We use cookies to enhance the usability of our website. If you continue, we'll assume that you are happy to receive all cookies. More information. Don't show this again.
BRINP2
SECTIONS
  • TISSUE
  • BRAIN
  • SINGLE CELL TYPE
  • TISSUE CELL TYPE
  • PATHOLOGY
  • DISEASE
  • IMMUNE CELL
  • BLOOD PROTEIN
  • SUBCELLULAR
  • CELL LINE
  • STRUCTURE
  • METABOLIC
ABOUT
  • INTRODUCTION
  • HISTORY
  • ORGANIZATION
  • PUBLICATIONS
  • ANTIBODY SUBMISSION
  • ANTIBODY AVAILABILITY
  • ACKNOWLEDGMENTS
  • CONTACT
NEWS
  • NEWS ARTICLES
  • PRESS ROOM
LEARN
  • DICTIONARY
  • PROTEIN CLASSES
  • PROTEIN EVIDENCE
  • METHODS
  • EDUCATIONAL VIDEOS
DATA
  • DOWNLOADABLE DATA
  • PUBLICATION DATA
  • RELEASE HISTORY
  • SARS-COV-2
HELP
  • ANTIBODY VALIDATION
  • ASSAYS & ANNOTATION
  • DISCLAIMER
  • HELP & FAQ
  • PRIVACY STATEMENT
  • LICENCE & CITATION
Fields »
Search result

Field
Term
Gene name
Class
Subclass
Class
Keyword
Chromosome
External id
Tissue
Cell type
Expression
Patient ID
Tissue
Category
Cluster
Reliability
Brain region
Category
Brain region
Category
Brain region
Category
Reliability
Cell type
Category
Cluster
Tissue
Cell type
Enrichment
Cancer
Prognosis
Cancer
Category
Cell type
Category
Cell lineage
Category
Cluster
Annotation
Disease
Location
Searches
Location
Cell line
Type
Phase
Reliability
Cancer type
Category
Cluster
Pathway
Category
Score
Score
Score
Validation
Validation
Validation
Validation
Antibodies
Protein structure
In atlas
Column


  • SUMMARY

  • TISSUE

  • BRAIN

  • SINGLE CELL

  • TISSUE CELL

  • PATHOLOGY

  • DISEASE

  • IMMUNE

  • BLOOD

  • SUBCELL

  • CELL LINE

  • STRUCTURE

  • METABOLIC

  • BRINP2
PATHOLOGY UROTHELIAL CANCER Show tissue menu
BREAST CANCER CARCINOID CERVICAL CANCER COLORECTAL CANCER ENDOMETRIAL CANCER GLIOMA HEAD AND NECK CANCER LIVER CANCER LUNG CANCER LYMPHOMA
MELANOMA OVARIAN CANCER PANCREATIC CANCER PROSTATE CANCER RENAL CANCER SKIN CANCER STOMACH CANCER TESTIS CANCER THYROID CANCER UROTHELIAL CANCER
ANTIBODIES
AND
VALIDATION
Dictionary
Urothelial cancer
Human pathology
Urothelial cancer
UROTHELIAL CANCER - Interactive survival scatter ploti

The Survival Scatter plot shows the clinical status (i.e. dead or alive) for all individuals in the patient cohort, based on the same data that underlies the corresponding Kaplan-Meier plots. Patients that are alive at last time for follow-up are shown in blue and patients who have died during the study are shown in red.

The x-axis shows the expression levels (FPKM) of the investigated gene in the tumor tissue at the time of diagnosis. The y-axis shows the follow-up time after diagnosis (years). Both axes are complimented with kernel density curves demonstrating the data density over the axes. The top density plot shows the expression levels (FPKM) distribution among dead (red) and alive patients (blue). The right density plot shows the data density of the survived years of dead patients with high and low expression levels respectively, stratified using the cutoff indicated by the vertical dashed line through the Survival Scatter plot. This cutoff is automatically defined based on the FPKM cutoff that minimizes the p-score. The cutoff can be changed by dragging the vertical line or by entering a cutoff value in the square labeled "Current cut-off".

Under the Survival Scatter plot the p-score landscape (black curve; left axis) is shown together with dead median separation (red curve; right axis). Dead median separation is the difference in median mRNA expression between patients who have died with high and low expression, respectively. It is calculated as follows: median FPKM expression of dead patients with high expression - median FPKM expression of dead patients with low expression. This is intended to aid the user in visually exploring custom cutoffs and the associated p-scores and dead median separation.

Individual patient data is displayed and can be filtered by clicking on one or more of the category buttons on the top of the page. Categories describing expression level and patient information include: high, low, alive, dead, female, male and tumor stages. The scale of the x-axis can be toggled between linear and log-scale by clicking on the "x log" button. Mouse-over function shows TCGA ID, patient information and mRNA expression (FPKM) for each patient.

& Survival analysisi

Kaplan-Meier plots summarize results from analysis of correlation between mRNA expression level and patient survival. Patients were divided based on level of expression into one of the two groups "low" (under cut off) or "high" (over cut off). X-axis shows time for survival (years) and y-axis shows the probability of survival, where 1.0 corresponds to 100 percent.

Read more
BRINP2 is not prognostic in urothelial cancer


Stage:

Survival analysis
Current cut offi

Current cut-off shows the cut-off (FPKM) currently selected. It may be changed manually. When the current cut-off is changed, the vertical dashed line indicating cut-off, the interactive survival scatter plot and the Kaplan-Meier curve will be automatically adjusted to show results accordingly.

:
Best expression cut offi

Based on the FPKM value of each gene, patients were classified into two groups and association between prognosis (survival) and gene expression (FPKM) was examined. The best expression cut-off refers the FPKM value that yields maximal difference with regard to survival between the two groups at the lowest log-rank P-value. Best expression cut-off was selected based on survival analysis .

When clicking on this number, the vertical dashed line indicating cut-off, the interactive survival plot, and the Kaplan-Meier curve will be adjusted to show results based on the best expression cut-off.

Read more
: 0.03
Median expressioni

Median expression refers to the median FPKM value calculated based on the gene expression (FPKM) data from all patients in this dataset. When clicking on this number, the vertical dashed line indicating cut-off, the interactive survival plot, and the Kaplan-Meier curve will be adjusted to show results based on the median expression.

Read more
: N/A
Median follow up timei

Median follow up time refers to the median time (years) after diagnosis with this type of cancer, based on clinical data from all patients in this dataset.

: N/A
P scorei

Log-rank P value for Kaplan-Meier plot showing results from analysis of correlation between mRNA expression level and patient survival.

N/A
5-year survival highi

5-year survival for patients with higher expression than the expression cutoff.

For melanoma and glioma, 3-year survival is shown.

N/A
5-year survival lowi

5-year survival for patients with lower expression than the expression cutoff.

