SM-5IFJ3 40-49 years, male 0.7
GTEX-1H23P-0726-SM-9WG7K 60-69 years, male 0.7
GTEX-1PPH7-0826-SM-E8VNX 40-49 years, male 0.7
GTEX-11DZ1-0326-SM-5N9BN 50-59 years, male 0.6
GTEX-13FTW-1426-SM-5LZWZ 40-49 years, male 0.6
GTEX-14BMV-0626-SM-793AU 50-59 years, male 0.6
GTEX-183WM-0726-SM-7LTAA 70-79 years, female 0.6
GTEX-REY6-2426-SM-48FF5 60-69 years, male 0.6
GTEX-S7SE-0826-SM-4AT4D 50-59 years, male 0.6
GTEX-1H4P4-2226-SM-9MQKQ 50-59 years, male 0.6
GTEX-1HT8W-2226-SM-CGQEC 30-39 years, male 0.6
GTEX-1IOXB-1926-SM-ARL8E 50-59 years, male 0.6
GTEX-ZLFU-2126-SM-DO931 40-49 years, male 0.6
GTEX-11NV4-2026-SM-5N9DG 60-69 years, male 0.5
GTEX-13QJ3-0826-SM-7DHKK 50-59 years, male 0.5
GTEX-13VXU-2826-SM-664MA 50-59 years, male 0.5
GTEX-1AX9J-1126-SM-731B7 60-69 years, male 0.5
GTEX-1IDJH-2226-SM-E6CJV 70-79 years, male 0.5
GTEX-1NV8Z-2826-SM-E8VME 60-69 years, male 0.5
GTEX-1PPGY-1526-SM-EVYBK 60-69 years, male 0.5
GTEX-WHSB-1926-SM-EXOHH 50-59 years, male 0.5
GTEX-12KS4-0126-SM-5Q5A5 30-39 years, male 0.4
GTEX-145MF-2226-SM-7EPIR 50-59 years, male 0.4
GTEX-18A66-1726-SM-7LG5N 60-69 years, male 0.4
GTEX-1EN7A-1426-SM-7PBY4 40-49 years, male 0.4
GTEX-1JKYR-0926-SM-CMKGJ 20-29 years, male 0.4
GTEX-1KD5A-1926-SM-DKPQA 50-59 years, male 0.4
GTEX-1LC47-1226-SM-D4P44 60-69 years, male 0.4
GTEX-1EKGG-2626-SM-7IGPY 60-69 years, male 0.3
GTEX-ZWKS-2826-SM-5NQ74 30-39 years, male 0.3
GTEX-1GF9V-2526-SM-7SB8K 60-69 years, male 0.3
GTEX-1I6K6-0826-SM-ARL7Z 30-39 years, male 0.3
GTEX-1KD4Q-2326-SM-D4P3M 40-49 years, male 0.3
GTEX-X62O-0526-SM-EWRMA 50-59 years, male 0.3
GTEX-14E7W-0826-SM-62LEJ 70-79 years, male 0.2
GTEX-1HSMO-0826-SM-ADEIV 60-69 years, male 0.2
GTEX-1JMLX-2026-SM-CMKGN 50-59 years, male 0.2
Show allShow less

BREAST - FANTOM5 CAGEi

RNA expression in human tissues obtained through Cap Analysis of Gene Expression (CAGE) generated by the FANTOM5 project are reported as Scaled Tags Per Million.

Read more
Max Scaled Tags Per Million 7.2
FANTOM5 sample id Sample description Scaled Tags Per Million
Breast
Scaled Tags Per Million: 7.2
FF:10080-102A8 77 years, female 7.2

Contact

  • NEWS ARTICLES
  • PRESS ROOM
  • contact@proteinatlas.org

The Project

  • INTRODUCTION
  • ORGANIZATION
  • PUBLICATIONS

The Human Protein Atlas

  • DOWNLOADABLE DATA
  • LICENCE & CITATION
  • HELP & FAQ
The Human Protein Atlas project is funded
by the Knut & Alice Wallenberg Foundation.