For melanoma and glioma, 3-year survival is shown.

N/A
TCGA RNA samplesi

RNA-seq data is reported as average FPKM (number Fragments Per Kilobase of exon per Million reads), generated by the The Cancer Genome Atlas (TCGA) .

Normal distribution across the dataset is visualized with box plots, shown as median and 25th and 75th percentiles. Points are displayed as outliers if they are above or below 1.5 times the interquartile range. FPKM values of the individual samples are presented next to the box plot.

Average FPKM 0.1
Number of samples 406
Samples
Sample Description FPKM
TCGA-E5-A4U1-01A 72 years, male, stage:ii, alive, 1181 days 20.6
TCGA-CF-A47X-01A 60 years, male, asian, stage:ii, alive, 384 days 7.0
TCGA-FD-A43X-01A 84 years, male, white, stage:ii, alive, 110 days 6.0
TCGA-UY-A78N-01A 79 years, male, white, stage:iv, dead, 2641 days 4.2
TCGA-E7-A3Y1-01A 57 years, male, white, stage:ii, alive, 163 days 2.8
TCGA-CF-A47Y-01A 55 years, male, asian, stage:ii, alive, 373 days 2.6
TCGA-C4-A0EZ-01A 69 years, female, stage:iv, dead, 273 days 2.1
TCGA-E7-A5KF-01A 67 years, male, asian, stage:ii, alive, 20 days 2.0
TCGA-CF-A47W-01A 42 years, male, asian, stage:ii, alive, 368 days 2.0
TCGA-E7-A678-01A 55 years, male, asian, stage:iii, alive, 798 days 1.3
TCGA-CF-A9FM-01A 50 years, male, asian, stage:i, alive, 398 days 1.2
TCGA-E7-A7DU-01A 73 years, male, white, stage:iii, alive, 28 days 1.0
TCGA-E7-A6ME-01A 75 years, male, asian, stage:ii, alive, 731 days 1.0
TCGA-BT-A2LA-01A 54 years, male, white, stage:iii, alive, 522 days 0.9
TCGA-XF-A8HI-01A 57 years, female, white, stage:iv, dead, 544 days 0.9
TCGA-XF-AAN7-01A 60 years, male, white, stage:iv, dead, 565 days 0.9
TCGA-CF-A5U8-01A 59 years, male, asian, stage:ii, alive, 399 days 0.8
TCGA-YC-A8S6-01A 71 years, male, white, stage:ii, alive, 293 days 0.7
TCGA-ZF-A9R2-01A 75 years, male, white, stage:ii, alive, 642 days 0.6
TCGA-XF-AAN1-01A 75 years, female, stage:iii, dead, 941 days 0.6
TCGA-GU-A42P-01A 72 years, male, white, stage:iv, dead, 332 days 0.6
TCGA-DK-A3IN-01A 72 years, male, white, stage:iii, dead, 250 days 0.6
TCGA-DK-AA71-01A 71 years, male, white, stage:ii, alive, 415 days 0.5
TCGA-GD-A3OS-01A 54 years, female, white, stage:ii, alive, 638 days 0.5
TCGA-DK-A1AF-01A 84 years, female, white, stage:iv, alive, 536 days 0.5
TCGA-GV-A3QK-01B 56 years, female, white, stage:iv, alive, 832 days 0.5
TCGA-H4-A2HO-01A 53 years, male, white, stage:iii, alive, 46 days 0.5
TCGA-DK-A6B0-01A 61 years, male, white, stage:ii, alive, 2330 days 0.5
TCGA-DK-A1A7-01A 67 years, female, white, stage:iv, alive, 560 days 0.4
TCGA-2F-A9KO-01A 63 years, male, white, stage:iv, dead, 734 days 0.4
TCGA-CF-A47T-01A 58 years, female, asian, stage:ii, dead, 385 days 0.4
TCGA-DK-AA6X-01A 63 years, male, white, stage:ii, alive, 467 days 0.4
TCGA-DK-A1AG-01A 66 years, male, white, stage:iii, alive, 475 days 0.4
TCGA-4Z-AA89-01A 61 years, male, white, stage:iv, alive, 902 days 0.3
TCGA-GV-A3QI-01A 47 years, male, white, stage:iii, alive, 1110 days 0.3
TCGA-G2-A2EL-01A 77 years, male, white, stage:ii, dead, 819 days 0.3
TCGA-GC-A4ZW-01A 71 years, male, white, stage:iii, alive, 15 days 0.3
TCGA-CF-A27C-01A 52 years, male, asian, stage:iii, alive, 425 days 0.3
TCGA-XF-AAMW-01A 79 years, female, white, stage:iv, dead, 253 days 0.3
TCGA-DK-A1AA-01A 57 years, male, white, stage:iii, alive, 578 days 0.3
TCGA-DK-A3IS-01A 68 years, male, white, stage:ii, alive, 1529 days 0.3
TCGA-GV-A3JX-01A 59 years, male, white, stage:iii, alive, 581 days 0.3
TCGA-ZF-A9RC-01A 77 years, male, white, stage:iii, alive, 2868 days 0.3
TCGA-DK-A1AB-01A 74 years, female, white, stage:iv, dead, 508 days 0.2
TCGA-DK-A3IQ-01A 74 years, male, white, stage:iii, dead, 539 days 0.2
TCGA-KQ-A41Q-01A 89 years, male, white, stage:iii, alive, 1429 days 0.2
TCGA-GU-AATP-01A 74 years, male, white, stage:iv, alive, 1003 days 0.2
TCGA-XF-A9SI-01A 73 years, female, asian, stage:ii, alive, 2423 days 0.2
TCGA-BL-A0C8-01A 73 years, male, white, stage:i, alive, 1219 days 0.2
TCGA-XF-A9SU-01A 74 years, female, white, stage:iv, dead, 182 days 0.1
TCGA-K4-A5RJ-01A 75 years, male, white, stage:ii, alive, 539 days 0.1
TCGA-GU-A767-01A 81 years, male, white, stage:iv, dead, 144 days 0.1
TCGA-CF-A9FF-01A 52 years, male, asian, stage:ii, alive, 361 days 0.1
TCGA-LT-A5Z6-01A 56 years, male, white, stage:ii, alive, 474 days 0.1
TCGA-2F-A9KQ-01A 69 years, male, white, stage:iii, alive, 2886 days 0.1
TCGA-XF-A9T2-01A 54 years, male, white, stage:iii, dead, 575 days 0.1
TCGA-GU-A763-01A 72 years, male, white, stage:iii, alive, 997 days 0.1
TCGA-FD-A5BX-01A 82 years, male, white, stage:iv, dead, 173 days 0.1
TCGA-BT-A20T-01A 63 years, male, white, stage:iv, dead, 453 days 0.1
TCGA-S5-AA26-01A 46 years, male, black or african american, stage:iii, alive, 503 days 0.1
TCGA-ZF-AA51-01A 69 years, female, white, stage:ii, alive, 1714 days 0.1
TCGA-BT-A20P-01A 81 years, female, white, stage:iii, dead, 544 days 0.1
TCGA-ZF-A9R1-01A 81 years, male, white, stage:iv, alive, 773 days 0.1
TCGA-GV-A3JZ-01A 55 years, male, white, stage:iv, alive, 603 days 0.1
TCGA-2F-A9KW-01A 67 years, female, white, stage:iii, dead, 254 days 0.1
TCGA-MV-A51V-01A 75 years, male, white, stage:iii, alive, 410 days 0.1
TCGA-UY-A78L-01A 62 years, male, white, stage:iv, alive, 1127 days 0.1
TCGA-DK-A6B2-01A 70 years, male, white, stage:iv, alive, 477 days 0.1
TCGA-XF-AAN0-01A 68 years, male, white, stage:iv, dead, 1718 days 0.1
TCGA-K4-A83P-01A 77 years, male, white, stage:iv, alive, 495 days 0.1
TCGA-DK-A6B1-01A 67 years, male, white, stage:ii, alive, 2049 days 0.1
TCGA-DK-AA6P-01A 72 years, female, white, stage:ii, alive, 457 days 0.1
TCGA-XF-AAN4-01A 77 years, female, white, stage:iii, dead, 823 days 0.1
TCGA-CF-A3MI-01A 62 years, male, asian, stage:ii, alive, 370 days 0.1
TCGA-BT-A42C-01A 64 years, male, white, stage:ii, alive, 873 days 0.1
TCGA-K4-A4AB-01B 76 years, male, white, stage:iii, alive, 84 days 0.1
TCGA-XF-AAMG-01A 49 years, male, white, stage:iii, alive, 3364 days 0.1
TCGA-XF-A9SW-01A 85 years, male, white, stage:iv, dead, 362 days 0.1
TCGA-ZF-A9RN-01A 67 years, female, white, stage:iii, dead, 615 days 0.1
TCGA-CF-A5UA-01A 67 years, male, asian, stage:ii, alive, 365 days 0.1
TCGA-FD-A43S-01A 71 years, female, white, stage:iii, alive, 455 days 0.1
TCGA-DK-AA6W-01A 79 years, male, white, stage:ii, dead, 415 days 0.1
TCGA-E7-A519-01A 72 years, male, white, stage:ii, alive, 508 days 0.1
TCGA-PQ-A6FN-01A 78 years, female, white, stage:iii, alive, 507 days 0.1
TCGA-E7-A8O7-01A 52 years, male, asian, stage:ii, alive, 466 days 0.1
TCGA-XF-A9T8-01A 64 years, male, white, stage:iii, dead, 418 days 0.1
TCGA-4Z-AA7M-01A 65 years, male, white, stage:iii, alive, 495 days 0.1
TCGA-2F-A9KR-01A 59 years, female, stage:iii, dead, 3183 days 0.1
TCGA-FD-A3B8-01A 56 years, male, white, stage:ii, alive, 384 days 0.1
TCGA-C4-A0F6-01A 82 years, female, stage:iii, alive, 700 days 0.1
TCGA-CF-A8HY-01A 59 years, male, asian, stage:ii, alive, 345 days 0.0
TCGA-DK-A1AC-01A 72 years, male, white, stage:iii, alive, 3981 days 0.0
TCGA-GV-A40G-01A 77 years, male, white, stage:ii, alive, 580 days 0.0
TCGA-XF-AAML-01A 75 years, male, white, stage:ii, dead, 232 days 0.0
TCGA-E7-A4IJ-01A 56 years, male, asian, stage:ii, dead, 674 days 0.0
TCGA-CF-A1HS-01A 75 years, female, asian, stage:iii, alive, 382 days 0.0
TCGA-ZF-A9R5-01A 59 years, male, white, stage:iii, alive, 1090 days 0.0
TCGA-G2-A3VY-01A 66 years, male, asian, stage:ii, alive, 536 days 0.0
TCGA-BT-A20Q-01A 73 years, male, white, stage:iv, dead, 593 days 0.0
TCGA-XF-A9T5-01A 78 years, female, white, stage:iv, alive, 2027 days 0.0
TCGA-FD-A5BR-01A 57 years, male, white, stage:ii, alive, 813 days 0.0
TCGA-FJ-A3Z7-01A 76 years, male, white, stage:iv, alive, 945 days 0.0
TCGA-ZF-AA4U-01A 70 years, male, white, stage:iii, dead, 262 days 0.0
TCGA-DK-A3IM-01A 77 years, male, white, stage:iii, dead, 248 days 0.0
TCGA-DK-A6B6-01A 57 years, male, white, stage:ii, alive, 1115 days 0.0
TCGA-G2-AA3F-01A 77 years, male, white, stage:iv, alive, 893 days 0.0
TCGA-DK-AA77-01A 61 years, male, white, stage:ii, alive, 618 days 0.0
TCGA-FD-A43P-01A 74 years, male, black or african american, stage:ii, alive, 832 days 0.0
TCGA-BL-A3JM-01A 63 years, male, white, stage:iii, dead, 205 days 0.0
TCGA-XF-AAMJ-01A 70 years, male, asian, stage:iii, dead, 1670 days 0.0
TCGA-SY-A9G0-01A 82 years, male, white, stage:iv, dead, 1008 days 0.0
TCGA-DK-AA6U-01A 64 years, male, white, stage:ii, alive, 578 days 0.0
TCGA-KQ-A41O-01A 84 years, male, stage:iv, alive, 1538 days 0.0
TCGA-FD-A5BU-01A 76 years, female, black or african american, stage:ii, alive, 588 days 0.0
TCGA-FD-A3SJ-01A 59 years, male, white, stage:iv, dead, 739 days 0.0
TCGA-DK-A3IT-01A 62 years, male, white, stage:iii, alive, 648 days 0.0
TCGA-GV-A6ZA-01A 54 years, male, white, stage:ii, alive, 691 days 0.0
TCGA-DK-A3X2-01A 85 years, male, white, stage:iv, dead, 547 days 0.0
TCGA-HQ-A5NE-01A 56 years, male, stage:iii, dead, 370 days 0.0
TCGA-K4-A3WS-01A 66 years, male, white, stage:iii, alive, 761 days 0.0
TCGA-FJ-A3ZF-01A 73 years, male, white, stage:iii, alive, 524 days 0.0
TCGA-BL-A5ZZ-01A 80 years, female, white, stage:iii, alive, 377 days 0.0
TCGA-ZF-AA5P-01A 65 years, male, white, stage:iv, alive, 372 days 0.0
TCGA-DK-AA75-01A 82 years, male, white, stage:iii, dead, 340 days 0.0
TCGA-DK-A3IK-01A 87 years, male, white, stage:iv, dead, 146 days 0.0
TCGA-UY-A9PE-01A 87 years, male, white, stage:iv, alive, 189 days 0.0
TCGA-XF-AAME-01A 64 years, female, white, stage:ii, dead, 2828 days 0.0
TCGA-BT-A20R-01A 79 years, female, white, stage:iv, dead, 154 days 0.0
TCGA-E7-A97P-01A 73 years, male, asian, stage:ii, dead, 437 days 0.0
TCGA-GV-A3QH-01A 67 years, male, white, stage:ii, dead, 258 days 0.0
TCGA-XF-AAN8-01A 74 years, female, white, stage:iii, dead, 118 days 0.0
TCGA-DK-A3WY-01A 67 years, female, white, stage:iii, alive, 4967 days 0.0
TCGA-ZF-A9RE-01A 78 years, female, white, stage:ii, dead, 106 days 0.0
TCGA-GV-A3JW-01A 74 years, male, white, stage:ii, alive, 649 days 0.0
TCGA-YC-A9TC-01A 72 years, male, white, stage:iv, dead, 20 days 0.0
TCGA-DK-A2I2-01A 63 years, female, white, stage:iv, dead, 237 days 0.0
TCGA-KQ-A41S-01A 87 years, female, white, stage:iii, alive, 35 days 0.0
TCGA-XF-AAMR-01A 48 years, male, white, stage:iii, alive, 2790 days 0.0
TCGA-G2-AA3D-01A 60 years, male, white, stage:iv, alive, 2139 days 0.0
TCGA-BL-A13J-01A 65 years, male, white, stage:iv, dead, 81 days 0.0
TCGA-XF-AAN5-01A 61 years, female, white, stage:iii, alive, 2293 days 0.0
TCGA-BT-A2LD-01A 78 years, female, white, stage:iv, dead, 623 days 0.0
TCGA-GD-A3OQ-01A 48 years, male, white, stage:iv, alive, 95 days 0.0
TCGA-FD-A5C1-01A 61 years, female, white, stage:iii, alive, 1792 days 0.0
TCGA-FD-A43U-01A 70 years, male, white, stage:iv, alive, 636 days 0.0
TCGA-ZF-AA4X-01A 56 years, male, white, stage:ii, alive, 2044 days 0.0
TCGA-CU-A72E-01A 76 years, male, white, stage:iv, dead, 413 days 0.0
TCGA-XF-AAMZ-01A 81 years, female, white, stage:iv, dead, 1348 days 0.0
TCGA-E7-A3X6-01A 70 years, male, white, stage:ii, dead, 904 days 0.0
TCGA-GC-A3I6-01A 45 years, male, white, stage:iii, dead, 630 days 0.0
TCGA-FD-A6TF-01A 80 years, female, white, stage:iv, dead, 69 days 0.0
TCGA-R3-A69X-01A 70 years, male, white, stage:iii, alive, 433 days 0.0
TCGA-FD-A6TA-01A 58 years, male, white, stage:iv, alive, 1912 days 0.0
TCGA-K4-AAQO-01A 56 years, male, white, stage:iii, alive, 359 days 0.0
TCGA-UY-A9PF-01A 78 years, male, white, stage:iv, alive, 117 days 0.0
TCGA-GD-A6C6-01A 64 years, male, white, stage:iii, alive, 67 days 0.0
TCGA-DK-A2HX-01A 80 years, female, white, stage:iv, dead, 1420 days 0.0
TCGA-FD-A3B4-01A 55 years, female, black or african american, stage:iii, dead, 510 days 0.0
TCGA-CF-A7I0-01A 54 years, male, asian, stage:ii, alive, 368 days 0.0
TCGA-E7-A6MD-01A 66 years, male, white, stage:iv, alive, 129 days 0.0
TCGA-FD-A6TH-01A 63 years, male, white, stage:iv, dead, 131 days 0.0
TCGA-YF-AA3L-01A 47 years, female, stage:ii, alive, 364 days 0.0
TCGA-XF-A9SL-01A 69 years, male, white, stage:iv, dead, 2020 days 0.0
TCGA-4Z-AA7S-01A 66 years, male, black or african american, stage:iii, dead, 1064 days 0.0
TCGA-XF-A9SX-01A 63 years, female, white, stage:iv, dead, 719 days 0.0
TCGA-K4-A6FZ-01A 75 years, female, white, stage:iii, alive, 55 days 0.0
TCGA-CU-A5W6-01A 70 years, male, white, stage:iii, dead, 56 days 0.0
TCGA-DK-A3IU-01A 58 years, male, white, stage:ii, dead, 706 days 0.0
TCGA-XF-AAMH-01A 80 years, male, white, stage:iv, dead, 344 days 0.0
TCGA-FD-A5C0-01A 61 years, male, white, stage:iv, dead, 550 days 0.0
TCGA-GC-A3RB-01A 54 years, male, white, stage:iii, alive, 582 days 0.0
TCGA-FD-A3SR-01A 68 years, male, white, stage:iv, dead, 602 days 0.0
TCGA-UY-A9PA-01A 48 years, male, white, stage:iii, alive, 119 days 0.0
TCGA-CF-A47V-01A 52 years, male, asian, stage:ii, alive, 379 days 0.0
TCGA-FD-A3SP-01A 60 years, male, white, stage:iii, alive, 783 days 0.0
TCGA-XF-AAMT-01A 75 years, female, white, stage:iv, dead, 90 days 0.0
TCGA-FD-A62S-01A 60 years, female, black or african american, stage:iii, dead, 406 days 0.0
TCGA-ZF-A9R0-01A 82 years, male, white, stage:iii, dead, 680 days 0.0
TCGA-E7-A7PW-01A 63 years, male, asian, stage:iii, alive, 416 days 0.0
TCGA-K4-A54R-01A 59 years, male, white, stage:ii, alive, 842 days 0.0
TCGA-CF-A1HR-01A 62 years, male, asian, stage:iii, alive, 389 days 0.0
TCGA-DK-AA6S-01A 60 years, male, white, stage:iii, alive, 5050 days 0.0
TCGA-FD-A62P-01A 76 years, male, white, stage:ii, dead, 191 days 0.0
TCGA-UY-A8OD-01A 67 years, female, black or african american, stage:ii, alive, 3432 days 0.0
TCGA-DK-A1AD-01A 69 years, male, white, stage:iv, alive, 3420 days 0.0
TCGA-G2-A2EK-01A 57 years, male, white, stage:ii, alive, 485 days 0.0
TCGA-4Z-AA84-01A 61 years, male, white, stage:iv, alive, 460 days 0.0
TCGA-DK-A3IV-01A 60 years, male, white, stage:ii, dead, 294 days 0.0
TCGA-FD-A3SS-01A 66 years, male, white, stage:iv, dead, 391 days 0.0
TCGA-FD-A3B5-01A 86 years, male, black or african american, stage:iv, dead, 272 days 0.0
TCGA-CF-A9FL-01A 85 years, male, asian, stage:iii, dead, 565 days 0.0
TCGA-DK-A1A5-01A 79 years, male, white, stage:ii, dead, 65 days 0.0
TCGA-ZF-A9RF-01A 74 years, male, white, stage:ii, alive, 1949 days 0.0
TCGA-XF-A9SV-01A 82 years, male, white, stage:iv, dead, 388 days 0.0
TCGA-4Z-AA7N-01A 66 years, male, white, stage:iii, dead, 1367 days 0.0
TCGA-GU-A762-01A 87 years, male, white, stage:iv, dead, 232 days 0.0
TCGA-HQ-A2OF-01A 52 years, female, stage:iii, alive, 1947 days 0.0
TCGA-FD-A6TB-01A 82 years, male, white, stage:iii, alive, 572 days 0.0
TCGA-CU-A0YN-01A 60 years, male, white, stage:iii, dead, 393 days 0.0
TCGA-FD-A6TC-01A 79 years, female, white, stage:iii, alive, 187 days 0.0
TCGA-GU-A764-01A 66 years, male, white, stage:ii, alive, 610 days 0.0
TCGA-FD-A3SM-01A 70 years, male, white, stage:iv, dead, 547 days 0.0
TCGA-DK-AA74-01A 75 years, male, white, stage:iii, alive, 1708 days 0.0
TCGA-E7-A85H-01A 64 years, male, asian, stage:iii, alive, 394 days 0.0
TCGA-LC-A66R-01A 78 years, male, white, stage:iv, alive, 466 days 0.0
TCGA-XF-AAMY-01A 78 years, male, white, stage:iii, alive, 3011 days 0.0
TCGA-DK-A2I1-01A 73 years, female, white, stage:ii, alive, 546 days 0.0
TCGA-FD-A6TG-01A 73 years, male, white, stage:iv, dead, 93 days 0.0
TCGA-YF-AA3M-01A 57 years, male, stage:ii, alive, 415 days 0.0
TCGA-CF-A3MH-01A 75 years, male, asian, stage:ii, alive, 398 days 0.0
TCGA-K4-A6MB-01A 64 years, male, white, stage:iv, alive, 469 days 0.0
TCGA-BT-A0S7-01A 75 years, male, white, stage:iii, dead, 200 days 0.0
TCGA-BT-A20U-01A 70 years, female, white, stage:iii, dead, 455 days 0.0
TCGA-BT-A20X-01A 56 years, male, white, stage:iv, dead, 251 days 0.0
TCGA-4Z-AA7O-01A 64 years, male, black or african american, stage:ii, alive, 512 days 0.0
TCGA-CF-A47S-01A 41 years, male, asian, stage:ii, alive, 333 days 0.0
TCGA-K4-A3WU-01B 88 years, male, white, stage:iii, alive, 105 days 0.0
TCGA-4Z-AA83-01A 52 years, male, white, stage:ii, alive, 2024 days 0.0
TCGA-2F-A9KT-01A 83 years, male, white, stage:ii, alive, 3314 days 0.0
TCGA-GC-A6I3-01A 90 years, female, black or african american, stage:iv, alive, 423 days 0.0
TCGA-ZF-AA52-01A 70 years, male, white, stage:iii, dead, 1077 days 0.0
TCGA-DK-AA6L-01A 48 years, male, white, stage:iv, dead, 1163 days 0.0
TCGA-BT-A20N-01A 72 years, male, stage:iii, dead, 795 days 0.0
TCGA-XF-AAMX-01A 87 years, female, black or african american, stage:iii, dead, 206 days 0.0
TCGA-XF-A9SK-01A 65 years, male, white, stage:iv, dead, 486 days 0.0
TCGA-ZF-AA4N-01A 74 years, male, white, stage:ii, dead, 88 days 0.0
TCGA-FD-A3B3-01A 74 years, female, white, stage:iii, dead, 974 days 0.0
TCGA-SY-A9G5-01A 66 years, male, white, stage:iii, alive, 1186 days 0.0
TCGA-XF-A9SZ-01A 79 years, male, white, stage:iv, dead, 859 days 0.0
TCGA-XF-A9T4-01A 48 years, male, white, stage:iv, dead, 495 days 0.0
TCGA-XF-A9SP-01A 59 years, male, white, stage:iii, dead, 454 days 0.0
TCGA-XF-A8HH-01A 61 years, female, white, stage:iv, dead, 57 days 0.0
TCGA-K4-A4AC-01A 83 years, male, white, stage:ii, dead, 278 days 0.0
TCGA-XF-A8HG-01A 69 years, male, white, stage:iii, dead, 467 days 0.0
TCGA-CU-A0YO-01A 84 years, male, white, stage:iv, dead, 149 days 0.0
TCGA-4Z-AA82-01A 59 years, male, black or african american, stage:iv, dead, 1556 days 0.0
TCGA-4Z-AA7Y-01A 60 years, male, white, stage:ii, alive, 1522 days 0.0
TCGA-UY-A78P-01A 78 years, female, white, stage:ii, alive, 2380 days 0.0
TCGA-E7-A5KE-01A 78 years, female, asian, stage:ii, alive, 17 days 0.0
TCGA-GC-A3YS-01A 61 years, male, white, stage:iv, alive, 758 days 0.0
TCGA-DK-A3X1-01A 78 years, female, white, stage:iii, alive, 2009 days 0.0
TCGA-DK-A3IL-01A 79 years, female, white, stage:iv, dead, 413 days 0.0
TCGA-YC-A89H-01A 78 years, female, white, stage:ii, alive, 573 days 0.0
TCGA-ZF-A9RM-01A 70 years, male, white, stage:ii, alive, 1455 days 0.0
TCGA-UY-A78M-01A 81 years, female, asian, stage:iv, dead, 690 days 0.0
TCGA-FD-A3SL-01A 60 years, male, white, stage:iv, dead, 712 days 0.0
TCGA-GU-A42R-01A 68 years, male, white, stage:iv, dead, 577 days 0.0
TCGA-ZF-AA58-01A 61 years, female, white, stage:iv, alive, 1649 days 0.0
TCGA-DK-A3WW-01A 57 years, male, white, stage:iii, alive, 633 days 0.0
TCGA-FJ-A871-01A 49 years, male, white, stage:iii, dead, 272 days 0.0
TCGA-C4-A0F1-01A 71 years, male, stage:iii, alive, 89 days 0.0
TCGA-ZF-AA4V-01A 66 years, male, white, stage:iii, alive, 1806 days 0.0
TCGA-FD-A6TK-01A 60 years, male, white, stage:iii, alive, 330 days 0.0
TCGA-GD-A76B-01A 86 years, female, white, stage:ii, dead, 224 days 0.0
TCGA-FD-A3B7-01A 66 years, male, black or african american, stage:iii, dead, 122 days 0.0
TCGA-XF-AAN3-01A 76 years, male, white, stage:iv, alive, 2625 days 0.0
TCGA-BT-A2LB-01A 73 years, female, white, stage:iii, dead, 492 days 0.0
TCGA-GV-A3JV-01A 66 years, male, white, stage:iv, dead, 434 days 0.0
TCGA-G2-A2ES-01A 85 years, male, white, stage:ii, dead, 1004 days 0.0
TCGA-G2-AA3B-01A 75 years, female, white, stage:ii, alive, 2008 days 0.0
TCGA-G2-A2EJ-01A 56 years, female, white, stage:ii, alive, 1460 days 0.0
TCGA-GD-A3OP-01A 84 years, female, white, stage:iv, alive, 64 days 0.0
TCGA-ZF-AA5H-01A 60 years, female, white, stage:iv, alive, 897 days 0.0
TCGA-FD-A3N6-01A 43 years, female, black or african american, stage:ii, alive, 851 days 0.0
TCGA-FD-A3N5-01A 69 years, male, black or african american, stage:ii, dead, 685 days 0.0
TCGA-E7-A677-01A 81 years, male, asian, stage:ii, alive, 820 days 0.0
TCGA-C4-A0F7-01A 77 years, male, stage:iv, dead, 62 days 0.0
TCGA-XF-AAMQ-01A 59 years, female, white, stage:ii, alive, 2177 days 0.0
TCGA-DK-A1AE-01A 84 years, male, white, stage:iii, alive, 491 days 0.0
TCGA-FT-A3EE-01A 80 years, female, white, stage:iii, dead, 99 days 0.0
TCGA-BT-A3PK-01A 80 years, male, white, stage:ii, dead, 303 days 0.0
TCGA-FD-A5BS-01A 68 years, male, white, stage:iii, alive, 1639 days 0.0
TCGA-DK-A6AW-01A 70 years, male, white, stage:ii, alive, 1621 days 0.0
TCGA-FD-A3B6-01A 75 years, male, white, stage:ii, dead, 1005 days 0.0
TCGA-DK-AA6M-01A 64 years, female, white, stage:ii, alive, 1582 days 0.0
TCGA-KQ-A41N-01A 73 years, male, black or african american, stage:iii, alive, 1604 days 0.0
TCGA-DK-A6B5-01A 45 years, male, white, stage:iv, alive, 1542 days 0.0
TCGA-DK-AA6R-01A 69 years, male, white, stage:iv, alive, 5041 days 0.0
TCGA-DK-A2I4-01A 79 years, male, white, stage:iii, alive, 4343 days 0.0
TCGA-XF-A9SM-01A 76 years, male, white, stage:iii, alive, 1048 days 0.0
TCGA-ZF-AA4R-01A 67 years, male, white, stage:iv, dead, 1036 days 0.0
TCGA-XF-A8HE-01A 47 years, male, white, stage:iii, alive, 3817 days 0.0
TCGA-E5-A2PC-01A 61 years, female, white, stage:iv, alive, 1326 days 0.0
TCGA-XF-A8HF-01A 80 years, male, white, stage:iii, dead, 2954 days 0.0
TCGA-KQ-A41P-01A 76 years, male, white, stage:iv, alive, 1094 days 0.0
TCGA-XF-AAN2-01A 73 years, male, white, stage:ii, dead, 1869 days 0.0
TCGA-DK-A1A6-01A 53 years, male, white, stage:iv, alive, 2020 days 0.0
TCGA-XF-A9SH-01A 65 years, female, asian, stage:ii, dead, 1971 days 0.0
TCGA-DK-A6AV-01A 82 years, female, asian, stage:ii, alive, 1952 days 0.0
TCGA-4Z-AA81-01A 80 years, male, white, stage:ii, dead, 1270 days 0.0
TCGA-KQ-A41R-01A 80 years, female, white, stage:ii, alive, 1350 days 0.0
TCGA-UY-A8OB-01A 64 years, male, white, stage:iv, alive, 2109 days 0.0
TCGA-XF-A8HB-01A 50 years, female, stage:ii, alive, 1370 days 0.0
TCGA-HQ-A2OE-01A male, alive, 1174 days 0.0
TCGA-G2-A2EF-01A 50 years, male, white, stage:ii, alive, 1884 days 0.0
TCGA-UY-A78O-01A 74 years, female, white, stage:ii, alive, 2312 days 0.0
TCGA-4Z-AA87-01A 72 years, male, black or african american, stage:iii, alive, 1454 days 0.0
TCGA-FD-A3NA-01A 60 years, male, white, stage:ii, alive, 1845 days 0.0
TCGA-ZF-AA4W-01A 56 years, male, white, stage:iii, alive, 1830 days 0.0
TCGA-DK-A2I6-01A 81 years, male, white, stage:iv, alive, 2656 days 0.0
TCGA-ZF-A9RL-01A 61 years, male, white, stage:ii, alive, 2703 days 0.0
TCGA-FD-A3SQ-01A 62 years, male, white, stage:iv, dead, 1423 days 0.0
TCGA-G2-A2EO-01A 69 years, male, white, stage:iii, dead, 1804 days 0.0
TCGA-XF-A8HD-01A 77 years, male, white, stage:iii, alive, 2964 days 0.0
TCGA-BT-A42E-01A 74 years, male, white, stage:iii, alive, 1108 days 0.0
TCGA-ZF-AA53-01A 60 years, male, white, stage:ii, alive, 1761 days 0.0
TCGA-UY-A9PH-01A 73 years, male, white, stage:ii, alive, 1561 days 0.0
TCGA-E7-A8O8-01A 59 years, male, asian, stage:ii, alive, 13 days 0.0
TCGA-ZF-A9R3-01A 53 years, female, white, stage:ii, dead, 949 days 0.0
TCGA-4Z-AA86-01A 67 years, male, black or african american, stage:iv, dead, 311 days 0.0
TCGA-E7-A97Q-01A 60 years, female, white, stage:iv, dead, 246 days 0.0
TCGA-FD-A5BY-01A 63 years, female, white, stage:iii, alive, 251 days 0.0
TCGA-BT-A20W-01A 71 years, male, white, stage:ii, dead, 254 days 0.0
TCGA-ZF-AA56-01A 79 years, female, white, stage:iii, dead, 259 days 0.0
TCGA-GV-A40E-01A 75 years, male, white, stage:ii, dead, 261 days 0.0
TCGA-GC-A6I1-01A 90 years, female, white, stage:ii, dead, 272 days 0.0
TCGA-HQ-A5ND-01A 78 years, male, stage:iv, dead, 274 days 0.0
TCGA-K4-A5RH-01A 69 years, male, white, stage:iii, alive, 276 days 0.0
TCGA-FD-A6TI-01A 73 years, male, white, stage:iv, dead, 294 days 0.0
TCGA-DK-A3WX-01A 67 years, female, white, stage:iii, dead, 321 days 0.0
TCGA-BL-A13I-01A 57 years, female, white, stage:iii, dead, 223 days 0.0
TCGA-GU-AATO-01A 75 years, male, white, stage:iv, dead, 324 days 0.0
TCGA-FJ-A3ZE-01A 65 years, male, white, stage:iv, dead, 324 days 0.0
TCGA-FD-A5BT-01A 84 years, male, white, stage:iii, dead, 328 days 0.0
TCGA-FT-A61P-01A 76 years, male, white, stage:iv, alive, 337 days 0.0
TCGA-GU-A42Q-01A 67 years, male, white, stage:iii, dead, 344 days 0.0
TCGA-CF-A8HX-01A 55 years, female, asian, stage:ii, alive, 345 days 0.0
TCGA-K4-A5RI-01A 67 years, female, white, stage:iii, dead, 356 days 0.0
TCGA-2F-A9KP-01A 66 years, male, white, stage:iv, dead, 364 days 0.0
TCGA-DK-AA76-01A 64 years, female, white, stage:ii, alive, 366 days 0.0
TCGA-FD-A43N-01A 76 years, male, white, stage:iii, alive, 230 days 0.0
TCGA-G2-A3IB-01A 66 years, male, black or african american, stage:ii, dead, 220 days 0.0
TCGA-BT-A20O-01A 75 years, male, white, stage:iii, dead, 370 days 0.0
TCGA-UY-A8OC-01A 90 years, male, white, stage:iv, dead, 92 days 0.0
TCGA-4Z-AA80-01A 73 years, male, white, stage:ii, dead, 19 days 0.0
TCGA-E7-A7DV-01A 44 years, male, white, stage:iv, alive, 37 days 0.0
TCGA-S5-A6DX-01A 83 years, male, white, stage:iv, dead, 56 days 0.0
TCGA-C4-A0F0-01A 60 years, male, stage:ii, alive, 59 days 0.0
TCGA-XF-A9T6-01A 88 years, female, white, stage:iii, alive, 64 days 0.0
TCGA-E7-A4XJ-01A 66 years, male, asian, stage:ii, dead, 68 days 0.0
TCGA-XF-A9T3-01A 69 years, female, white, stage:iv, alive, 68 days 0.0
TCGA-5N-A9KI-01A 76 years, female, white, stage:iii, dead, 76 days 0.0
TCGA-FD-A62N-01A 69 years, male, asian, stage:iii, alive, 82 days 0.0
TCGA-XF-A9SJ-01A 83 years, male, white, stage:iv, dead, 98 days 0.0
TCGA-FD-A62O-01A 74 years, male, white, stage:iv, dead, 216 days 0.0
TCGA-XF-A9ST-01A 68 years, male, white, stage:iii, dead, 128 days 0.0
TCGA-BT-A3PH-01A 76 years, male, white, stage:iv, dead, 142 days 0.0
TCGA-BT-A20V-01A 59 years, female, black or african american, stage:iv, dead, 154 days 0.0
TCGA-CU-A3QU-01A 58 years, male, white, stage:iv, alive, 158 days 0.0
TCGA-FD-A5BV-01A 47 years, female, white, stage:iii, dead, 163 days 0.0
TCGA-ZF-AA5N-01A 62 years, female, white, stage:iv, dead, 168 days 0.0
TCGA-FD-A3SO-01A 68 years, male, white, stage:iv, dead, 168 days 0.0
TCGA-XF-A8HC-01A 79 years, male, asian, stage:iv, dead, 200 days 0.0
TCGA-G2-AA3C-01A 66 years, male, white, stage:iv, dead, 211 days 0.0
TCGA-GU-AATQ-01A 69 years, male, white, stage:iii, dead, 213 days 0.0
TCGA-CF-A3MG-01A 48 years, male, asian, stage:ii, alive, 369 days 0.0
TCGA-PQ-A6FI-01A 70 years, male, white, stage:ii, alive, 372 days 0.0
TCGA-ZF-A9R4-01A 83 years, male, white, stage:ii, alive, 921 days 0.0
TCGA-E7-A6MF-01A 37 years, male, asian, stage:ii, alive, 750 days 0.0
TCGA-G2-A3IE-01A 52 years, male, white, stage:ii, dead, 612 days 0.0
TCGA-GV-A3QF-01A 79 years, male, white, stage:iv, dead, 617 days 0.0
TCGA-XF-A9SY-01A 60 years, female, white, stage:iv, alive, 640 days 0.0
TCGA-LT-A8JT-01A 69 years, female, white, stage:ii, alive, 641 days 0.0
TCGA-K4-A3WV-01A 77 years, female, white, stage:ii, alive, 646 days 0.0
TCGA-GC-A3BM-01A 70 years, male, white, stage:ii, dead, 651 days 0.0
TCGA-DK-A1A3-01A 60 years, male, white, stage:iv, dead, 665 days 0.0
TCGA-ZF-A9R7-01A 76 years, female, white, stage:ii, alive, 665 days 0.0
TCGA-G2-A2EC-01A 58 years, female, black or african american, stage:ii, dead, 696 days 0.0
TCGA-E7-A541-01A 66 years, male, white, stage:ii, dead, 778 days 0.0
TCGA-ZF-AA54-01A 71 years, male, white, stage:iii, dead, 590 days 0.0
TCGA-BT-A3PJ-01A 76 years, male, white, stage:iii, alive, 789 days 0.0
TCGA-XF-A9T0-01A 69 years, male, white, stage:iii, alive, 799 days 0.0
TCGA-GD-A2C5-01A 53 years, female, white, stage:iv, alive, 812 days 0.0
TCGA-FD-A5BZ-01A 77 years, female, white, stage:iv, dead, 835 days 0.0
TCGA-4Z-AA7W-01A 55 years, male, white, stage:ii, alive, 840 days 0.0
TCGA-BT-A42F-01A 64 years, male, white, stage:iv, alive, 864 days 0.0
TCGA-ZF-A9R9-01A 58 years, male, white, stage:iv, dead, 864 days 0.0
TCGA-FD-A3SN-01A 79 years, male, white, stage:iii, alive, 887 days 0.0
TCGA-UY-A9PB-01A 49 years, male, white, stage:iii, alive, 899 days 0.0
TCGA-CU-A3YL-01A 67 years, male, white, stage:iii, alive, 906 days 0.0
TCGA-ZF-AA4T-01A 65 years, male, white, stage:iv, dead, 599 days 0.0
TCGA-H4-A2HQ-01A 64 years, female, black or african american, stage:iv, alive, 590 days 0.0
TCGA-FD-A6TE-01A 54 years, male, white, stage:iv, alive, 376 days 0.0
TCGA-E5-A4TZ-01A 64 years, male, white, stage:iv, dead, 467 days 0.0
TCGA-CF-A3MF-01A 34 years, male, asian, stage:iii, alive, 383 days 0.0
TCGA-FJ-A3Z9-01A 72 years, male, white, dead, 385 days 0.0
TCGA-FD-A6TD-01A 77 years, male, white, stage:iii, dead, 386 days 0.0
TCGA-BT-A0YX-01A 70 years, female, white, stage:iii, dead, 400 days 0.0
TCGA-ZF-A9RD-01A 75 years, female, white, stage:iv, dead, 408 days 0.0
TCGA-DK-AA6Q-01A 61 years, female, white, stage:iv, dead, 413 days 0.0
TCGA-E7-A7XN-01A 67 years, male, asian, stage:iii, alive, 428 days 0.0
TCGA-GC-A3RD-01A 83 years, female, white, stage:iii, alive, 428 days 0.0
TCGA-CU-A0YR-01A 84 years, male, white, stage:iv, dead, 460 days 0.0
TCGA-FD-A43Y-01A 65 years, male, white, stage:iii, dead, 474 days 0.0
TCGA-BT-A20J-01A 75 years, male, white, stage:ii, dead, 579 days 0.0
TCGA-GU-A766-01A 62 years, male, white, stage:ii, alive, 480 days 0.0
TCGA-GC-A3OO-01A 79 years, male, white, stage:ii, alive, 481 days 0.0
TCGA-GC-A3RC-01A 59 years, male, white, stage:ii, alive, 484 days 0.0
TCGA-4Z-AA7Q-01A 79 years, male, white, stage:iii, dead, 510 days 0.0
TCGA-4Z-AA7R-01A 73 years, male, black or african american, stage:iv, dead, 522 days 0.0
TCGA-UY-A78K-01A 60 years, male, white, stage:iv, dead, 536 days 0.0
TCGA-GC-A3WC-01A 80 years, female, white, stage:iii, alive, 540 days 0.0
TCGA-UY-A9PD-01A 81 years, male, white, stage:iii, alive, 542 days 0.0
TCGA-CU-A3KJ-01A 75 years, male, white, stage:iii, alive, 562 days 0.0
TCGA-DK-AA6T-01A 63 years, male, white, stage:ii, alive, 572 days 0.0
TCGA-5N-A9KM-01A 73 years, female, white, stage:iii, dead, 530 days 0.0
Show allShow less
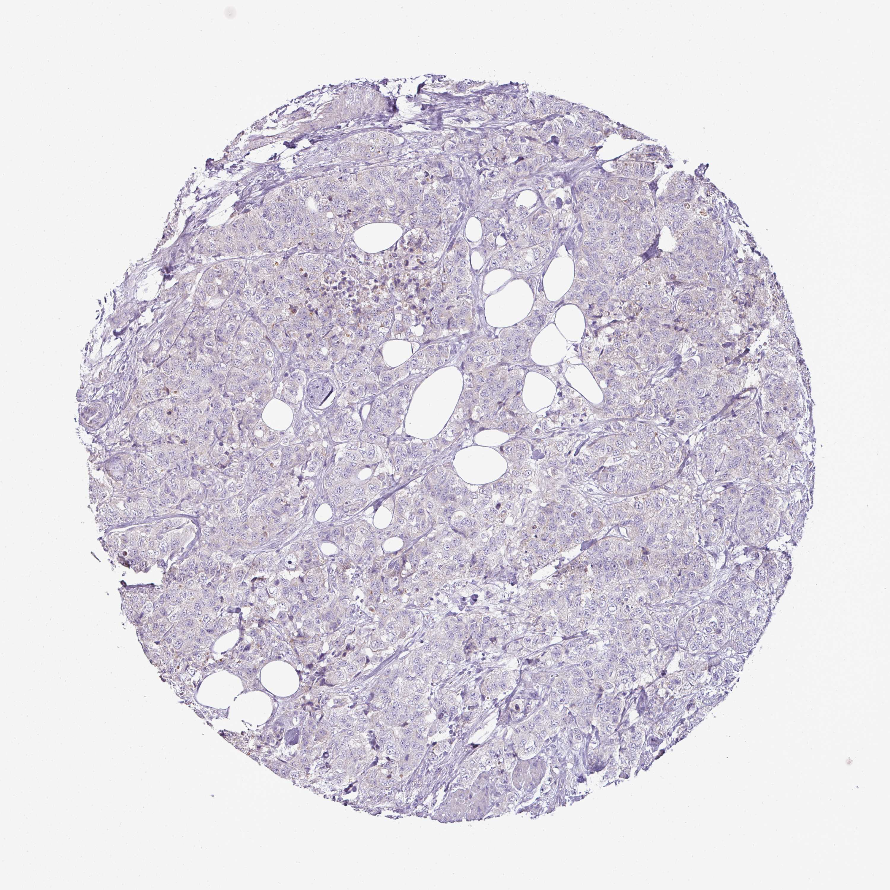
UROTHELIAL CANCER - Protein expressioni

A mouse-over function shows sample information and annotation data. Click on an image to view it in a full screen mode. Samples can be filtered based on level of antibody staining by selecting one or several of the following categories: high, medium, low and not detected. The assay and annotation is described here.

Note that samples used for immunohistochemistry by the Human Protein Atlas do not correspond to samples in the TCGA dataset.

 

Antibody stainingi

Antibody staining in the annotated cell types in the current human tissue is reported as not detected, low, medium, or high, based on conventional immunohistochemistry profiling in selected tissues. This score is based on the combination of the staining intensity and fraction of stained cells.

Each image is clickable and will lead to virtual microscopy that enables deeper exploration of all samples and also displays staining intensity scores, fraction scores and subcellular localization as well as patient and tissue information for each sample.

Read more

Antibody HPA050681
 Staining
  High
  Medium
  Low
  Not detected
 Intensity
  Strong
  Moderate
  Weak
  Negative
 Quantity
  >75%
  75%-25%
  <25%
  None
 Location
  Nuclear
  Cytoplasmic/membranous
  Cytoplasmic/membranous,nuclear
  None
Click images for details

Contact

  • NEWS ARTICLES
  • PRESS ROOM
  • contact@proteinatlas.org

The Project

  • INTRODUCTION
  • ORGANIZATION
  • PUBLICATIONS

The Human Protein Atlas

  • DOWNLOADABLE DATA
  • LICENCE & CITATION
  • HELP & FAQ
The Human Protein Atlas project is funded
by the Knut & Alice Wallenberg Foundation.